Was verursacht Schmerzen im rechten Schulterblatt seit über 3 Monaten?
Was verursacht Schmerzen im rechten Schulterblatt seit über 3 Monaten?
Schmerzen im Bereich des Schulterblatts, wie sie von der Patientin beschrieben wurden, sind in der klinischen Praxis sehr häufig, insbesondere bei Frauen. Relativ gesehen ist es nicht einfach, ihn zu behandeln, denn es gibt viele Ursachen für Schmerzen in diesem Bereich, und wenn sie nicht genau zu finden sind, beeinträchtigt dies die Wirksamkeit der Behandlung.
Bei Schmerzen in diesem Bereich ist es wichtig, zunächst herauszufindenDer genaue Ort des SchmerzesHeute wird Dr. Kong mit Ihnen über dieses Thema sprechen. Schmerzen im Bereich des Schulterblatts, wie auf dem folgenden Bild zu sehen:

In der Abbildung.Beschwerden in und um den rot eingekreisten Bereich werden als Schmerzen in der Skapularregion bezeichnet.. So ist es möglich, zurück zu denken, ist es möglich, dass Sie oft Schmerzen in einem dieser Orte irgendwo Ort Ort? Die relative Ursache des SchmerzesDafür gibt es viele Gründe, wie z. B. Bandscheibenvorfälle und Fehlhaltungen.Als Nächstes wollen wir uns speziell mit den Bereichen und Ursachen befassen, die häufig Schmerzen verursachen.
Schmerzen im Bereich der oberen inneren Ecke des Schulterblatts

Die oben gezeigte Stelle ist der Bereich der inneren oberen Ecke des Schulterblatts, dieDieser Schmerz dürfte der bei weitem häufigste Schmerz in der Skapularregion sein und tritt bei praktisch allen Menschen auf.. Schmerzen an dieser Stelle haben oftZwei GründeDie Ursache:
1. erster Grund:Das ist die häufigste.Heutzutage müssen viele Menschen lange Zeit im Sitzen arbeiten, vor dem Computer sitzen odernachgebenVerwenden Sie Ihr Mobiltelefon wie unten dargestellt:

Ich bin sicher, jeder von Ihnen wird sich wundern, wenn er eine solche Haltung sieht, denn so machen wir es doch jeden Tag, und sie ist die wahre Ursache für Schmerzen in den inneren und oberen Ecken des Schulterblatts. Wir können das noch ein wenig vertiefenMechanismen, die zu Verletzungen führenIn dieser Position befindet sich ein wichtiger Muskel, der die Halswirbelsäule stabilisiert.

Wie oben dargestellt, ist dieser Muskel anatomisch gesehen das, was wir als "Levator scapulae (Anatomie)". Er wächst auf der einen Seite am Querfortsatz der Halswirbel 1-4 und auf der anderen Seite genau dort, wo sich der Schmerzpunkt befindet (obere innere Ecke des Schulterblatts). Seine Hauptfunktion ist:Wenn das Ende des Schmerzpunkts festgelegt istDer Kopf und der Nacken sind nach hinten geneigt, wenn beide Seiten stark zusammengezogen und verkürzt sind; aber wenn wirWenn der Kopf für längere Zeit gesenkt wird, wird er allmählich gedehnt, während der Kopf nach vorne gezogen wird, bis an der Grenze, an der er nicht mehr weiter gedehnt werden kann, ein Schmerz an der inneren oberen Ecke des Schulterblatts am stationären Ende auftritt。
2) Der zweite Grund: Obwohl selten, ist dieLeicht fehldiagnostiziertDenn das ist das Problem der oben beschriebenen Skapulieraufrichter. Eine weitere wichtige Struktur ist hier der hintere schräge Muskel, wie unten gezeigt:

Dieser Muskel, der hintere schräge Muskel, wächst an einem Ende über die Halswirbel 6 und 7 und den Querfortsatz.Das andere Ende befindet sich an der zweiten Rippe auf der Rückseite.(b) Wenn es auf die Tatsache zurückzuführen ist, dass es oftDurch das Senken des Kopfes wird dieser Muskel verkürzt und angespannt, was zu Schmerzen im Bereich des Brustkorbansatzes führt.. Hier, obwohl es nicht mit dem Schulterblatt verbunden ist, zu einem großen Teil, der Schmerz in dieser Position von uns ist nicht eine sehr kleine begrenzten Punkt des Schmerzes, derOft handelt es sich um einen Bereich, der häufig falsch diagnostiziert wirdDie nachstehende Abbildung zeigt Folgendes:

Bei einem solchen Schmerzbereich handelt es sich dann wahrscheinlich um ein Problem des hinteren schrägen Muskels, das leicht mit einem Problem des Hebemuskels Scapularis verwechselt werden kann; es ist nur soDer durch den hinteren schrägen Muskel verursachte Schmerz ist tiefer und höher.。
Schmerzen in der Region des medialen Randes des Schulterblatts

Die in der Abbildung gezeigte Stelle ist der Bereich des medialen Randes des Schulterblatts, derDer Schmerzort ist auch bei weitem der häufigste unter den Schmerzen in der Skapularregion und kann bei vielen Menschen mit schlechter Halswirbelsäule auftreten.Schmerzen an dieser Stelle haben oftZwei GründeDie Ursache:
Der erste Grund ist, dassEinklemmung des Nervus dorsalis scapularisDas Ergebnis. Der Nervus scapularis dorsalis innerviert in erster Linie die Muskeln scapularis und rhomboideus.Der mediale Randbereich des Schulterblatts befindet sich dort, wo der Rhomboidmuskel ansetzt, wie unten dargestellt:

Der Nervus dorsalis scapularis wird vom Nervus cervicalis 5 innerviert. Wenn also eine Person eine schlechte Halswirbelsäule hat, insbesondere wenn es ein Problem mit dem Halswirbelraum 4-5 oder einen Bandscheibenvorfall in der Halswirbelsäule 4-5 gibt, wird der Nervus cervicalis 5 komprimiert, was Schmerzen im Bereich des medialen Randes des Schulterblatts verursacht.
Zweiter Grund:Verursacht durch eine Schädigung der Myofaszie des M. rhomboideus. Die meisten Menschen verkörpern heute, egal wo sie sitzen, einen rundschultrigen, gebückten Körperbau, wie auf dem Bild unten zu sehen ist:

Ein solcher Körperbau wirkt sich direkt auf die rhomboide Faszie aus, die an den Schulterblättern im Rücken befestigt ist, und zwar dort, wo die Rhomboide wachsen.

Wie oben dargestellt, besteht der Rhomboidmuskel aus zwei Teilen, dem kleinen Rhomboidmuskel oben und dem großen Rhomboidmuskel unten, die beide am Dornfortsatz auf der Mittellinie der Wirbelsäule zum medialen Rand des Schulterblatts beginnen. Durch das oben beschriebene Erscheinungsbild des Körpers ist derDie Rhomboide werden dann seitlich gedehnt, wie beim Ziehen einer Plastiktüte, und ab einem bestimmten Punkt treten Schmerzen im Bereich des medialen Randes des Schulterblatts auf.Die Rückseite der Schultern und der Rücken des Körpers fühlen sich wie ein schweres Gewicht an. Gleichzeitig haben Sie das Gefühl, dass die Schultern nach unten sinken und schwer werden, als ob Sie eine schwere Last auf dem Rücken tragen würden; und natürlich sind die Rhomboiden schwach, weil sie lange Zeit gedehnt wurden und oftEin nach außen geflügeltes Schulterblatt, bei dem der mediale Rand des Schulterblatts nach außen ragt.Es überwiegen die Frauen.

Schmerzen im Bereich des unteren Winkels und des seitlichen Randes des Schulterblatts

Die in der Abbildung gezeigte Stelle ist der Bereich des unteren Winkels und des seitlichen Randes des Schulterblatts.Die Schmerzen treten auch häufiger im Bereich des Schulterblatts auf, und viele Menschen verspüren hier keine direkten Schmerzen, sondern eher Atemnot, ein Engegefühl in der Brust oder Schmerzen im vorderen Teil der Brust gegen den Rücken.Schmerzen an dieser Stelle haben oftVier UrsachenDie Ursache:
Der erste Grund ist, dassEinklemmung des Nervus thoracicus longusDas Ergebnis. Der Nervus thoracicus longus innerviert in erster Linie den Musculus serratus anterior knapp oberhalb desDie Lage des medial-lateralen Bereichs des Subscapularis-Winkels ist unten dargestellt:

Der lange Brustnerv wird von den Nerven der Halswirbelsäule 5, 6 und 7 innerviert. Wenn also die Halswirbelsäule nicht in Ordnung ist, insbesondere bei Problemen mit der Lücke zwischen Halswirbelsäule 5 und Halswirbelsäule 6 oder der Lücke zwischen Halswirbelsäule 6 und Halswirbelsäule 7 oder bei einem Bandscheibenvorfall zwischen Halswirbelsäule 5 und Halswirbelsäule 6 und Halswirbelsäule 7, werden der Nervus cervicalis 5, der Nervus cervicalis 6 und der Nervus cervicalis 7 zusammengedrückt, was zu Schmerzen in der unteren Ecke der Schulterblätter oder zu dem typischen Symptom des Schmerzes zwischen Brust und Rücken führt.
Zweiter Grund:Verursacht durch eine Schädigung der Faszien des vorderen Serratus- und Pectoralis-Minor-Muskels. Die meisten Menschen haben heute einen krummen, rundschultrigen Körperbau, egal wo sie sitzen oder stehen.

wennMusculus pectoralis minor (oben auf der Brust)Zu viel Spannung führt dazu, dass die Schulterblätter nach vorne und oben gezogen werden, was zu einer(Sport) BackspinDie Bewegung desMusculus serratus anterior (Oberseiten des Brustkorbs)Gerade so viel, dass die Schulterblätter nach außen und nach oben gehen.SuperexkursionWenn der Pectoralis minor zu stark angespannt ist, wird die Faszie des Musculus serratus anterior, die am Subscapularis-Winkel ansetzt, gedehnt und schmerzt. Mit der Zeit wird der Musculus serratus anterior lang und schwach, und einMediales geflügeltes Schulterblatt, bei dem die untere Ecke des Schulterblatts nach innen ragtist natürlich immer noch überwiegend weiblich.

Der dritte Grund ist, dassProbleme mit dem Latissimus dorsider auch klinisch oft übersehen wird, da ein weiteres Faserbündel den M. latissimus dorsi mit dem Subscapularis-Winkel verbindet.

Viele Menschen, die lange Zeit sitzend arbeiten, haben eine gedehnte und schwache Gesäßmuskulatur und leiden häufig unter Schmerzen im unteren Rücken oder im Bereich der unteren Ecke des Schulterblatts, die durch eine Verspannung der thorakolumbalen Faszie verursacht werden, die die Muskeln Latissimus dorsi und Gluteus maximus verbindet, und sind daher oftDer Musculus latissimus dorsi kompensiert den schwachen Musculus gluteus maximus und erzeugt eine Spannung, die auf den Subscapularis-Winkel zieht.。
Zusammenfassungen
Hier eine sanfte Erinnerung für diejenigen unter Ihnen, die unter Schmerzen leiden.Wählen Sie Ihre Behandlung nicht blindlingsEs steht Ihnen frei, sich für Schockwellen, Cremes oder eine Behandlung mit Spezialeffekten zu entscheiden, denn die Probleme jedes Einzelnen sind unterschiedlich, und es kann nicht für alle das Richtige sein.
Schmerzen im Bereich des Schulterblatts sind häufig, aber es gibt bestimmte Maßnahmen, um sie zu behandeln;Die wissenschaftlichste und grundlegendste Maßnahme besteht darin, den Ort des Schmerzes und die möglichen Schmerzursachen zu ermitteln, damit ein gezielterer Ansatz für die Behandlung gewählt werden kannDas Ergebnis wird zufriedenstellend sein.
Abschließend hoffe ich, dass meine Antwort für das Thema und für diejenigen, die unter Schmerzen in der Schulterblattregion leiden, hilfreich sein wird.
Ich bin ein Arzt, der darauf besteht, das Wissen über Krankheiten mit seinen eigenen Behandlungserfahrungen und Konzepten zu analysieren, es ist nicht einfach zu codieren, wenn Sie mit mir übereinstimmen, bitte helfen Sie, ein Like oder ein Anliegen anzuklicken; Teilen ist eine Tugend, das Geschenk der Rosen, Hand, um einen Duft zu hinterlassen! Wenn Sie oder Ihre Familie oder Freunde leiden auch unter Schmerzen in der Skapulierregion, bitte weiterleiten und teilen diese Antwort mit denen, die es brauchen, so dass mehr Menschen davon profitieren können! Herzlichen Dank!
klinisch, weilSchmerzen im Bereich des SchulterblattsEs gibt viele Patienten, die in die Klinik kommen, von denen sich einigeAls ich morgens aufstand, trug ich sogar einen großen Stein auf meinen Schultern und meinem Rücken.Das Gefühl, sich ungewöhnlich zu fühlenVersauerungDas ist eine Situation, die viele Menschen für ein Problem mit dem Schulterblatt halten, aber oft liegt es an der Halswirbelsäule, darüber hinaus gibt es auch noch einige andere Möglichkeiten, die wir Ihnen heute im Detail vorstellen werden.

Nacken, Schulter und Rücken sind drei Brüder und drei Schwestern; wenn sich eine davon unwohl fühlt, folgen die anderen!
Viele meiner Freunde denken, dassDer Nacken ist der Nacken, die Schultern sind die Schultern, der Rücken ist der Rückendass die drei nicht viel miteinander zu tun haben, in Wirklichkeit ist diese Idee voreingenommen, von den Medizinstudenten, wir sollten die颈, Schulter, RückenBetrachten Sie ihn als einen einzigen Muskel und geben Sie eine kurze Analyse dieses Muskels, nämlich desTrapezmuskel (des oberen Rückens und des Halses)。

Wenn Sie genau hinschauen, sehen SieDieser Trapezius.einschließen.Schädelbasis, Nacken, Schultern und RückenDie Trapezmuskeln auf beiden Seiten sind eng miteinander verbunden und bilden zusammen eine rhomboide Struktur, die für die Aufrechterhaltung des Gleichgewichts wichtig ist.Stabilisierung des RückensSie spielt eine sehr wichtige Rolle bei der Bewältigung zahlreicher Tätigkeiten im Nacken-, Schulter- und Rückenbereich und wird in der Medizin alsDer Trapeziusmuskel ist in ein oberes, mittleres und unteres Bündel unterteilt, und die verschiedenen Teile der Kontraktion führen unterschiedliche Bewegungen aus。

Das ist nur ein Muskel, es gibt noch viele weitere im Nacken, in den Schultern und im Rücken.Fleischdie alle miteinander verbunden sind, einschließlichFaszien unter der HautEs ist auch alles ein und dasselbe, wir können den Nacken, die Schultern und den Rücken nicht trennen, ich glaube, das sollten wir verstehen.

Lassen Sie uns daher über Schmerzen im Bereich des Schulterblatts sprechen
Da die Muskeln und Faszien des Nackens und der Schultern miteinander verbunden sind, kann dieWir verbringen viel Zeit mit dem Kopf nach unten oder bei der Arbeit.Dann für den gesamten Nacken, die Schultern und den RückenMuskelzerrungist sehr offensichtlich, vor allem wenn es zu lange dauert. Ich glaube, dass viele Freunde, wenn sie lange Zeit Bücher lesen, das Gefühl haben, dassVerspannung im NackenEs ist völlig normal, dass sich der Rücken versteift und ein oder zwei Tage lang ruht, um ihn zu entlasten. Wenn jedochWenn Sie diesen Zustand über längere Zeit aufrechterhalten, kann es zu kleinen Rissen in den Muskeln und Faszien kommen.Dieser Riss zeigt keine besonderen Symptome, wenn er relativ klein ist, aber wenn er sich mehr und mehr ansammelt und ausbreitet, beginnt er Probleme zu verursachen.

Diese winzigen Risse bilden schließlich so etwas wie eineStruktur der NarbeDie gesamte Muskulatur und die Faszien sind übermäßig angespannt, insbesondere an den Verbindungsstellen zwischen Muskeln und Knochen, und dieDie Innenseite des Schulterblatts ist in der Regel mit zahlreichen Muskeln verbunden und ist am stärksten von diesem Problem betroffen。
●Symptome. Viele meiner Freunde werden sichErhebliche Schmerzen an der Innenseite des Schulterblattsund in schweren Fällen können sich die Patienten sogarTaubheitsgefühl in den oberen GliedmaßenViele Patienten wachen jedoch morgens mit dem Gefühl auf, dass sich ihr ganzer Körper in einem Schockzustand befindet.Die Rückseite der Schulter ist abnormal steifUm den Rücken der Schultern langsam zu entfalten, bedarf es einer Periode kräftiger Aktivität, die bei manchen Patienten 10 bis 20 Minuten, bei anderen länger dauert.

Aber genau das ist es, wasDa die Beschwerden durch Aktivität gelindert werden können, schenken viele Patienten ihnen keine große Aufmerksamkeit.Das Problem ist nicht besonders dringend, um ins Krankenhaus zu gehen, um Hilfe zu suchen, so dass das Problem für eine lange Zeit verzögert, einige Patienten haben Schmerzen für zwei oder drei Monate oder sogar ein halbes Jahr vor dem Gang ins Krankenhaus für die Behandlung, natürlich, je länger die Behandlung Wirkung ist oft desto schlimmer, je länger die Notwendigkeit der Behandlung, desto größer die Kosten.
Es gibtEinige Freunde werden diesen Schmerzpunkt selbst berührenEs wird sich um den Schmerzpunkt herum abnormal anfühlenUnbeweglichIm Gegensatz zu anderen Muskelgeweben, die weich sind und knotigen Veränderungen ähneln, wird dieser Zustand oft auch alsAuslösepunkt.oderexzidierenEs ist auch bekannt alsein Knoten in einer Sehne。

●sich nach jemandes Gesundheit erkundigen.. Der Versuch, das Vorhandensein dieser anormalen Triggerpunkte zu diagnostizieren, ist eigentlich recht einfach, dieEine gründliche Untersuchung durch einen Arzt hilft dabeiIm Zuge des Bodychecks werden wir natürlich auch dieDiese abnormen knotigen Veränderungen in den oberflächlichen oder tieferen Schichten des Muskelsund kräftiger Druck löst beim Patienten starke, unerträgliche Schmerzen aus.Bei einigen Patienten strahlen die Schmerzen in die oberen Gliedmaßen oder in den Kopf, das Gesicht und die Stirn aus, und in einigen schweren Fällen können die Patienten Schmerzen in den Augenhöhlen spüren.。

passieren (eine Rechnung oder Inspektion etc.)Muskel- und Knochen-UltraschallEs ist auch möglich, diese abnormen Strukturen zu erkennen.
Alternativ dazuFühren Sie die entsprechenden Untersuchungen an der Halswirbelsäule durch.Viele Menschen sind in solchen Situationen.Die Halswirbelsäule neigt zu einer deutlichen Krümmungsänderung und kann sich aufrichten oder zurückschnellen.Wenn die Krümmung der Halswirbelsäule stark verändert ist, müssen auch die die Halswirbelsäule umgebenden Myofaszien überdehnt werden, was zur Bildung von Triggerpunkten führt.
●Aushärten. Wird bei einer ärztlichen Untersuchung, einem Muskel-Ultraschall oder einer Röntgenuntersuchung der Halswirbelsäule ein Problem festgestellt, so wird dieDie Behandlung ist nach wie vor konservativ.möglichOrale Medikamente zur Linderung von Muskelkrämpfenwie z. B. Chlorzoxazon, um den Patienten bei ihren Symptomen zu helfen und auch umOrale oder topische NSAIDs zur SchmerzlinderungDarüber hinaus empfiehlt Dr. TseAkupunktur und ManipulationDr. Xie hatte auch eine schwere Nacken-, Schulter- und Rückenfasziitis, und nach mehreren Akupunktur- und Manipulationssitzungen wurden die Symptome sehr gut gelindert. Ich erinnere mich noch gut daran, wie der Arzt, der die Manipulationen durchführte, bei sehr starken Schulter- und Rückenschmerzen nur eine Manipulationsbehandlung von weniger als 10 Minuten durchführte, und die Verspannungen in Schulter und Rücken um etwa 50 % verschwanden.

Auch Dr. Xie wies darauf hin, dass sich der Schmerz zwar in der Peripherie des Schulterblatts manifestiert, dieWir können uns bei der Behandlung der Halswirbelsäule nicht entspannen.Die Halswirbelsäule ist richtigAkupunktur, Manipulationstherapie oder Physiotherapie, z. B. Mikrowellen, Interferenzpunkttherapiekann auch dazu beitragen, Schmerzen im Bereich der Schulterblätter zu lindern.
Eine Stoßwellentherapie kann in Betracht gezogen werden, wenn die oben genannten Behandlungen keine Linderung verschaffen und wenn nachStoßwellentherapieWenn sich die Beschwerden nicht bessern, empfiehlt es sich, einelokale Behandlung im geschlossenen KreislaufAuf.
Andere Möglichkeiten für Schmerzen im rechten Schulterblatt
●Erkrankungen der Gallenblase, einschließlich Cholezystitis oder Cholelithiasisdie alle zu Schmerzen im Bereich des Schulterblatts und im hinteren Teil der Schulter führen können. Bei anhaltenden Schmerzen im Bereich des Schulterblatts, insbesondere auf der rechten Seite, wird empfohlen, eineUltraschall des Unterleibs, um zu klären, ob ein Problem mit der Gallenblase vorliegt.
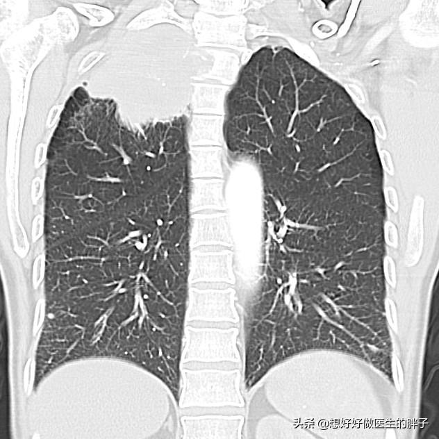
●Lungenkrankheiten.. Es ist relativ selten, dass eine Lungenerkrankung die Entwicklung von Schulter- und Rückenschmerzen verursacht, aber es gibt eine Art von Lungenkrebs namensapikaler LungenkrebsIm Frühstadium verursacht der Tumor keine spezifischen Symptome, aber wenn er wächst, dringt er langsam in das Brustfell ein und kann Schmerzen im hinteren Teil der Schulter verursachen.

Wenn ein solcher Verdacht besteht, ist es wichtig, Folgendes durchzuführenCT-Untersuchung der Lungeum zu klären, ob es einen Platzhalter gibt.
●Bandscheibenvorfall an der Halswirbelsäule. Wenn ein Bandscheibenvorfall in der Halswirbelsäule auf die Nerven drückt, kann dies zu Schmerzen im hinteren Teil der Schulter führen, insbesondereKompression der zervikalen Nervenwurzeln 6-7Es kann zu Schmerzen im Bereich des Schulterblatts kommen.

Zusammenfassungen
in der TatEs gibt eine Reihe von Gründen, warum wir Schmerzen im Bereich des Schulterblatts habenAber in der Klinik die häufigste oder Nacken, Schulter, Rücken myofasziale Probleme, so Dr. Xie in diesem Artikel gibt Ihnen auch eine detaillierte Einführung in die spezifischen, wie zu tun ist, wurde im Detail geschrieben, ich hoffe, Freunde mit dem gleichen Problem zu helfen.
auch wennDieses Problem tritt in der klinischen Praxis sehr häufig auf, erfordert aber auch eine erhöhte Aufmerksamkeit des Arztes und die Fähigkeit, den Punkt, der den Schmerz des Patienten auslöst, während des Untersuchungsprozesses zu lokalisierenUm festzustellen, ob der Schmerz relativ oberflächlich ist und nicht auf ein tieferes Problem zurückzuführen ist, und um ihn dann entsprechend zu untersuchen und zu behandeln.
Wenn der Schmerz tiefer oder oberflächlich liegt und kein Auslöser für den Schmerz gefunden werden kann, sind weitere Untersuchungen erforderlich.Gallenblase, Lunge, sogar das Herz.zur weiteren Klärung des Problems, sondern auch bitte haben die gleichen Probleme Freunde, nicht zu Hause ziehen, muss in das Problem der frühen Start, rechtzeitig ins Krankenhaus, um medizinische Hilfe, Früherkennung und frühzeitige Behandlung, die Wirkung wird besser sein.
Ich bin Xie Xinhui, der darauf besteht, komplexe Krankheit Wissen in einfacher Sprache zu erklären, ist es nicht leicht zu codieren, wenn Sie mit meinem Standpunkt einverstanden sind, bitte helfen Sie, ein Anliegen zu zeigen oder klicken Sie auf ein wie es, wenn Sie oder Ihre Familie und Freunde sind auch von Schmerzen um das Schulterblatt leiden, bitte leiten Sie diesen Artikel zu ihnen, die es brauchen, danke!
Ich habe schon oft über Schulter- und Rückenschmerzen geschrieben, das erste Mal habe ich über Schmerzen im Bereich des Schulterblatts geschrieben, diese Stelle befindet sich im Bereich des Bildes unten, im Allgemeinen kann es sich um eine Zerrung der entsprechenden Muskelgruppe handeln oder um Anzeichen, die durch eine Nerveneinklemmung verursacht werden, die vom Nerv ausstrahlt, wobei Ersteres vorherrscht ......
Es muss einen Grund für den Schmerz geben.

Wenn der Schmerz im Schulterblatt drei Monate lang anhält, bedeutet dies, dass es schwierig ist, dieses Symptom durch die eigene Genesungsfähigkeit zu beseitigen, und dass es in dieser Zeit notwendig ist, die Ursachen für diesen Schmerz zu analysieren, die Ursache zu finden und sie dann entsprechend zu behandeln.
1. muskuläre Belastung
In diesem Bereich befinden sich viele Muskeln, und Menschen, die viel mit erhobenen Armen arbeiten (z. B. Lehrer, die an der Tafel schreiben, Friseure, die Haare schneiden, Labormitarbeiter, die Experimente durchführen), sind sehr anfällig für Überlastungen, die, wenn sie bis zu einem gewissen Grad akkumuliert werden, zu Schmerzen führen.
2. große Muskeln

Die Muskeln Infraspinatus, Subscapularis, Teres major und Teres minor befinden sich alle in diesem Bereich und können durch Abtasten ermittelt werden, und die gefundenen Schmerzpunkte können die Diagnose im Grunde bestätigen, wenn der Druckschmerz mit den üblichen Schulterschmerzen übereinstimmt.
3. die Beseitigung von Schmerzen
Sobald Sie den Schmerzpunkt gefunden haben, können Sie ihn mit der Ellenbogenmethode in einer Intensität massieren, die sich für den Schmerz angenehm anfühlt. Einmal täglich 3 bis 5 Minuten lang kann dieses Symptom beseitigt werden.
4. die Einklemmung eines Nervs

Schmerzen in diesem Bereich sollten mit dem Nervus suprascapularis in Verbindung gebracht werden, der auch bei einem zervikalen Bandscheibenvorfall, einer Einklemmung des zervikalen Nervengeflechts und einer Einklemmung des Plexus brachialis auftreten kann, was umgehend untersucht werden sollte und in Eigenregie nur schwer zu bewältigen sein kann.
Betonung des Einsatzes von Massage
Die Analyse des Problems, einfache Behandlungen sind für Sie geschrieben worden, und ich werde ein Video von der Massage dieses Bereichs aufnehmen, in der Hoffnung, dass dieser Schmerz auf die am wenigsten kostspielige Weise beseitigt werden kann, und dass die Symptome nicht wieder auftreten, solange das zugrunde liegende Problem gelöst ist!
Wer über 40 Jahre alt ist, kann mit Stolz sagen, dass er oder sie nicht das geringste Problem mit den Schulterblättern hat, und es gibt viel zu wenige davon.
Für diese Frage allein gibt es zu wenige Anhaltspunkte, und der Schulterschmerz ist ein äußerst breit gefächertes Symptom, aber der alte König könnte versuchen, die vielen Möglichkeiten des Schulterschmerzes vollständig zu entschlüsseln, und vielleicht würde Ihnen das helfen, das von Ihnen erwähnte Problem zu lösen.

Wie wir wissen, wird der Schulterschmerz in akut und chronisch unterteilt, wobei weniger als 6 Monate als akut und mehr als 6 Monate als chronisch gelten. Als Nächstes werden wir ihn genau analysieren:
Als Erstes muss ausgeschlossen werden, dass der ausstrahlende Schmerz durch eine viszerale Erkrankung verursacht wird.
- Wenn es sichSchmerzen im rechten SchulterblattWenn die Schmerzen durch eine Läsion auf der rechten Seite des Körpers verursacht werden, kommen folgende Möglichkeiten in Frage: Gallensteine, Leberkrebs, Magengeschwür, Blinddarmentzündung.
- Wenn es sichSchmerzen im linken SchulterblattWenn Sie ein Problem haben, denken Sie an das Reizdarmsyndrom (IBS), Herzerkrankungen, Pankreatitis, Bauchspeicheldrüsenkrebs und Milzerkrankungen.
- Wenn es sichSchmerzen in der Mitte des SchulterblattsBei einer Aortendissektion sind gastroösophagealer Reflux (GERD), Ösophagusspasmus, Ulkus oder Krebs, Wirbelbruch, T4-Syndrom, oberes Thoraxsyndrom, Hodgkin-Lymphom und Aortenisthmusstenose zu berücksichtigen.
- Wenn es sichSchmerzen an der Spitze des Schulterblatts.Peritonitis, gerissene Eileiterschwangerschaft, gerissene Eierstockzyste, Endometriose.

Ursachen von Skapularschmerzen nach Gewebestellen
Analysieren wir diese Aspekte:
Erstens: die Muskeln.
1, schlechte Körperhaltung:In der heutigen Zeit können eine angespannte Brust und eine schwache obere Rückenmuskulatur aufgrund langer Schreibtischarbeit zu Schulterschmerzen führen, die durch eine Rundung und Vorverlagerung der Schultern verursacht werden, vor allem, wenn Kopf und Nacken nach vorne gebeugt werden, was die Schmerzen auslösen kann.
2, Myofasziales Schmerzsyndrom:Das myofasziale Schmerzsyndrom ist eine chronische Erkrankung, die sich in den Muskelhüllen zeigtTriggerpunkte.Druck auf die Triggerpunkte kann zu Schmerzen führen, die in die Schulter, die Rückseite des Arms, die Hand und den kleinen Ringfinger ausstrahlen.
3, Schmerzsyndrom des Musculus serratus anterior:Übermäßiges Training der Brust (z. B. Liegestütze, Bankdrücken), Boxen oder das Heben schwerer Gewichte kann zu einer Überbeanspruchung des vorderen Serratus-Muskels auf beiden Seiten der Brust führen, was zu Schmerzen an der Basis der Schulterblätter oder darunter führen kann. Tiefes Atmen und das Bewegen der Arme können die Schmerzen in den Unterarmen und Innenarmen verschlimmern.
4, Skapulierknall-Syndrom:Eine Reihe von Syndromen, bei denen der Mechanismus der Gelenkbewegung zwischen dem Schulterblatt und den Brustwandknochen gestört ist, was zu einem Schulterzucken oder einem knallenden Geräusch beim seitlichen Anheben des Arms führt, meist verursacht durch wiederholte Überkopf-Armbewegungen wie Schwimmen oder Werfen. Schmerzen entlang der medialen Seite des Schulterblatts treten auf, wenn der Arm über Schulterhöhe angehoben wird.

II. Sehnen
1, Fibromyalgie:Die Fibromyalgie ist eine chronische, schmerzhafte, nicht artikuläre rheumatische Erkrankung, die durch diffuse Muskelschmerzen und Steifheit im gesamten Körper gekennzeichnet ist und häufig von einer Vielzahl anderer Symptome wie Müdigkeit und Schwäche, Schlafstörungen, affektiven Störungen und kognitiven Dysfunktionen begleitet wird. In der Regel finden sich mehrere symmetrische Druckpunkte an verschiedenen Stellen des Körpers.
2, Nackenschleudertrauma:Zerrung oder Riss der Nackenmuskeln, Sehnen oder Bänder oder sogar Schädigung der Bandscheiben und Nerven, verursacht durch eine plötzliche Vorwärts- oder Rückwärtsbewegung des Halses, am häufigsten bei Auffahrunfällen. Der Schmerz strahlt vom Nacken bis zu den Schulterblättern aus und kann durch seitliches Drehen des Kopfes ausgelöst werden.

Drei. Knochen.
1, Wirbelkörperfraktur:Wirbelbrüche treten am häufigsten bei älteren Erwachsenen mit Osteoporose oder Wirbelsäulenkrebs auf und können durch einen kleinen Sturz oder sogar einen heftigen Husten ausgelöst werden.
2, Knochenkrebs:Die Ausbreitung von Knochenkrebs oder Knochenmetastasen im Schulterblatt kann zu Schmerzen im Schulterblatt führen, insbesondere beim Liegen auf dem Rücken, oft begleitet von Müdigkeit, Appetitlosigkeit und Gewichtsverlust.
IV. Nerven
1, Bandscheibenvorfall, Spinalkanalstenose:Wenn UnterdrückungC4, C5, C6.Nervenwurzel, treten die Schmerzen über dem Schulterknochen auf. Wenn Druck auf den Nerv ausgeübt wirdC7, C8.Nervenwurzel, ist der Schmerz zwischen den Schulterblättern. Wenn der Druck auf dieC8Nervenwurzel, Schmerzen in den linken und rechten Schulterblättern. Der Schmerz kann durch Zurücklehnen des Halses und Drehen des Kopfes ausgelöst werden.。Die Schmerzen können den Hals, den Kopf und den Nacken betreffen oder in die Finger ausstrahlen.
2, Herpes zoster:Postherpetische Neuralgien können Monate oder sogar Jahre andauern.
3, Thoracic-Outlet-Syndrom:Die zervikalen Rippen, ein Paar abnormaler Rippen oberhalb des ersten Rippenpaars, können Schmerzen im Schulterblatt verursachen, indem sie den Nervus brachialis an der Stelle zusammendrücken, an der er aus dem Brustkorb in den Arm austritt, was durch das Anheben der Hand über die Schulter verstärkt werden kann.

V. Schultern
Zu den häufigen Schultererkrankungen, die zu Schulterblattschmerzen führen können, gehören:
- Riss der Rotatorenmanschette
- Schulterverstauchung, Verrenkung
- Schmerzen des Trapezmuskels
- Rheumatische Myalgie
- Polymyositis und Dermatomyositis
- Nekrose des Oberarmkopfes
Wie lassen sich Schmerzen am Schulterblatt lindern?
Wenn der Skapularschmerz durch ein Trauma, einen Tumor oder eine viszerale Erkrankung verursacht wird, sollte die primäre Ursache aktiv behandelt werden.
Wenn der Schulterschmerz durch eine Muskelzerrung und eine aseptische Entzündung verursacht wird, kann er mit etwas Physiotherapie und Bewegung gebessert werden.







Nach der Besserung der Symptome ist es wichtig, die üblichen schlechten Haltungsgewohnheiten weiter zu korrigieren, um ein erneutes Auftreten zu vermeiden!
Der Schulterschmerz wird meist durch Muskelkrämpfe und -verformungen über einen längeren Zeitraum verursacht, und es gibt verschiedene Schmerzempfindungen bei Schulterschmerzen. Zum Beispiel: (1) Schulter- und Rückenschmerzen; diese Schmerzen werden häufig durch lokale Knochen- oder Weichteilverletzungen in Schulter und Rücken oder durch Reflexe von Organerkrankungen in Schulter und Rücken verursacht, und es gibt auch Tumore in anderen Teilen des Körpers, die in Schulter und Rücken metastasieren.
(2) Anhaltende starke Schmerzen; häufig verursacht durch eine Verrenkung der Schulter.
(3) Schmerzen mit Schulterbeteiligung; häufig in Verbindung mit viszeralen Erkrankungen oder nozizeptiver Überempfindlichkeit usw. Dieser Schmerz tritt langsam auf, mit einem dumpfen Schmerz und einem vagen Schmerzbereich.
(4) Diffuse, dumpfe und ausstrahlende Schmerzen im Bereich der Zahnwurzel; häufig verursacht durch Nerveneinklemmungen in der Hals- und Brustwirbelsäule.
(5) Schmerzen und Beschwerden im Bereich der Schulter; häufig in Verbindung mit Periarthritis der Schulter.
Von den fünf oben genannten Schmerzarten ist der "diffuse, dumpfe und ausstrahlende Schmerz im periapikalen Bereich" die häufigste Schmerzempfindung an der Scapula und die wahrscheinlichste.
Wie ist das zu erklären?
Das erste, was man wissen muss, um zu verstehen, was diesen Schulterschmerz auslöst, ist die Kenntnis der Wirbelsäule, denn die Wirbelsäule ist die einzige Brücke, durch die die 31 Paare von Spinalnerven des Körpers verlaufen, und sie ist der Ausgangspunkt, der die Verteilung der 31 Paare von Spinalnerven zu den Organen des Körpers einrahmt.
Die 31 Paare von Spinalnerven sind Teil des peripheren Nervensystems, das nach der Verbindung mit den 12 Paaren von Hirnnerven das periphere Nervensystem bildet. Die peripheren Nerven bestehen aus Nervenstämmen, Nervengeflechten, Ganglien und Nervenendigungen, die sich aus perinukleären Körpern und Nervenfasern zusammensetzen. Das periphere Nervensystem spielt eine Rolle bei der Regulierung, Übertragung und Beherrschung aller physiologischen Aktivitäten des menschlichen Körpers. Das Hören, Schmecken, Sehen, Riechen und andere physiologische Empfindungen des Menschen werden durch das periphere Nervensystem reguliert und beherrscht, und der Blutkreislauf des menschlichen Körpers, die Darm- und Magen-Darm-Peristaltik, die Bewegung der Gliedmaßen, die innere Aktivität der Muskeln und alle Arten von Gedankenformen werden durch das periphere Nervensystem reguliert und beherrscht.
Die Wirbelsäule besteht aus 26 Wirbeln mit 23 Bandscheiben, die übereinander angeordnet sind und eine säulenförmige Struktur bilden. 7 Halswirbel, 12 Brustwirbel, 5 Lendenwirbel, Kreuzbein und Steißbein sowie 23 Bandscheiben zwischen Halswirbel 2 und Kreuzbein 1 bilden die Wirbelsäule.
Der Rückenmarkskanal wird vom Rückenmark eingenommen, das mit dem Gehirn zu einem Ganzen verbunden ist, das als zentrales Nervensystem bezeichnet wird. Innerhalb des Rückenmarks verlaufen 31 Paare von Spinalnerven von den Halswirbeln zu den Zwischenwirbellöchern oberhalb des Steißbeins und verteilen sich in Form von Tentakeln zu den verschiedenen Organen und Muskelgeweben des menschlichen Körpers, um die physiologischen Aktivitäten des Körpers zu regulieren und zu innervieren.
Die 8 Paare von Spinalnerven, die von den Halswirbeln ausgehen, regulieren und versorgen den Kopf und die oberen Gliedmaßen, die Schultern sowie die Organe und das Muskelgewebe im Nackenbereich, einschließlich des Deltamuskels, des M. supraspinatus und anderer Muskeln im Schulterbereich. Die 12 Spinalnervenpaare, die von der Brustwirbelsäule ausgehen, versorgen und regulieren die Muskeln und anderen Organe um das Schulterblatt herum. Wenn die Spinalnerven in diesen Wirbelsäulensegmenten zusammengedrückt und verletzt werden, führt dies natürlich zu Schmerzen im Bereich des Schulterblatts, wobei die meisten dieser Schmerzen ausstrahlen.
Da die Halswirbelsäule seit der Geburt des Menschen in Gebrauch ist, ist sie anfällig für Überlastungen der Halswirbelsäule und Schleudertrauma.
Die zervikale Spondylose, auch Halswirbelsäulensyndrom genannt, ist ein Sammelbegriff für die zervikale Spondylolisthesis, die hyperplastische zervikale Spondylitis, das zervikale neurologische Syndrom und den zervikalen Bandscheibenvorfall, eine Krankheit, die auf degenerativen pathologischen Veränderungen beruht.
Die klinischen Manifestationen haben eine Vielzahl von Symptomen, der Schmerz am Schulterblatt ist die Kompression der Spinalnervenwurzel, die durch ein Nervenwurzelödem verursacht wird, das durch die Schmerzsymptome hervorgerufen wird, diese Art der zervikalen Spondylose ist als "zervikale Spondylose vom Nervenwurzeltyp" bekannt.
Nach der Analyse der obigen Ausführungen kann man zu dem Schluss kommen, dass, obwohl es viele Ursachen für Schmerzen im Schulterblatt gibt, die meisten Schmerzen wiederum mit der zervikalen Spondylose zusammenhängen!
Wenn es um Schmerzen im rechten Schulterblatt geht, ist es als Kardiologe immer noch notwendig, diese Frage zu beantworten, denn der Schulterblattschmerz im Rücken hängt manchmal mit dem Herzen zusammen, aber man kann nicht sagen, dass der Schmerz im hinteren Schulterblatt unbedingt eine Herzerkrankung ist, man kann nur sagen, dass die schlimmste Krankheit für den Schmerz im hinteren Schulterblatt eine Herzerkrankung ist, und heute ist Dr. Zhang hier, um Ihnen dieses Problem zu erklären.

Heutzutage denken viele Menschen zuerst an Herzkrankheiten, insbesondere an koronare Herzkrankheiten und Herzinfarkte. Dies zeigt, dass die Gesundheitskompetenz der gesamten Bevölkerung hoch ist und die Menschen anhand einiger untypischer Symptome an schwere Krankheiten denken können. Aber um ehrlich zu sein, die meisten Patienten mit Schulterblatt Schmerzen sind nicht koronare Herzkrankheit, noch akuter Myokardinfarkt, die koronare Herzkrankheit sein kann, Myokardinfarkt kann nur sagen, dass es eine sehr kleine Zahl von Fällen. Also, die zurück Schulterblatt Schmerzen zu prüfen, koronare Herzkrankheit?
Zuallererst muss diese Art von Patienten haben koronare Herzkrankheit Risikofaktoren, wie langfristige Diabetes mellitus, Hyperlipidämie, usw. Zur gleichen Zeit, diese Art von Schulterblatt Schmerzen ist oft in der körperlichen Aktivität oder emotionale Aufregung, oft begleitet von anterioren Thorax Beschwerden, wie Schmerzen in der Brust, Brust Engegefühl, und andere Beschwerden, die für ein paar Minuten dauert, kann nach Ruhe oder mit Nitroglycerin gelindert werden, und ist nicht eine Schulterblatt Beschwerden, die für ein paar Tage, wie viele Menschen, die anhaltend nicht gelindert werden dauert. Erleichterung.

Zweitens: Besteht der dringende Verdacht, dass es sich bei diesem intermediären Skapulierschmerz um einen ausstrahlenden Schmerz einer Myokardischämie handelt, kann zum Zeitpunkt des Auftretens der Beschwerden ein EKG durchgeführt werden, und wenn das EKG auf eine Myokardischämie hindeutet, sollten weitere Untersuchungen in Betracht gezogen werden. Wenn das Elektrokardiogramm nicht auf eine Myokardischämie hindeutet und gleichzeitig keine Risikofaktoren für eine koronare Herzkrankheit vorliegen, ist es besser, eine Überprüfung der Muskelzerrung, der zervikalen Spondylose und anderer verschiedener Krankheiten, die Skapulierschmerzen verursachen, in Betracht zu ziehen und nicht alle Energie auf das Herz oder die koronare Herzkrankheit zu verwenden.
Abschließend möchte Dr. Zhang alle daran erinnern, dass es Tausende von Krankheiten gibt, die Schulterschmerzen verursachen können, wie z. B. zervikale Spondylose, muskuläre Neuropathie usw., und dann müssen wir möglicherweise Orthopädie, Rehabilitation und so weiter sehen. Und wenn diese Scapula Schmerzen durch verschiedene Methoden schlägt das Vorhandensein von Myokard-Ischämie Möglichkeit, dann rechtzeitig an die Kardiologie-Abteilung, versuchen, Früherkennung, frühe Behandlung ist besser.

Ich höre oft, wie Menschen in meiner Umgebung über Schmerzen im Bereich des Schulterblatts sprechen, und es sind mehr als ein oder zwei. Jedes Mal, wenn ich darüber spreche, geht es im Grunde um Schmerzen im Bereich des Schulterblatts, und die Symptome sind seit Monaten nicht abgeklungen, und in einigen Fällen haben sich die Schmerzen sogar noch verschlimmert. Viele Leute haben mich gefragt, welche Behandlung ich durchführen muss und welche Tests ich machen muss. In der Tat, wegen der Besonderheit der Lage des Schulterblattes Region, die spezifischen Ursachen der Schmerzen, wird die Situation komplexer sein, werde ich im Detail zu erklären, wenn es andere Fragen sind, willkommen, Fragen zu stellen.

Es gibt viele Arten von Schmerzen in der Schulterblattregion, und eine der häufigsten, nach denen ich gefragt werde, ist der diffuse, ausstrahlende Schmerz um die Schulter, der häufig durch eine Einklemmung des Brust- oder Halsnervs verursacht wird. Darüber hinaus gibt es noch einige andere Arten von Schmerzen: ein schmerzhaftes Gefühl im Bereich der Zahnwurzel, unbestimmte Schmerzen mit ziehenden Schmerzen im Bereich der Zahnwurzel, anhaltende stechende Schmerzen und Schmerzen in der Rückseite der Schulter. Natürlich ist es im Allgemeinen nicht möglich, anhand des Schmerzortes eine eindeutige Diagnose zu stellen, aber das Schmerzempfinden ist auch der direkteste Hinweis auf die Ursache des Schmerzes, so dass unterschiedliche Schmerzempfindungen uns oft darauf hinweisen, "wo der Übeltäter ist".

Bei der Frage nach den Ursachen der Schmerzen müssen Sie zunächst genau überlegen, ob Sie in letzter Zeit eine Arbeit verrichtet haben, die die Muskeln belastet. Da sich im Bereich des Schulterblatts viele Muskeln befinden (siehe unten), können spezielle Berufe, wie z. B. das häufige Heben der Arme, bei längerer Anhäufung von Schmerzen Schmerzen an der Rückseite des Schulterblatts verursachen. Dies kann auf die Belastung der Muskelgruppen zurückzuführen sein, die die Schmerzen verursachen. Wenn es aus diesem Grund ist, kann es empfohlen werden, zur Ruhe, flach auf dem Bett liegend, können Sie ein heißes Wasser Tasche für heiße Kompresse (heißes Wasser Tasche kann ein Handtuch gewickelt, um Verbrühungen zu vermeiden), kann 3-5 mal am Tag, jedes Mal die heiße Kompresse 20 Minuten. Wenn die Symptome immer noch nicht gelindert werden können, ist es empfehlenswert, einen Arzt zu sehen.

Zunächst einmal, die rechte Schulterblatt Schmerzen dieses Symptom ist sehr häufig, und viele Male kann nichts dagegen tun, was zu den rechten Schulterblatt Schmerzen gibt es viele Faktoren, nicht einfach nur die Schulterblatt und Muskel-Probleme, gibt es auch einige Läsionen beteiligt können auch dazu führen, dass das Auftreten von Schmerzen, einige sind vorübergehende Schmerzen, einige sind langfristige Unregelmäßigkeit der Schmerzen, aber die rechte Schulterblatt Schmerzen für 3 Monate zeigt, dass die Zeit wurde ziemlich lang.
Was sind die Faktoren, die zu rechtsseitigen Schulterschmerzen führen, wie Dr. Ma im Folgenden beantwortet?
1、Eingefrorene Schulter oder Muskelzerrung der rechten Schulter und des Rückens
Die häufigste Erkrankung, die im Alltag Schmerzen im rechten Schulterblatt verursacht, ist die Schultersteife, die vor allem auf langfristige Überlastung (falsche Körperhaltung) zurückzuführen ist und leicht zu Verklebungen oder Entzündungen des Gewebes um das Schulterblatt herum führen kann, so dass das Schulterblatt schmerzt und die Schmerzen bei der Arbeit offensichtlich sind. Die Symptome sind jedoch leichter als bei einer Schultersteife und bessern sich nach einer gewissen Zeit.
2. die Erkrankungen der Gallenblase
Viele Menschen für die rechte Seite des Schulterblattes Schmerzen dachte nur, es war gefrorenen Schulter oder Müdigkeit, aber nicht wissen, dass Gallenblase Krankheit (Cholezystitis, Gallenblase Steine) kann auch dazu führen, dass die Entstehung der rechten Seite des Schulterblattes und Rückenschmerzen, dieses Symptom wird als Schmerzen, das heißt, die Gallenblase Schmerzen, die durch die Nerven, die in die Entstehung der rechten Seite der Schulter und Rücken und der rechten Seite des Arms, die Finger zu sein schien Schmerzen Taubheitsgefühl.
3. zervikale Spondylose
Zervikale Spondylose ist vor allem durch langfristige niedrige Kopfarbeit, Kissen zu hoch und andere Faktoren führen zu Halswirbel Degeneration und Vorsprung, und leicht durch den Hals Blutgefäße und Nerven zu drücken, so dass, wenn die rechte Seite der Kompression wird leicht dazu führen, dass die rechte Seite des Schulterblattes Schmerzen und Taubheit, und es wird von Kopfschmerzen und Schwindel, Nackenschmerzen und andere Symptome begleitet werden.
Dies sind die wahrscheinlichsten Faktoren, die Schmerzen im rechten Schulterblatt verursachen, aber es gibt auch Tumormetastasen, lokale Tumore, Herzerkrankungen und andere Symptome, die Schmerzen verursachen können, so dass Schmerzen im rechten Schulterblatt seit 3 Monaten Beschwerden verursachen, so dass rechtzeitige Untersuchung und symptomatische Behandlung.
Folgen Sie Dr. Ma für weitere Antworten zum Thema Gesundheit, vielen Dank!
Was verursacht seit drei Monaten Schmerzen im rechten Schulterblatt?
Bevor ich Ihre Frage beantworte, möchte ich das Ausmaß, die Regelmäßigkeit und die Art Ihrer Schmerzen, etwaige Begleitsymptome wie Husten, Schleim, Gewichtsverlust usw. sowie eine Kombination aus Darm- und Blasenproblemen, Ess- und Schlafstörungen und Ihre medizinische und persönliche Vorgeschichte kennen.
Wahrscheinlich gibt es diese Ursachen für Schmerzen im Schulterblatt:
1, Nacken und Schulter gemeinsame Schultersteife, die häufig bei Menschen mittleren Alters und ältere Menschen über 50 Jahre alt, mit Symptomen der eingeschränkten Schultergelenk Aktivität, Heben Rückenverlängerung und andere mehrere Quadranten Einschränkungen, sondern auch durch Schmerzen und Beschwerden, vor allem in der Nacht begleitet.
2, zervikale Spondylose, viele Menschen der zervikalen Spondylose führen zu zurück scapular Schmerzen, weil die meisten der Nerven in der Scapula sind aus der Halswirbelsäule, wenn die Halswirbelsäule lokalisiert Nervenkompression und Entzündung wird Schmerzen verursachen.
3, Osteoporose, viele ältere Menschen, vor allem Frauen nach der Menopause, besonders anfällig für Nacken, Schulter, Taille und Bein Schmerzen, mit den Stoffwechselstörungen des Körpers Hormonspiegel, der Verlust von Knochen Kalzium, ist es leicht zu erscheinen Wirbelsäule Seite Rand Punkte der Schmerzen.
4, immun-rheumatische Erkrankungen, obligatorische Spondylitis, Rheuma, Gicht und andere Krankheiten können Schmerzen im Schulterblatt verursachen.
5, Infektionen oder Tumore der Brustorgane. Lungenentzündung, Tuberkulose und andere Infektionen. Myokardinfarkt, Aorten-Koarktation und so weiter. Es gibt auch bösartige Tumore der Lunge und des Mediastinums. Sie kann auch Schmerzen im Bereich des Schulterblatts verursachen.
Schmerzen am Schulterblatt treten am häufigsten im Zusammenhang mit Schultersteife und lokalen Zerrungen bei jungen Menschen auf. Normalerweise ist das kein großes Problem, aber wenn die Schmerzen sehr stark sind oder lange Zeit nicht abklingen, sollten Sie ins Krankenhaus gehen.


Vielen Dank für die Einladung! Was genau verursacht Schmerzen im rechten Schulterblatt, die über drei Monate anhalten? Das muss man von Fall zu Fall beurteilen, und da gibt es viele Ursachen.
Zunächst einmal ist die häufigste Situation, ist die Weichteil-Verletzung, und dies ist auf die Anhäufung von Stamm-Verletzung, die gleichbedeutend mit einer langen Zeit der Anstrengung kann nicht sehr effektiv, um Ruhe, Muskelermüdung, so dass die Scapula Teil der Schmerzen, das ist in der Regel nicht in alle Richtungen ausstrahlen, eine bestimmte Region des Schmerzes, die Art der Schmerzen auf die Dehnung oder Wundsein basiert. Und in der Regel diese Art von Schmerzen nach Ruhe, Massage, Massage, Physiotherapie und andere Möglichkeiten können wirksam für die Erleichterung, das ist die beste einfach zu behandeln, aber es ist oft kann wiederkehrende, nicht in der Lage sein, grundsätzlich heben die Faktoren der Anstrengung, ist es nicht möglich, das Problem grundlegend zu lösen.
Die zweite ist das Problem der gefrorenen Schulter, in der Tat, das ist auch einige chronische Muskel-oder Bänder, Sehne aseptische Entzündung, manchmal ist dies eine lange Zeit nicht sehen, offensichtliche Aktivitäten, eine feste Haltung, was zu Adhäsion und verursacht. Schließlich kann diese Situation gebildet werden, und für diese Zeit muss rechtzeitig im Zusammenhang mit der Übung, um eine bessere Lösung des Problems. Diese Art von allgemein gesprochen ist vor allem Wundsein.
Wieder einmal kann es zervikale Spondylose, Nervenkompression durch die zervikale Bandscheibenvorfall, diesmal kann skapulären Schmerzen verursachen, aber dieser Schmerz ist oft in den späteren Stadien wird in die Ferne ausgestrahlt werden, und begleitet von einigen der das Auftreten von Nackenbeschwerden, und es wird allmählich verschlimmern, und es gibt keine besondere Tendenz zur Besserung. Diese Art von Notwendigkeit, ins Krankenhaus in der Zeit für die entsprechende Behandlung zu gehen.
Es kann auch relativ seltene Probleme geben, wie z. B. Lungenkrankheiten, die Schmerzen an der betreffenden Stelle, hauptsächlich im rechten oberen Lungenflügel, verursachen können, wie z. B. Lungentumore, die nicht vollständig ausgeschlossen werden können und rechtzeitig untersucht werden müssen, um die Diagnose zu bestätigen.
Auch in einigen Fällen einige koronare Herzkrankheit, Myokardinfarkt kann auch erscheinen bestimmte skapulären Schmerzen, wenn auch relativ selten, kann aber nicht vollständig ausgeschlossen werden, diese Notwendigkeit, ins Krankenhaus für Elektrokardiogramm Test gehen.
In einigen Fällen sind die Schmerzen durch den Verlauf der Verletzung bedingt, z. B. durch einen Bruch bei einer traumatischen Verletzung oder durch einen Knochentumor. In anderen Fällen kann der Schmerz durch den Druck eines wachsenden Lipoms verursacht werden.
Um eine Krankheit zu diagnostizieren, ist daher eine sehr große Anzahl von Indikatoren zu beachten, die im Kontext der tatsächlichen Situation beurteilt werden müssen, und verschiedene Patienten haben unterschiedliche klinische Diagnosekriterien.
Wenn es Ihr tägliches Leben beeinträchtigt, gehen Sie rechtzeitig ins Krankenhaus und lassen Sie sich untersuchen, um das Problem besser zu lösen.
Ich hoffe, dass alle bei guter Gesundheit sind!
Diese Frage und Antwort sind von den Nutzern der Website, stellt nicht die Position der Website, wenn eine Verletzung, kontaktieren Sie bitte den Administrator zu löschen!