Wie sterben Lungenkrebspatienten normalerweise?
Wie sterben Lungenkrebspatienten normalerweise?
Ein schweres Thema, mit dem sich jedoch viele Lungenkrebspatienten und ihre Angehörigen auseinandersetzen müssen. Die Inzidenz- und Sterblichkeitsrate von Lungenkrebs steht unter allen bösartigen Tumoren an erster Stelle. Obwohl es relativ viele Behandlungsmethoden für Lungenkrebs gibt, ist die Gesamtwirkung nicht optimistisch. Wenn alle Behandlungen unwirksam sind und sich der körperliche Zustand des Patienten allmählich verschlechtert, kommt es zu einer Vielzahl von lebensbedrohlichen Situationen. Nicht nur Lungenkrebs, sondern alle Krebspatienten sterben schließlich nicht am Krebs selbst, sondern am Versagen mehrerer Organe.

Für den Tod von Lungenkrebspatienten können folgende Ursachen verantwortlich sein
(1) Atemversagen, allgemein bekannt als Luftmangel des Patienten, ist die häufigste Erkrankung bei Patienten mit fortgeschrittenem Lungenkrebs. Zentrales Lungenkarzinom verstopft die Luftröhre und die Hauptbronchien, was den Lufteintritt erschwert, und bei einer großen Atelektase der Lunge kommt es allmählich zu Atemnot und Dyspnoe. Bei einigen Patienten entwickelt sich aufgrund von Pleurametastasen ein großer Pleuraerguss, der das Lungengewebe zusammendrückt, so dass die Lunge nicht wieder geöffnet werden kann. Bei anderen Patienten sind zu viele Lungenläsionen vorhanden, und die effektive Atemwegsmembranfläche ist erheblich reduziert. All diese Gründe führen schließlich zu Engegefühl in der Brust, Kurzatmigkeit, sitzender Atmung und schließlich zum Atemstillstand.

(2) Schwere Infektionen Lungeninfektionen sind eine sehr häufige Begleiterkrankung und Todesursache bei Lungenkrebspatienten. Aufgrund von Lungenläsionen und Atemwegsobstruktion sind Sputum und Bakterien bei Patienten mit Lungenkrebs im fortgeschrittenen Stadium nur schwer auszuscheiden, und alle Arten von bakteriellen und Pilzinfektionen können leicht auftreten. Aufgrund der extrem niedrigen Immunfunktion ist es schwierig, Lungeninfektionen selbst mit dem Einsatz von Top-Antibiotika zu kontrollieren, und die Patienten leiden an Sepsis und infektiösem Schock, was ihr Leben gefährdet.

3. extreme Auszehrung: Der Tumor selbst ist eine Krankheit, die dem Körper Nährstoffe und Energie entzieht. Patienten mit fortgeschrittenem Lungenkrebs leiden auch unter Appetitlosigkeit, Übelkeit und Erbrechen, unzureichender Nährstoffaufnahme und dem ständigen Verzehr von Tumorzellen, und schließlich neigen die Patienten zu einer so genannten "malignen Flüssigkeitsstauung", bei der alle Organe des Körpers nicht ausreichend mit Nährstoffen versorgt werden und sogar an multiplem Organversagen sterben. Letztendlich stirbt der Patient an multiplem Organversagen.

Hämoptyse und Asphyxie Viele Lungenkrebspatienten haben das Symptom von Blut im Sputum, insbesondere bei zentralem Lungenkrebs, wenn der Tumor in die großen Blutgefäße eindringt, kann es zu Hämoptyse kommen, und das Blut fließt in die Atemwege, was zu Erstickung führt und das Leben gefährdet.

5. krampfhaftes Koma Wenn die Läsion der Lungenkrebs-Hirnmetastase allmählich zunimmt, treten ein Hirnödem, ein erhöhter Hirndruck oder sogar eine Hirnhernie auf, und der Patient hat starke Kopfschmerzen und Erbrechen, und die metastatische Läsion in den wichtigen Teilen löst eine sekundäre Epilepsie aus, und der Patient krampft und fällt ins Koma, was das Leben des Patienten gefährdet.

6) Elektrolytstörungen 30 % der Lungenkrebspatienten haben ein Krebssyndrom, eine ektopische Hormonausschüttung und hartnäckige Elektrolytstörungen wie Natriummangel, Kaliummangel und schwerwiegende Elektrolytstörungen, die die elektrische Leitung des Herzens beeinträchtigen und das Leben gefährden.

7) Thrombose: Das Blut von Patienten mit fortgeschrittenem Lungenkrebs befindet sich in einem hohen Gerinnungszustand, der leicht zu Thrombosen führen kann. Wenn der Thrombus oder die Krebsembolie in wichtige Organe verschleppt wird, kann dies zu Herzinfarkten, Hirninfarkten, Lungenembolien usw. führen, und in der klinischen Praxis haben wir bei Patienten, die sich einer plötzlichen Chemotherapie unterzogen haben, Todesfälle durch Herzinfarkte erlebt.

8. metastasierende Herde verursachen Organversagen Lungenkrebs kann in Leber, Bauchhöhle und Niere metastasieren. Wenn die metastasierenden Herde zu zahlreich und groß sind, verursachen sie nicht nur Symptome von Kompression und Obstruktion, sondern beeinträchtigen auch die Leber- und Nierenfunktionen, was zu Leberversagen und Nierenversagen führt, und ausgedehnte Metastasen in der Bauchhöhle verursachen einen Darmverschluss, so dass der Patient nicht essen kann und an Erschöpfung stirbt.

9. behandlungsbedingte Todesfälle Todesfälle im Zusammenhang mit der Behandlung von Lungenkrebs sind keine Seltenheit. Die Behandlungsmethoden für Lungenkrebs, wie Chemotherapie, Strahlentherapie, gezielte Therapie und Immuntherapie, haben alle entsprechende toxische Nebenwirkungen, und eine sehr kleine Zahl von Patienten starb, weil sie verschiedene Toxizitäten im Verlauf der Behandlung nicht vertragen konnten.
Mein Bruder starb an Lungenkrebs, der in seine Bauchhöhle metastasiert hatte. Zehn Tage vor seinem Tod war er vom Bauch bis zu den Füßen so geschwollen, dass es beängstigend war, sein Körper war so dünn, aber sein Bauch war geschwollen, und seine Beine waren so geschwollen und glänzend, dass es schien, als könnte man sie mit einem Schlag auf die Hand brechen. Es ist immer noch schwer, daran zu denken.
Es war eine Überraschung, dass mein Bruder Lungenkrebs bekommen konnte, und es ist verwunderlich, dass jemand, der so diszipliniert ist, daran erkranken konnte.
Mein Bruder ist introvertiert, er raucht und trinkt nicht, nur eine Flasche Bier, sein Leben ist auch sehr regelmäßig. Wenn er arbeitet, ist es zwei Uhr und eine Linie, er geht in die Fabrik und kommt von der Arbeit nach Hause, und er hat nie irgendwelche sozialen Kontakte oder so etwas.
Im Oktober 2013 ging mein Bruder in einem zentralen Unternehmen in den Ruhestand, er war Abteilungsleiter und Chefingenieur, sein Ruhestandsgehalt ist also sehr hoch. Da meine Mutter an Alzheimer erkrankt ist und vor 5 Jahren in ein Seniorenheim geschickt wurde, geht mein Bruder im Ruhestand jeden Morgen ins Seniorenheim, um meine Mutter zu begleiten, egal ob es regnet oder scheint.
Am Ende des Jahres 2016 ist die kälteste Zeit des Jahres, mein Bruder begann zu husten, meine Schwägerin kaufte ihm Hustenmedizin in der Apotheke, nahm nicht gut, und immer wieder verändert mehrere Hustenmedizin oder nicht wirksam.
Dieser Husten hielt bis zum Frühlingsfest 2017 an, und in dieser Zeit hatte er jede Nacht niedriges Fieber. Nach dem Frühlingsfest riet ich ihm, ins Krankenhaus zu gehen, und am achten Tag des ersten Monats, dem ersten Arbeitstag im Krankenhaus, gingen wir in ein Krankenhaus der dritten Klasse für chinesische Medizin.
Wir suchten einen Lungenarzt auf, erzählten ihm von unserem Zustand, baten um eine Computertomographie der Lunge, und nachdem er sich den Film angesehen hatte, sagte der Arzt, dass sich Flüssigkeit in der Brusthöhle befinde und eine Entzündung vorliege, so dass wir ins Krankenhaus eingewiesen werden sollten. Wir wurden ins Krankenhaus eingeliefert.
Im Krankenhaus zu nehmen chinesische Medizin, Penicillin Tropf, die Symptome wurden gelindert, Husten reduziert, Krankenversicherung Krankenhausaufenthalt für 15 Tage, um die Entlastung, zu Hause zu nehmen weiterhin chinesische Medizin.
Im April hustete und fieberte mein Bruder wieder, diesmal kamen Engegefühl in der Brust und Keuchen hinzu, und wir beschlossen, erneut ins Krankenhaus zu gehen, diesmal in das spezialisierte Chest Hospital.
Nach einer Reihe von Tests im Brustkrankenhaus wurden wir für weitere Untersuchungen ins Krankenhaus eingewiesen, also wurden wir erneut eingeliefert. Im Brustkrankenhaus sagte der Arzt, dass sich viel Flüssigkeit in der Brusthöhle befände und dass er eine Pleuraflüssigkeit abnehmen und dann Tests durchführen müsse.
An dem Tag, an dem das Wasser aus der Brust entnommen wurde, waren meine Schwägerin und ich anwesend, mein Bruder saß kopfüber auf einem Stuhl, mit dem Rücken zum Arzt, die Arme auf der Stuhllehne verschränkt, das Kinn auf die Arme gestützt. Während ich zusah, nahm der Arzt eine besonders dicke Spritze und stach sie in den Rücken meines Bruders, und die schwarz-rote Flüssigkeit wurde aus der Brust meines Bruders gepumpt.
Beim Anblick der schwarz-roten Pleuraflüssigkeit schlug mir das Herz bis zum Hals, ein ungutes Gefühl überkam mich, ich bin Medizinstudentin, ich weiß, dass normale Pleuraflüssigkeit blassgelb sein sollte, Tuberkulose und allgemeine Entzündungen sollten blassgelb sein, und diese blutfarbene Pleuraflüssigkeit ist die eines Krebspatienten.
Der Untersuchungsbericht ergab, dass sich der Lungenkrebs in einem fortgeschrittenen Stadium befand und der Schwerpunkt des Krebses in der Brusthöhle lag, so dass eine Operation nicht durchgeführt werden konnte. Meine Schwägerin und ich umarmten uns und weinten. Nachdem wir geweint hatten, besprachen wir, dass wir meinem Bruder das Ergebnis nicht mitteilen konnten, da er ein introvertierter Mensch war, der vorsichtig war und es liebte, den Stier bei den Hörnern zu packen, wenn etwas schief ging. Wir befürchteten, dass er, wenn er von seinem Zustand erfährt, nicht mehr klar denken kann und ein Unfall noch schlimmer wäre.
Wir teilten meinem Bruder mit, dass der Untersuchungsbericht zurückkam und es sich um eine Rippenfellentzündung handelte, die eine Menge Pleuraflüssigkeit verursachte, so dass er zur Behandlung ins Krankenhaus eingewiesen werden sollte. Nach ein paar Tagen mit Medikamenten, Injektionen und dem Abpumpen der Pleuraflüssigkeit ging es meinem Bruder viel besser. Er war glücklich, aber wir waren innerlich verdammt traurig.
Nach weiteren 15 Tagen im Krankenhaus wurde mein Bruder entlassen, und es war fast Maifeiertag. Mein Bruder hat einen Sohn, der in Guangzhou arbeitet und zwei Jungen hat, und seine Schwiegertochter arbeitet nicht Vollzeit zu Hause bei ihren Kindern. Das zweite Kind ist erst ein paar Monate alt, weniger als 100 Tage, ich habe mit meiner Schwägerin gesprochen, ich habe gesagt, ihr zwei fahrt nach Guangzhou, seht euch den neugeborenen Enkel an, ich weiß nicht, wie weit sich mein Bruder in Zukunft entwickeln wird.
Meine Schwägerin sprach mit meinem Bruder darüber, nach Guangzhou zu gehen, mein Bruder stimmte zu, ich kaufte ihnen Flugtickets und sie gingen zum Haus meines Sohnes in Guangzhou. Sie blieben dort eine Woche lang, hinterließen 30.000 Yuan für ihren Enkel und kamen zurück.
Im September ging es meinem Bruder wieder nicht gut, er hatte leichtes Fieber, Rückenschmerzen und Atembeschwerden im Liegen. Als wir meinen Bruder so ansahen, beschlossen wir, dass wir trotzdem ins Krankenhaus gehen mussten. Da wir meinen Bruder nicht über seinen wirklichen Zustand aufgeklärt hatten, wählten wir nicht das onkologische Krankenhaus, sondern die Atemwegsabteilung des größten Allgemeinkrankenhauses, das auch eine Spezialgruppe für Krebs hat.
Als wir bei dem Spezialisten auflegten, sagte der Arzt, nachdem er vom Zustand meines Bruders erfahren hatte, erneut, dass wir ins Krankenhaus eingewiesen und richtig behandelt werden sollten. Also wurden wir zum dritten Mal ins Krankenhaus eingeliefert.
Ich erzählte dem behandelnden Arzt heimlich von der Krankheit meines Bruders und sagte ihm, dass mein Bruder selbst nichts von der Krankheit wisse, er solle doch bitte helfen, sie geheim zu halten, und ob es irgendetwas gäbe, was man mit mir und meiner Schwägerin besprechen könne.
Im Krankenhaus zu essen Medizin Tropf, sagte der Arzt zu meinem Bruder zu setzen Brust Wasser sind, um einen Schlauch in den Rücken in die Brusthöhle eingeführt zu begraben, die außerhalb der Mitte des Rohres gibt es einen Schalter, der Boden des Rohres ist eine Plastiktüte, die Plastiktüte auf die Gramm Wasser, jeden Tag zu öffnen, den Schalter auf der Außenseite der Brust Wasser 300 ml, setzen Sie zu viel zu tragen Menschen.
Gleichzeitig schlug der Arzt meinem Bruder vor, zielgerichtete Medikamente einzunehmen, wobei er sagte, dass zunächst ein DNA-Test durchgeführt werden sollte, um festzustellen, ob dies für ihn geeignet ist. Der Arzt sagte, dass nicht alle Krebspatienten zielgerichtete Medikamente einnehmen können, während nur etwa 40 Prozent der Patienten zielgerichtete Medikamente einnehmen können.
Wir stimmten zu, und Blut wurde abgenommen, um nach Peking zur Untersuchung geschickt zu werden, was 14.000 Yuan kostete. Wir blieben im Krankenhaus bis zum 12. Tag, die Ergebnisse kamen heraus, sagte mein Bruder passenden erfolgreich, kann gezielt Medikamente nehmen, legte mich glücklich nicht wissen, was gut zu sagen, mein Bruder hat Hoffnung.
Die gezielten Medikamente sind für den Hausgebrauch, eine Pille pro Tag, jede Pille kostet 200 Dollar, wir haben 6.000 Dollar für die Medikamente für einen Monat ausgegeben, und nach drei Tagen im Krankenhaus haben wir beschlossen, nach Hause zu gehen und die Medikamente zu nehmen, und dieses Mal blieben wir weitere 15 Tage im Krankenhaus.
Mein Bruder fragte mich, um was für ein Medikament es sich handelte, und ich sagte, dass es sich um ein unverpacktes Medikament aus einer klinischen Studie handelte, und so ging mein Bruder mit dem Röhrchen in seinem Körper nach Hause.
Nachdem er nach Hause gekommen war und immer noch jeden Tag 300 ml Pleuraflüssigkeit abgelassen hatte, nahm er immer wieder die gezielten Medikamente ein, während die Pleuraflüssigkeit abgelassen wurde, fühlte sich mein Bruder viel besser. Als 40 Tage nach dem Einsetzen des Drainageschlauches die Pleuraflüssigkeit meines Bruders nicht mehr abfließen konnte, gingen wir zurück in das große Krankenhaus und baten darum, den Schlauch zu entfernen.
Der Arzt sagte, Sie haben auch ein Krankenhaus zu tun, müssen im Krankenhaus zu ziehen, gibt es keine Unfälle können rechtzeitige Behandlung werden.
Wir haben uns dann wieder ins Krankenhaus begeben, und das war der vierte Krankenhausaufenthalt meines Bruders in diesem Jahr. Nach dem Krankenhausaufenthalt sagte der Arzt, dass er zwei Chemotherapien machen müsse, bevor er seine Schläuche entfernen lassen könne, sonst hätte er keine Angst, dass er sie nicht gut verschließen könne. Nach zwei Chemotherapiesitzungen wurde der Schlauch entfernt, und er konnte nach drei Tagen im Krankenhaus nach Hause gehen, wobei er weiterhin gezielte Medikamente einnahm.
Die Wirksamkeit der gezielten Medikamente ist immer noch sehr gut, mein Bruder erholt sich langsam etwas, er kann glücklich sein, er sagte, dass es keine Angst vor der Krankheit gibt, es gibt ein Medikament, das geheilt werden kann, solange er denkt, dass seine Krankheit geheilt ist. Wenn ich mir seine Begeisterung ansehe, habe ich gemischte Gefühle in meinem Herzen, und ich hoffe wirklich, dass es meinem Bruder von nun an wirklich gut gehen wird.
Jetzt haben wir September 2018, und mein Bruder nimmt seit einem Jahr das zielgerichtete Medikament, und mit dem zielgerichteten Medikament hat sich mein Bruder im letzten Jahr wirklich gut gehalten.
Mitte September hatte mein Bruder wieder Atemprobleme und starke Rückenschmerzen, vor allem nachts, die so stark waren, dass er nicht mehr schlafen und nicht mehr zu Atem kommen konnte. Ich wusste, dass dies ein weiteres Fortschreiten der Krankheit war, und es war an der Zeit.
Wir kehrten in das größte Allgemeinkrankenhaus der Stadt zurück und suchten den Spezialisten auf, bei dem wir im letzten Jahr waren, und der sagte, dass das Zielmedikament resistent geworden sei und nicht mehr wirke. Sie machten ein CT und sagten, es gäbe wieder einen Pleuraerguss, wir sollten also ins Krankenhaus gehen. Wir wurden dann ins Krankenhaus eingeliefert und in die Atemwegsabteilung aufgenommen.
Ich vergrub einen weiteren Schlauch im Rücken meines Bruders, aber diesmal konnte ich ihn nicht herausziehen. Der Arzt lehrte mich, eine große Spritze zu benutzen, um ihn herauszuziehen, und er kam etwas flockig heraus, und die Farbe war noch dunkler. Der Arzt sagte: "Ihre Familie sollte sich vorbereiten, der Zustand des Patienten hat sich verschlechtert". Ich fragte den Arzt, ob es keine andere Möglichkeit gäbe? Der Arzt sagte, dass man die importierten zielgerichteten Medikamente zu versuchen, nicht haben, um DNA-Tests zu tun, das heißt, 7000 Yuan pro Woche, 28000 Yuan pro Monat, und sogar essen 4 Monate, um das Medikament zu stoppen. Meine Schwägerin und ich besprachen die Angelegenheit und beschlossen, die Medikamente meines Bruders auf ein importiertes Medikament umzustellen, so lange es einen Hoffnungsschimmer gibt, müssen wir uns anstrengen.
Wir baten den Arzt, uns Medikamente zu verschreiben, und begannen mit einem 7-Tage-Vorrat von 7 Tabletten für 7.000 Dollar. Diesmal war es besser, es war alles in einer Fremdsprache und ich musste mir keine Sorgen machen, dass mein Bruder es herausfindet. Wir wurden nach vier Tagen aus dem Krankenhaus entlassen, und die Drainagen wurden entfernt, weil sie nicht mehr herausgezogen werden konnten.
Zu Hause, um eine Woche der Medizin, mein Bruder fühlte sich wieder besser, auf den 6. November, mein Bruder und meine Schwägerin ging nach Sanya, der 23. November, mein Bruder rief mich an und sagte, lassen Sie mich kaufen sie ein Ticket zurück in die Stadt, sagte seine Bauchschmerzen in Sanya zu sehen, sagte der Nierensteine, er will zurückkommen, um einen Arzt zu sehen. Als ich das hörte, beeilte ich mich, ihnen am 25. ein Ticket zu kaufen, und am 26. gingen sie ins Krankenhaus, um einen Arzt aufzusuchen, und es stellte sich heraus, dass der Krebs in die Bauchhöhle metastasiert hatte, so dass sie erneut ins Krankenhaus eingeliefert wurden.
Nach 10 Tagen Krankenhausaufenthalt erschien mein Bruder geschwollen, vom Bauch bis zu den Beinen und Füßen sind geschwollen, der Bauch geschwollen kann groß sein, die Beine geschwollen klirrend, als ob ein Finger gebrochen werden kann, Zehen wie Karotten. Er kann nicht essen, sein Körper ist abgemagert, und er wird es dieses Mal wirklich nicht schaffen.
Der Arzt sagte, einige Albumin zu spielen, 590 Yuan ein, ein pro Tag zu meinem Bruder auf die Verwendung von 11, aber immer noch nicht halten mein Bruder, Blick auf meinen Bruder verzweifelten Augen fühle ich mich schlecht, 16. Dezember mein Bruder verließ uns für immer.

Ich muss sagen, Big Data ist großartig!
Nachdem ich vor ein paar Stunden im Wiederbelebungsraum den Tod eines Patienten mit Lungenkrebs im Endstadium miterlebt hatte, dauerte es nicht lange, bis ich nach Hause kam und diese Frage erhielt.
Wenn ich diese Themen nicht so oft in meinem Alltag verfolgen würde, würde ich mich wirklich fragen, ob ich verfolgt und beobachtet werde!
Die Sache ist die:
Vor einigen Stunden wurde ein 81-jähriger älterer Patient in den Wiederbelebungsraum eingeliefert.
Der Zustand des Patienten war äußerst kritisch, mit schwerem Atemversagen und multiplem Organversagen. Tatsächlich handelte es sich um einen Patienten mit fortgeschrittenem Lungenkrebs.
Unabhängig von der Art der Krankheit, an der der Patient leidet, sollte er als Arzt im Angesicht des Todes die Familie immer über die möglichen Mittel sowie die Vor- und Nachteile informieren, damit die Familie eine Entscheidung treffen kann.
Bei einem solchen Patienten muss natürlich als Erstes die Oxygenierung verbessert und das Problem der Hypoxie gelöst werden, da sonst alle Wiederbelebungsmaßnahmen vergeblich sind.
Am Bett des Patienten, der nach Luft rang, lehnten die Kinder des Patienten den Vorschlag einer trachealen Intubation jedoch unnachgiebig und unisono ab.
Die Entscheidung der Kinder kann ich sehr gut nachvollziehen. In gewisser Weise ist es sogar eine Erleichterung für den Patienten, diese Welt frühzeitig zu verlassen.
"Keine Intubation, kein Beatmungsgerät bedeutet Tod, und es wird schnell gehen, sicher?"
"OK!"
So verbrachte der Patient die letzten zwei Stunden seines Lebens im Wiederbelebungsraum und starb langsam vor den Augen seiner Kinder und Ärzte.
Tatsächlich sind wiederkehrende Lungeninfektionen, schwere Pleuraergüsse, massive Sputumblockaden und anhaltendes Atemversagen genau die Art von Tortur, mit der die meisten Patienten mit Lungenkrebs schließlich konfrontiert werden.
Natürlich gibt es viele Gründe, die zum Tod von Lungenkrebspatienten führen können, wie z. B. Elektrolytstörungen, Schock, Multiorganversagen und so weiter.
Auch wie das Dopamin so auf Leben und Tod Wiederbelebung Zimmer Ärzte daran gewöhnt, beim Betrachten der verzweifelt atmen, kann aber nicht ausspucken den klebrigen Schleim wie Lauch Rührei Eigelb, das gleiche kann nicht vermieden werden, haben einige traurige Gefühle.
Weil ich als Arzt so wenig tun kann!
Denn als normaler Mensch kann man dieser Endgültigkeit nicht entkommen!
Lassen Sie mehr Menschen ein bisschen mehr wissen!
Das letzte Dopamin: Notfallmediziner, viele Menschen treffen, auf viele Dinge stoßen!
Das ist eine etwas pessimistische Frage, aber sie ist auch ein Ansporn für die Ärzte! Die Technologie schreitet schnell voran, aber die Fortschritte in der onkologischen Behandlung nicht mehr! Lungenkrebs ist nach wie vor der bösartige Tumor mit der höchsten Sterblichkeitsrate.
Nach Angaben des Nationalen Krebszentrums lag die Zahl der Krebstoten in China im Jahr 2015 bei etwa 2.338.000, von denenDie Zahl der Todesfälle aufgrund von Lungenkrebs liegt bei 631.000, was bedeutet, dass von 100.000 Menschen etwa 45,8 an Lungenkrebs sterben.Die Vorbeugung und Kontrolle von Lungenkrebs ist ein wichtiger Teil des Kampfes gegen Krebs.
Wie sterben Lungenkrebspatienten normalerweise?
1. die häufigste ist das Versagen der Atmung
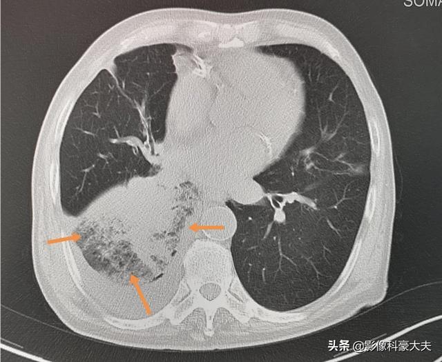
Der Mensch ist in der Lage, Sauerstoff zu atmen, um auf der Erde zu überleben, indem er sich auf die Luftaustauschfunktion der Lunge verlässt. Lungenversagen wird häufig durch fortgeschrittenen Lungenkrebs verursacht, z. B. durch riesige Tumore, große Mengen an Pleuraerguss, ausgedehnte Lungenmetastasen und Atemwegsobstruktion.

Dieser Patient war erst 39 Jahre alt, litt unter Engegefühl in der Brust und Kurzatmigkeit und wurde mit einem Adenokarzinom der rechten Lungenseite diagnostiziert, mit einem großen Pleuraerguss und Funktionsverlust der gesamten rechten Lunge. Ein so schwerwiegender Zustand ist bei älteren Menschen etwas häufiger, und wenn er nicht behandelt wird, kommt es bald zum Atemstillstand. Glücklicherweise spricht sie gut auf eine gezielte Therapie an und lebt nun seit mehr als drei Jahren mit dem Tumor, wobei ihr Pleuraerguss unter Kontrolle ist.
2. sekundäre Infektionen
Lungenkrebspatienten haben aufgrund der Erschöpfung ein geschwächtes Immunsystem und nehmen eine Verengung der Atemwege in Kauf, was in der Regel zu einer obstruktiven Lungenentzündung führt, die manchmal tödlich sein kann.
Es handelt sich um einen 79-jährigen Mann, der seit vier Jahren an kleinzelligem Lungenkrebs leidet, weil der rechte Unterlappenbronchus verengt ist, was eine obstruktive Lungenentzündung und wiederkehrendes hohes Fieber verursacht, ein Zustand, der auch tödlich sein kann, wenn die Infektion nicht unter Kontrolle gebracht wird, und der alte Mann ist derzeit in gutem Zustand.
3. die Metastasierung von lebenswichtigen Organen
Krebszellen sind furchterregend und können überall dort metastasieren, wo Blut- und Lymphgefäße vorhanden sind, und beispielsweise Hirn- und Lebermetastasen bilden, was in schweren Fällen tödlich sein kann.
Multiple riesige Lebermetastasen wie diese können in kurzer Zeit fortschreiten, wenn sie unkontrolliert oder unempfindlich gegenüber einer Behandlung bleiben.
4. die Patienten sind pessimistisch und haben übermäßig viel Angst vor Krebs und geben die Behandlung auf.
Manchmal treffen wir auf Patienten, die, nachdem sie erfahren haben, dass sie an Krebs erkrankt sind, völlig entmutigt sind, weder essen noch trinken, die sich ihren Familienangehörigen gegenüber schlecht benehmen, die nicht mit der Behandlung einverstanden sind, die schlecht essen und schlafen und deren Körper bald versagen wird ......
Das Endstadium von Krebs ist schmerzhafter und sollte mit Menschlichkeit behandelt werden.Erhöhung des Patientenkomforts als oberstes Prinzipspricht sich nicht für eine Überbehandlung aus.
Ich bin Dr. Howe von der Bildgebung. Willkommen!
Bei Lungenkrebs gibt es eine ganze Reihe von Problemen.
Häufiger, wenn sie nicht ins Krankenhaus eingeliefert werden, sind Elektrolytstörungen, Tod durch bösartige Herzrhythmusstörungen, Engegefühl in der Brust und dann sehr schneller Tod.
Wenn Sie im Krankenhaus bleiben, lassen sich solche Elektrolytstörungen leicht beheben, und wenn das Blut abgenommen und ein niedriger Wert festgestellt wird, muss es nur wieder zurückgegeben werden.
Einige der häufigsten Todesfälle in Krankenhäusern sind die folgenden:
Erstens: Atemstillstand. Wenn das Ende naht, hat der Patient eine schlechte Funktion beider Lungenflügel und stirbt schließlich an Atemversagen. Diese Art von Patienten ist die schmerzhafteste, anhaltende Dyspnoe, genau wie jene Menschen, die ertrunken sind, immer in diesem Zustand des schnellen Ertrinkens.
Zweitens führt die Hämoptyse zum Erstickungstod, was ebenfalls leicht zu verstehen ist, denn sobald die Hämoptyse plötzlich auftritt, ist die Atmung blockiert und kann nicht gerettet werden, und der Tod tritt sehr schnell ein.
Drittens treten Hirnmetastasen auf und Probleme mit dem zentralen System führen zum Tod.
Viertens gab es weitere örtliche Überstellungen, die zum Tod führten.
Fünftens: Schwere Infektionen, die zu verstärkter Atemnot und schließlich zum Tod durch Atemstillstand führen.
Sechstens: Tod durch Systemversagen.
Mir geht es um die Planung von Dingen, wenn Sie also mehr über Gesundheit erfahren möchten, folgen Sie mir bitte.
Mein Schwager, am Ende von 13 Jahren 14 Jahren der Beginn der Schulterblatt Schmerzen, oder die gleiche Arbeit Arbeit, dachte, es war gefrorenen Schulter, ihre eigenen Pflaster wir nicht wissen, und dann der Schmerz ist ernst, nur zu sagen, die Familie zog ihn zu überprüfen, aber auch nicht gehen, schloss sich in den Raum, wie nicht zu gehen, sechs oder sieben Monate und dann der Schmerz wirklich nicht ausstehen kann, nur ins Krankenhaus zu gehen, um zu überprüfen, der Beginn des Tages, um den Tropf hin und her zu spielen, zwanzig Kilometer, sondern auch ihre eigenen Fahren, spielen ein paar Tage das Krankenhaus nahm einen Film, der möglicherweise zu betreiben, ursprünglich dachte, nicht so ernst, und dann eine genauere Inspektion vermutet bösartigen Osteosarkom, und dann sofort an die Ruijin Hospital in Shanghai, Shanghai, August, nahm die Experten einen Blick auf eine Punktion, hat eine Ganzkörper-Scanning-Untersuchung, speziell genannt, was ich nicht verstehe, war es mit fortgeschrittenen Knochenmetastasen von Lungenkrebs diagnostiziert. 就做化疗,化疗一疗程回家跟正常人一样,也不痛了,也不掉头发,停了二十几天吧,国庆后又去做了一疗程化疗,整个状态都很好,看不出是个病人,后来好像元旦又去做了一疗程,过完年又要去,过完年,还没去,人就觉得腰不舒服了,去检查就是又复发转移了,然后农历三月份左右又开始 Zu Beginn der Schmerzen, schauen die Menschen auf den Geist des Guten, und dann mehr und mehr Schmerzen, die ganze Nacht nicht schlafen können, Morphium und Dulcolax, sondern auch zu essen, auf den Mondkalender im Mai und Juni, essen sehr wenig, kann nicht schlucken, mehr und mehr dünn, mehr und mehr Schmerzen, und kann sich nicht hinlegen, kann nur sitzen, um zu schlafen, auf die Mitte und Ende Juni, im Grunde kann nicht essen, einige Tropfen Nährlösung, Schmerzmittel sind auch mehr und mehr nicht mehr funktionieren, und nicht wirklich trinken das Wasser, blockiert die Speiseröhre. Die Speiseröhre ist blockiert, kann nicht nach unten gehen, haben die Menschen dünn aus der Form, auf den Anfang Juli auf dem Sprung, nur 27 Jahre alt, die letzte ist Tag und Nacht Schmerzen, kann sich nicht hinlegen, kann nicht essen, Wasser kann nicht gehen, von Anfang an der Schmerzen, nicht auf die Prüfung gehen, verzögert etwa ein halbes Jahr Diagnose, Diagnose, etwa ein Jahr nach dem Sprung.
Meine eigene Tante, die am 15. März aufgrund von Lungenkrebs für immer von uns gegangen ist.
Ich erinnere mich noch sehr genau daran, dass er wegen der Schmerzen ins Krankenhaus ging und dort erfuhr, dass es Lungenkrebs im Endstadium war, das war im März 17 Jahre. Zu dieser Zeit studierte meine Schwester noch an der Universität und war zufällig zu Hause. Er wartete, bis meine Schwester zu ihrem Studium gegangen war, bevor er meiner Tante die Nachricht erzählte. Ich erinnere mich, dass ich meiner Tante auch gesagt habe, dass mein Onkel schon so lange Schmerzen hatte, dass es keine Nierensteine sein können (weil meine Tante Nierensteine hatte), und ihr gesagt habe, sie solle zur Untersuchung ins Krankenhaus gehen, tatsächlich waren sie zu dieser Zeit schon in Xiangya Annex II, und dann hat meine Tante mir die Nachricht erzählt, es war Lungenkrebs. Ich konnte es damals nicht glauben, ich dachte, so etwas würde meiner Tante nicht passieren, denn er war immer sehr groß und gesund, er achtet normalerweise auf seine Gesundheit, er lässt sich einmal im Jahr untersuchen, und wenn ich jetzt darüber nachdenke, ist das Einzige, was mit ihm nicht stimmt, dass er raucht.
Am Anfang der Zeit gibt es gezielte Medikamente essen kann, und immer noch von der billigsten Art zu essen, dann noch und normale Menschen, Außenstehende können nicht sehen, dass er krank ist. Wegen seiner Krankheit, meine Schwester studierte Krankenpflege war in der Schule, um für Bachelor-Abschluss vorzubereiten, und schließlich kam zurück zu dem Praktikum, durch ihre eigenen Anstrengungen, um in der Gemeinde Gesundheitszentrum zu bekommen, gibt es einen stabilen Arbeitsplatz. Wegen seiner Krankheit heiratete meine Schwester, deren Ehemann ihr Klassenkamerad war und der sehr gut zu meiner Schwester war. Meine Schwester begann offiziell im September 20 zu arbeiten und heiratete im November. Weil er wollte, dass sein Vater ihre verheiratete Familie sieht, ein Bedauern weniger.
Bevor meine Schwester heiratete, war der Gesundheitszustand meines Onkels nicht sehr gut. Am Tag der Hochzeit kam mein Onkel nicht heraus und schlief in seinem eigenen Zimmer, und die Neuankömmlinge kamen in das Zimmer, um sich vor ihm zu verbeugen. Meine Schwester ging am Morgen aus, mein Onkel ging am Nachmittag ins Krankenhaus, weil der Körper keine Immunität hat, erkältet, nicht sehr gut. Am nächsten Tag kochte ich dünnen Reis, um ihn im Krankenhaus zu besuchen, denn er konnte zu diesem Zeitpunkt sein halbes Gesicht nicht mehr bewegen, er konnte keine trockenen Sachen essen, nur Suppe und dünnen Reis. Er sprach sogar mit mir und aß eine große Schüssel Reis. Als sich sein Gesundheitszustand verschlechterte, mochte er es nicht, wenn man ihn im Krankenhaus besuchte, und so ging ich nur noch selten dorthin. Später, als das Krankenhaus auf unserer Seite in ein neues Krankenhaus umzog und es in dem neuen Krankenhaus keine Einzelzimmer gab, wollte er nicht mehr nach Hause zurückkehren, und von dem Zeitpunkt an, als er nach Hause kam, ging ich wieder häufiger dorthin.
Als er kurz vor dem Sterben stand, war er bereits abgemagert und hatte kein Fleisch mehr am Körper. In der letzten Zeit konnte er nur noch etwas Wasser trinken, und ein Löffel Wasser musste auf zwei Mahlzeiten aufgeteilt werden, und ein Löffel Eiweiß- und Milchpulver konnte nur noch zu einem wässrigen Getränk verarbeitet werden. In dieser Nacht erzählte mir meine Tante, dass die Nadel nicht gespritzt und der Blutdruck nicht gemessen werden konnte. In dieser Nacht wachten meine Tante und ich über ihn, er konnte noch sprechen und bat mich, seine Füße zu drücken und an seinen Beinen zu ziehen, und ich stellte fest, dass seine Füße viel kälter waren als tagsüber, und er drückte immer wieder seine Füße und zog seine Beine, und sein Leben war bereits in einem fortgeschrittenen Stadium, und er fühlte sich im Schlaf nicht wohl. Sie gab ihm zwei Schmerzmittel, und er konnte ein paar Stunden schlafen, aber an diesen Tagen schlief er zwei Tage und zwei Nächte lang nicht, und Morphium half nicht. Er wusste auch, dass er nicht mehr viel Zeit hatte, und bat meine Tante, meine Schwester und meinen Schwager zurückzurufen. Am Tag seines Todes war sein geistiger Zustand offensichtlich anders, normalerweise, wenn er sich umdrehte, konnte er sich noch etwas anstrengen und sich klar ausdrücken, aber an diesem Tag, als er sich umdrehte, konnte er sich überhaupt nicht mehr anstrengen, und nachdem er sich umgedreht hatte, wollte er immer noch, dass wir seine Hand gegen ihn halten, und wenn wir sie nicht gegen ihn hielten, würde er sofort umfallen, und seine Füße waren noch kälter, und er bat uns nicht, seine Beine zu ziehen und seine Füße zu drücken, und er schrie am letzten Tag einen Schmerzensschrei nach dem anderen, wobei er auf seine Brust zeigte und nie so viel schrie, und er schrie immer weiter. Am letzten Tag deutete er auf seine Brust und schrie vor Schmerzen, so viel hatte er noch nie geschrien, er schrie weiter, er konnte kein Wasser trinken, sein Hals fing an zu schleimen, und meine Schwester nahm nur die Hälfte des vom Krankenhaus verschriebenen Dulcolax, und dann ging mein Onkel weg.
Mein Vater verließ mich, als ich zwei Jahre alt war, weil er krank war, also ist mein Onkel für mich wie die Hälfte meines Vaters, ich habe viele Gefühle für ihn, mein Onkel ging, als er noch keine 50 Jahre alt war, und er hatte seine Enkel noch nicht kennengelernt, er ging einfach weg, bis heute fühle ich mich wie ein Traum, es ist sehr unwirklich. Ich hoffe, dass mein Onkel in der anderen Welt nicht krank ist und immer noch so elegant ist wie früher.
Meine Mutter hatte Lungenkrebs und verstarb am 1. April letzten Jahres. Es dauerte fast 5 Jahre von dem Zeitpunkt, an dem sie erfuhr, dass sie an Krebs erkrankt war, bis zu ihrem Tod, also war der gesamte Prozess sehr beeindruckend.
Der ganze Prozess ging durch Biopsie - Chemo - Einnahme von gezielten Medikamenten (musste sie immer wieder umstellen, sie sind sehr resistent! A 2 Pillen pro Tag, zum letzten Mal drei Pillen und vier Pillen nicht funktionieren.) Hilflos versuchte ich eine Immuntherapie und eine Strahlentherapie - alles ohne Erfolg ......
Im letzten Jahr leidet man noch mehr, die Schmerzen sind so schlimm, dass man nicht schlafen kann, vor allem nachts ist das sehr wichtig.
Drei Monate vor ihrem Tod wurde sie am 29. Tag des Neujahrsfestes, das mit der Zeit der Seuchenbekämpfung zusammenfiel, vom städtischen Krankenhaus in das Kreiskrankenhaus verlegt. Unsere drei Schwestern abwechselnd zu warten, halten sich an den ersten Monat des fünfzehnten, wenn meine Mutter kann immer noch Krücken halten einen Handlauf in der Unterstützung der Menschen von der Station auf die Krankenschwestern Station, nur nicht essen wollen, vor allem nicht essen, salzig mit Öl, jeden Tag ist es, Eier und Nudeln trinken kann eine große Schüssel Wasser, auf den ersten auch aß die Art der Brötchen zu kaufen, die Hälfte bis ein Viertel der beiden Münder zu essen, um zu stoppen, um ihre Augen zu schließen, um das Gas zu verlangsamen, sehr müde und sehr müde, der Blick, die Augen nicht öffnen wollen, die Augen, und die Augen sind nicht offen, und die Augen sind nicht in einer Benommenheit. Der ganze Tag in einer Benommenheit. Vor allem während des Tages, eine Infusion wird verwirrt sein, schlafen wollen.
Sobald sie um 22.00 Uhr und danach fast jede Stunde aufwacht, kann sie überhaupt nicht mehr gut schlafen. Ein Moment sagte, ihr Körper schmerzt, müssen Sie aufstehen, um ihren Körper sanft hin und her reiben, weil jede Nacht vor dem Schlafengehen, um die Krankenschwester zu rufen, um ihr eine Morphiumspritze zu geben, ich denke, es ist das Medikament ist über die Schmerzen wieder beginnen. Aber diese Injektion kann nicht mehr als 6 Schüsse pro Tag höchstens, oder lebensbedrohlich sein!
Seltsam zu sagen, die letzte meine Mutter, was verwirrt sind, auf die Injektion zu erinnern, besonders klar, für eine Weile verwirrt, mich zu schreien "ist nicht die Zeit, um die Injektion zu nehmen?" Ich sagte: "weniger als Zeit" sie dann verwirrt weniger als fünf Minuten und fragte mich immer wieder, ich habe wieder zu sagen und so weiter, begann sie zu fluchen, sagte: "Ich habe Schmerzen, beeilen Sie sich zu schreien" Ich weiß, dass sie nur eine Stunde vor der Nadel zu spielen, wagen es nicht, auf die Überredung zu spielen, dass ich gerade ging die Krankenschwester in die Die Krankenschwester gab gerade jemand anderem die Spritze und würde gleich wiederkommen. Sie grinste und schlief eine Weile, dann musste ich mich beeilen, ihr eine Ganzkörpermassage zu geben, um die Schmerzen zu lindern, und sie dann langsam umzudrehen, den Rücken sanft zu streicheln, sonst wird sie eine lange Zeit in einer Position zum Schlafen schmerzhafter sein. Auf diese Weise kann sie noch ein wenig länger durchhalten und sich den Weg zur nächsten Injektion durch Zureden und Reden bahnen.
Jetzt verstehe ich, warum meine Mutter immer sagte, ihr Mund sei trocken, wahrscheinlich, weil ihre Lungen am Ende nicht mehr funktionierten und sie nur noch durch den Mund atmen konnte, so dass sie den ganzen Tag lang schrie, ihr Mund sei trocken. Wir haben einfach einen Strohhalm in die Teetasse gesteckt, damit sie leichter trinken konnte.
Eines Nachts kann um 11:00, sagte sie, dass das Herz zu fangen ängstlich, kann nicht atmen, ängstlich Hände kratzen Füße rühren, Gesichtsmuskeln nicht auf den Befehl zu hören, essen schnell wirkende Herz Pillen auch nicht funktioniert! Erschrocken eilte ich an die Tür des diensthabenden Arztes zu klopfen, der diensthabende Arzt ließ mich zuerst gehen, um die diensthabende Krankenschwester zu rufen, um seinen sofortigen Aufstieg vorzubereiten, ich eilte, um die diensthabende Krankenschwester zu rufen, die diensthabende Krankenschwester schnaufte und schnaufte, um zur Tür zu kommen, ließ mich eine Weile warten. Ich war ängstlich und stampfte mit den Füßen auf, die Krankenschwester trat und zog langsam die Schuhe aus, ich rannte den ganzen Weg zurück zur Station, aber ich schaute auf das schmerzhafte Aussehen meiner Mutter, ich war ängstlich, aber ich wusste nicht, was ich tun sollte? Ich konnte nur schreien, Mama, Mama, halt durch, der Arzt kommt gleich ......
Nach etwa zwei Minuten oder so, die Krankenschwester kam endlich, nahm die Sauerstoffmaske auf das Bett einfügen, eilte ich Hand und Fuß zu meiner Mutter auf die Sauerstoffmaske. "2 Yuan pro Stunde" die Krankenschwester kalt warf einen Satz auf die bereit zu gehen, "Krankenschwester, meine Mutter das Herz, um den Notfall sehr viel zu fangen, nur kann dies nicht ah ......" Ich rief eilig zu stoppen bereit zu gehen die Krankenschwester. "Dann finden Sie einen Arzt, der Ihnen Medikamente verschreibt", gab sie ausdruckslos zurück und ging. Doktor, wo ist der Arzt? rief ich den Korridor hinunter. Ich hörte Schritte am anderen Ende des Flurs, bevor der Arzt kam. Ich wiederholte eilig, was ich gerade der Krankenschwester gesagt hatte, der Arzt schaute sich in aller Ruhe meine Mutter an, nahm sein Stethoskop heraus und setzte es auf das Herz meiner Mutter, um es abzuhören, und sagte, während er es einwickelte: "Herzversagen." "Was sollen wir tun?" "Holen Sie sich die Medikamentenliste", sagte der Arzt, während er in sein Büro ging. Ich kann die Klinikbegleitung nur erst einmal auf meine Mutter aufpassen lassen, die Medikamentenliste habe ich gleich mit nach unten genommen ......
Aber immerhin ist es ein hochwirksames Medikament, kann nur einen Moment zu verwalten, und dann erhöhen die Dosierung ist nicht wirksam. Meine Mutter dauerte weniger als einen Monat, bevor sie starb ......
Obwohl der Arzt, sondern auch nicht retten kann der Onkel an Lungenkrebs leiden, ist die ganze Onkel vollständig wegen der Sucht zu rauchen, hat den Rauch als eine Mahlzeit von einer Art von Verhalten erreicht, den ganzen Tag mit dem Rauch als Begleiter, der Rauch nicht die Hand verlassen, das heißt, wie viel Husten, Rauch so zwei Münder, das Herz ist sehr glücklich zu fühlen!。

Das ist es, was wir oft als eine gute Zeit bezeichnen. Wenn ein geliebter Mensch gestorben ist, ist es sinnlos, noch mehr zu bereuen und zu bedauern, sondern nur eine Lehre daraus zu ziehen. Heute möchte ich Ihnen sagen, wie Sie die letzten Tage des Lebens bei Patienten mit fortgeschrittenem Lungenkrebs verbringen können.
Erstens: Zwischen der Entdeckung des Lungenkrebses und dem Tod meines Ältesten lagen nur drei Monate.
Mein Onkel hat schon in jungen Jahren mit dem Rauchen angefangen und raucht seit 35 Jahren. Bevor es Zigaretten gab, hat er selbst angebaute Zigaretten geraucht und sie jedes Jahr geerntet, wenn sie reif waren.
Der Tabak wird dann in der Sonne liegen gelassen, und wenn er getrocknet ist, wird ein Teil davon genommen und an die örtliche Tabakfirma verkauft, während ein kleiner Teil übrig bleibt, um zu Tabak verarbeitet, in Fäden geschnitten und in Zeitungspapier auf die Länge einer Zigarette gerollt zu werden, die dann geraucht werden kann.
Diese Art von Zigaretten wird oft als trockene Zigaretten bezeichnet, und die darin enthaltenen Schadstoffe und der Teergehalt sind noch höher als bei den heute auf dem Markt befindlichen Zigaretten, und jeder, der schon einmal trockene Zigaretten geraucht hat, weiß, dass diese Art von Zigaretten sehr grausam schmeckt. Damals, als das Gesundheitsbewusstsein noch nicht so ausgeprägt war wie heute, wurden trockene Zigaretten auch geraucht.
Um ehrlich zu sein, als ich diese trockene Zigarette geraucht habe, hatte ich jedes Mal einen starken Husten, weil diese Art von einfachen, selbstgemachten Zigaretten keinen Zigarettenfilter haben, wie die heutigen Zigaretten, so dass jedes Mal, wenn ich geraucht habe, im Grunde der gesamte Teer und das Nikotin in den Zigaretten, mehr als 90 Prozent davon, in meine Lunge gelangt sind.
Ich muss sagen, dass die Lunge meines Onkels nach 30 Jahren des Rauchens nach und nach vom Tumor zerfressen wird. Natürlich wurde bei meinem Onkel Lungenkrebs festgestellt, aber nicht, weil er gehustet hat, sondern weil er sich den Arm gebrochen hatte und nicht ins Krankenhaus gehen konnte, so dass bei der Einlieferung ins Krankenhaus zur Untersuchung Lungenkrebs im fortgeschrittenen Stadium festgestellt wurde.
Zu diesem Zeitpunkt ist der Onkel nur 70 Jahre alt, die Familie, obwohl überrascht, aber auch hilflos zu akzeptieren, warum. Weil ich weiß, dass Onkel ein alter Raucher ist, ist das Rauchen eine Cross-Generation in den Rauch, von trockenen Zigaretten zu Zigaretten, wie auch immer, ist der Rauch nicht die Hand verlassen, egal wo Sie gehen, auch wenn es nichts, der Mund ist immer eine Zigarette baumeln.
Zur gleichen Zeit konnte mein Onkel nicht wegen seines Knochenbruchs behandelt werden, sondern musste auch eine relativ konservative Behandlung für seinen Lungenkrebs erhalten. Langsam wurde er sehr schwach, und alle normalen Funktionsindikatoren des menschlichen Körpers schwankten abnormal, besonders während der Behandlung, und es wurde festgestellt, dass er am Ende seines Lebens sehr schwach war.

Ich hatte überhaupt keinen Appetit, und als mein Körper seine Nährstoffversorgung verlor, verwandelte ich mich schließlich in eine Haut-und-Knochen-Erscheinung. Schließlich, am 52. Tag im Krankenhaus, riet mir ein Arzt desselben Krankenhauses, meiner Familie zu sagen, dass es das Beste wäre, mich in den letzten Tagen nach Hause zu schicken, um mich am Ende meines Lebens in Ruhe zu verabschieden, und meine Familie verstand das, und dann wurde ich wieder nach Hause geschickt und verstarb am 10.
Eine Menge Leute auch nicht verstehen, warum nicht gefunden werden, bevor der Krebs, natürlich sind gut, aber ein ins Krankenhaus geschickt, um zu behandeln, ganz plötzlich Menschen den Körper zusammengebrochen, die ich Ihnen eine Analyse der Gründe, am Beispiel meines Onkels, in der Tat, in der Onkel nicht ins Krankenhaus gehen, wenn mit Lungenkrebs diagnostiziert.
Die Lunge des Onkels befand sich bereits im Spätstadium des Lungenkrebses, und nach dem pathologischen Bericht und den entsprechenden Untersuchungen wurde festgestellt, dass der Lungenkrebs langsam in die Leber des Onkels vorgedrungen war, nur dass er in dieser Zeit nicht ausbrach, oder dass sich der Onkel in dieser Zeit wohl fühlte, und wenn es irgendwelche Beschwerden gab, konnte er sie selbst tragen.
Das ist eine dialektische Überlegung in der Medizin: Wenn ein Tumor den menschlichen Körper angreift, befindet sich seine eigene Widerstandskraft und Immunität an einem kritischen Punkt, nämlich der Zerstörung dieses kritischen Punktes, d. h. dem Unterschied von einer Haaresbreite.
Wie wir alle wissen, sind die meisten Krebsmedikamente heutzutage in der Tat ein zweischneidiges Schwert, das alle guten oder schlechten Bakterien im Körper eliminieren kann, so dass für einen Lungenkrebspatienten, dessen Immunität an einem kritischen Punkt ist, kann man sagen, dass, solange die Dosierung ein wenig ist, es das gesamte Immunsystem des Körpers wieder stören kann.
Wenn die Widerstandskraft und die Immunität eines gesunden Menschen gestört sind, können sie von selbst wiederhergestellt werden, aber für einen Tumorpatienten mit einem gestörten Immunsystem ist es im Grunde sehr schwierig, sich von der Störung zu erholen, und es wird die physiologischen Funktionen des Körpers vollständig stören, und es wird sehr schwierig sein, sich von der Störung zu erholen, und es wird sehr schwierig sein, sich von der Störung zu erholen.

Das liegt daran, dass zu dieser Zeit, mit dem Einsatz von Krebsmedikamenten, für fortgeschrittene Krebspatienten, ihre eigenen Körper sind sehr schwach, aber Onkologie Medikamente sind zwei-Wege, so dass viele fortgeschrittene Krebspatienten, nach dem Durchhalten für einen Zeitraum von Zeit, aufgrund des Verlustes von Funktionen ihres Körpers, schließlich nicht durchziehen konnte und verließ diese Welt.
Natürlich sage ich nicht, dass Patienten mit fortgeschrittenem Krebs nicht ins Krankenhaus gehen müssen. Der Hauptzweck für viele Patienten mit fortgeschrittenem Krebs, ins Krankenhaus zu gehen, besteht darin, die durch die Krankheit verursachten Schmerzen und Leiden zu lindern und gleichzeitig zu hoffen, dass sich die Lebensqualität der Krebspatienten letztendlich verbessert. Das Wichtigste ist, dass man in unserer Vorstellung, wenn man krank ist und nicht ins Krankenhaus geht, es immer bereut und sogar von seinen Nachbarn kritisiert wird.。
Das heißt, nachdem mein Onkel ins Krankenhaus eingeliefert wurde, konnte sein Körper aufgrund des fortgeschrittenen Stadiums und der Tendenz zur Metastasierung des Tumors in der Lunge den Auswirkungen der Chemotherapie nicht standhalten, und er würde schließlich sein Leben verlieren. Deshalb müssen wir Krebs präventiv behandeln, und wenn er erst einmal in einem fortgeschrittenen Stadium entdeckt wird, ist es im Grunde aussichtslos, denn es sind nur wenige Wunder möglich!。
Wie erkennt man Lungenkrebs?
Wenn sich die Krebszellen immer in den Bronchien oder in der obersten Schicht der Lungenbläschen befinden und nicht weiter in die untere Schicht der Zellen vordringen, wird diese Art von Krebs im Allgemeinen als Carcinoma in situ bezeichnet, das von vielen Menschen bei den üblichen Vorsorgeuntersuchungen entdeckt wird.
Zu diesem Zeitpunkt ist das Carcinoma in situ noch kein bösartiger Tumor, so dass es, sobald es durch eine körperliche Untersuchung entdeckt wird, sofort entfernt und pathologisch untersucht werden sollte, um festzustellen, ob es bösartig oder gutartig ist, und dann sollte eine systematische Analyse durchgeführt werden, um ein Urteil zu fällen.
Viele Lungenkrebspatienten ignorieren dieses Carcinoma in situ jedoch einfach, und mit der Zeit dringt dieses Carcinoma in situ in die Innenwand der Bronchien oder Luftblasen ein und bildet so einen vollständigen invasiven Krebs. Wenn der menschliche Körper einmal an dieser Art von Krebs erkrankt ist.
Er breitet sich aus, bildet Metastasen, und das, was wir im täglichen Leben als Lungenkrebs bezeichnen, ist ein vollständig infiltrierter Lungenkrebs, der vollständig in die Atemwege und Lungenorgane eingedrungen ist und extrem gefährlich ist.

Wenn diese Art von Krebszellen in die Innenwand der Lunge eindringen und durch andere Faktoren wie Zigarettenrauch und Geruchsbelästigung stimuliert werden, verursachen sie eine atypische Vermehrung der Krebszellen, und diese atypische Vermehrung führt dazu, dass die Lunge fibrös wird, sich verhärtet oder die ursprüngliche Funktion der Lunge vollständig verliert. Das heißt, die mittleren und späten Stadien des Krebses, so dass diese Art von Lungenkrebs ist im Grunde irreversibel in der weiteren Entwicklung, und wenn es gebildet wird, wird die Überlebenszeit der Menschen verkürzt werden.
Drittens: Wie sind Sie in der letzten Phase Ihres Lebens am Ende an Lungenkrebs gestorben?
Dabei haben Lungenkrebspatienten eigentlich die größten Schmerzen, denn im Spätstadium des Lungenkrebses kann der Tumor anfangen zu metastasieren, und es gibt viele Komplikationen, gepaart mit der Tatsache, dass die Lunge in Mitleidenschaft gezogen wird und ihre ursprünglichen Funktionen verliert, ist es für sie sicherlich sehr schmerzhaft zu atmen, was sich vor allem in den folgenden Punkten widerspiegelt.
Erstens: mein Onkel in ein paar Tagen vor dem Tod von einer Woche, das heißt, die höchste Lunge, wird zeigen, Brust abnorme Schwankungen wie, Kurzatmigkeit, Kurzatmigkeit, schwer, müssen Sauerstoff zu liefern, um die Belastung der Atmung zu lindern, der Patient die Kehle ist sehr angespannt, die Kehle hat einen Schleim, aber in der Regel nicht gehustet werden kann auf ihre eigenen, müssen die Unterstützung der Sputum Gerät zu saugen.

Außerdem wird die Atmung vor dem Tod des Patienten unregelmäßig, manchmal schnell, manchmal sanft, aber im Allgemeinen sehr schwach und kraftlos, und schließlich, wenn er nicht mehr atmen kann und Schleim im Hals hat, legt er sich auf die Seite, und der Speichel fließt unbewusst aus seinem Mund.
Darüber hinaus werden einige Patienten, weil der systemischen Metastasierung von Krebstumor, zum Beispiel, erleben Verlust der Stärke, unerträgliche Schmerzen im ganzen Körper, unerträglich Schlucken, das heißt, am Ende, auch das Wasser ist nicht in der Lage, normal zu trinken, oder Invasion der Leber Bereich, gelbe Augen, Leberbereich oder Bauch, unerträgliche Schmerzen.
Es gibt auch einige Lungenkrebspatienten, die Blut husten, nachdem der Tumor in die Lunge eingedrungen ist, und schließlich an Bluthusten oder Bluterbrechen sterben.
Es gibt noch weitere Komplikationen, wie z. B. Angriffe auf die Hirnnerven, die zu einem Koma führen können, und das Phänomen des Komas, das eine Schwächung des körpereigenen Immunsystems verursacht, was zum Tod des Patienten führen kann.
Die letzte ist, dass der Lungenkrebstumor aufgrund seiner Größe die umliegenden Organe und Gewebe vollständig komprimiert hat, und in der Klinik ist es sehr offensichtlich, dass die relativ großen Blutgefäße im menschlichen Körper ein Herz-Lungen-Versagen verursacht haben, was zu einer ernsthaften Behinderung des Blutrückflusses geführt hat, und am Ende sind einige Menschen an Herzversagen verstorben.

Zusammenfassend lässt sich sagen, dass es beim Tod eines Krebspatienten Gemeinsamkeiten und Persönlichkeiten gibt. Die Gemeinsamkeiten sind der Schmerz, die Hilflosigkeit, die Ausdünnung des Körpers, die Leblosigkeit der Augen, die völlige Entstellung des Körpers und schließlich, je nach Persönlichkeit der verschiedenen Menschen, murmeln einige von ihnen und wiederholen einen Satz. Der endgültige Zeitpunkt des Todes liegt in den frühen Morgenstunden oder um Mitternacht.。
Ich bin Doktor der medizinischen Wissenschaft, verbreite medizinisches Wissen, erzähle Krankenhausgeschichten, das Tippen ist nicht einfach, wenn Sie es gut finden, können Sie klicken, um mir zu folgen, mögen, weiterleiten!

Über den Krebstod zu sprechen, ist ein Thema, mit dem sich viele Patienten und ihre Familien nicht auseinandersetzen wollen, aber gleichzeitig ist es ein grausames und realistisches Thema. Wir hören oft von Menschen, die innerhalb weniger Monate an Krebs gestorben sind, oder die nach der Behandlung gute Ergebnisse hatten, aber plötzlich verstorben sind usw. Diese Themen machen die Menschen zimperlich gegenüber Krebs und sind der normalen Behandlung von Krebspatienten nicht förderlich.
Nach Angaben der WHO steht Lungenkrebs weltweit an erster Stelle, sowohl was die jährliche Inzidenz als auch die jährlichen Todesfälle betrifft, und die Inzidenzrate wird immer höher.

Was sind die Todesursachen bei Lungenkrebs?
1. ein Organversagen
Die meisten fortgeschrittenen Lungenkrebse metastasieren in Leber, Gehirn und Knochen und können zu Organversagen führen.
2. lungeninfektionen
Einerseits können Patienten mit fortgeschrittenem Lungenkrebs aufgrund der Kompression der Luftröhre durch den Tumor und der Obstruktion des Tubuslumens möglicherweise keinen reibungslosen Auswurf mehr haben. Andererseits haben Patienten mit fortgeschrittenem Lungenkrebs einen erhöhten Verbrauch und verminderten Appetit, was zu Unterernährung und verminderter Immunität führen kann. All dies kann zu intrapulmonalen Infektionen führen.

3. große Mengen Blut aushusten
Wenn ein Lungenkrebspatient heftig hustet, kann die Adhäsion zwischen dem Tumor und den kleinen Arterien zerrissen werden, was zu einer Ruptur der Bronchien führt, woraufhin eine große Menge Blut ausgehustet wird, die die Atemwege blockiert und zum Erstickungstod führt.
4. der Pleuraerguss
Ein Pleuraerguss ist eine weitere häufige Komplikation bei Lungenkrebspatienten, und eine große Menge an Pleuraerguss kann bei den Patienten zu Atembeschwerden führen.
5. eine Lungenembolie
Krebserkrankungen wie Lungenkrebs und Magen-Darm-Tumoren sind anfällig für Lungenembolien, vor allem weil das Blut in einem Zustand der Hyperkoagulabilität ist, und Chemotherapeutika und der Chemotherapieprozess können einen Beitrag dazu leisten.
Ich hoffe, dass meine Antwort dir hilft! Gib mir ein Like, wenn sie dir gefällt!

Diese Frage und Antwort sind von den Nutzern der Website, stellt nicht die Position der Website, wenn eine Verletzung, kontaktieren Sie bitte den Administrator zu löschen!