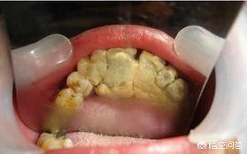
Jeden Abend, wenn ich mir die Zähne putze, befindet sich dicker Zahnstein auf der Innenseite meiner Schneidezähne, und ich kann die Textur vorsichtig mit der Hand abzupfen, was soll ich tun?
Jeden Abend, wenn ich mir die Zähne putze, befindet sich dicker Zahnstein auf der Innenseite meiner Schneidezähne, und ich kann die Textur vorsichtig mit der Hand abzupfen, was soll ich tun?
Zahnstein, der einen Besuch im Krankenhaus zur Entfernung von Zahnstein erfordert.
Zahnstein enthält eine große Anzahl von Bakterien, die viel Schaden anrichten können, z. B. schlechten Geschmack im Mund, Zahnfleischbluten, Zahnfleischrückgang, Gingivitis-Symptome, die sich im weiteren Verlauf zu einer Parodontalerkrankung entwickeln.
Zahnstein kann durch Zahnsteinentfernung in der zahnärztlichen Abteilung eines Krankenhauses entfernt werden, ohne die Zähne zu beschädigen, den Zahnschmelz zu verdünnen, den Zahnschmelz zu beschädigen, die Zähne zu lockern oder die Lücke zwischen den Zähnen zu vergrößern.
Beim Scaling handelt es sich um hochfrequente Mikrowellenvibrationen, die große Zahnsteinbrocken zerkleinern und abtransportieren, anstatt sie abzuschleifen, wie wir normalerweise denken.
Zahnstein drückt lange Zeit auf das Zahnfleisch und lässt es schrumpfen, so dass Sie nach der Entfernung des Zahnsteins das Gefühl haben werden, dass die Lücke zwischen Ihren Zähnen größer wird und Sie heiß und kalt empfindlich sind, was nicht durch die Zahnsteinentfernung verursacht wird, sondern ein eigenständiges Problem darstellt.
Lose Zähne sind auch, der Zahnstein hält alle lockeren Zähne zusammen als ein Ganzes, so dass Sie nicht das Gefühl, dass die Zähne locker sind, bevor Sie sie gereinigt werden, sobald der Zahnstein entfernt wird, gehen die Zähne von als ein Ganzes, um jeden einzelnen, so dass Sie das Gefühl, dass die Zähne locker sind.
Deshalb müssen wir unsere Zähne ein- bis zweimal im Jahr putzen und auf die Mundhygiene achten, um Gingivitis und Parodontalerkrankungen vorzubeugen.
Von einem Mann, der gerade seine Zähne gereinigt bekommen hat.
Ich habe mir erst letzte Woche die Zähne reinigen lassen und denke, dass ich in dieser Angelegenheit ein Wörtchen mitzureden habe. Im Ernst: Diejenigen von euch, die noch nie eine Zahnreinigung hatten und sagen, es sei schlecht, sollten es erst ausprobieren, bevor sie etwas sagen.
Letzte Woche habe ich mich entschlossen, meine Zähne reinigen zu lassen, weil ich die Schmerzen von täglichem Zahnfleischbluten und sauren Zähnen beim Trinken von kaltem Wasser nicht mehr ertragen konnte. Natürlich habe ich viel im Internet recherchiert, um mir vor dem Putzen Mut zu machen, ehrlich gesagt habe ich selbst keine Ahnung. Nachdem ich viele Artikel gelesen hatte, entschied ich mich dafür, meine Zähne in einem normalen Krankenhaus reinigen zu lassen, schließlich habe ich das Gefühl, dass das Krankenhaus eine formellere Garantie hat!
Ich entschied mich für eine sandgestrahlte Zahnreinigung. Nach dem Waschen der Zähne und dem Ausspülen des Mundes am Waschbecken spuckte ich eine große Menge Zahnstein aus, der während der Zahnsteinentfernung mit dem Wasser herausgespült worden war, bevor ich merkte, wie schlimm es war. Das ist klar. Es stimmt, dass die Zähne in den ersten zwei Tagen nach der Reinigung empfindlicher sind und ein Gefühl der Schwäche haben. Und ich habe einen kleinen Rat für diejenigen, die gerade eine Zahnreinigung hinter sich haben. Putzen Sie regelmäßig Ihre Zähne und rauchen Sie weniger. Es wird gut sein, wenn die Zähne nicht so empfindlich sind.
Jetzt sind meine Zähne nicht mehr empfindlich und mein Atem ist weg. In der Tat ist die Zahnreinigung für mich gut.
Ich bin 24 Jahre alt. Ich bin 24 Jahre alt. Normalerweise bin ich Raucher, habe vor der Reinigung nicht viel auf meine Zahngesundheit geachtet. Um ehrlich zu sein. Ich bin mir nicht sicher, wovon Sie sprechen.
Ist es in Ordnung, die Zähne nicht zu putzen, wenn die Zähne bereits problematisch sind?
Meine Meinung ist nur als Referenz gedacht. Ich hoffe, sie ist für Sie alle von Nutzen
In diesem Artikel:Was soll ich tun, wenn ich etwas Dickes an der Innenseite meiner Schneidezähne habe, das ich mit den Händen abreißen kann? Als Zahnärztin lautet meine Antwort.Dies ist eine häufige Art von Zahnstein im Mund, und es ist möglich, dass Sie beim Zähneputzen etwas davon mit den Händen abnehmen können, aber es ist unmöglich, ihn vollständig zu entfernen. Wenn sich Zahnstein bildet, ist eine regelmäßige Reinigung erforderlich, um ihn zu entfernen.

Wie entsteht Kalkül?
Zahnstein ist eine fremde Substanz im Mund, und es ist nicht etwas, von dem man sagt, dass es die Zähne stabilisieren kann.
Kurz über die Entstehung von Zahnstein: zunächst wird die Oberfläche der Zähne bilden einen dünnen Film, und dann die Bakterien werden eine nach der anderen adsorbiert werden, gepaart mit Speiseresten, Kalziumsalze, etc. allmählich mineralisiert und fest an der Oberfläche der Zähne, zu diesem Zeitpunkt, egal wie viel Bürsten kann nicht gereinigt werden.

Wo findet man die Infinitesimalrechnung leicht?
Viele Menschen denken immer, dass die Mundhöhle in einem sehr guten Zustand ist, es gibt keine Schmerzen und keine Farbanomalien, wie kann es da Zahnstein geben? Tatsächlich putzen viele Menschen ihre Zähne nur, um die äußere Oberfläche der Bürste zu sehen, und ignorieren die versteckten Stellen, wissen aber nicht, dass diese Stellen die Ursache für Zahnfleischschwellungen und Schmerzen, Alveolarknochenresorption, der wichtige Grund für die Lockerung der Zähne sind.
Zahnstein, der in der Regel auf der Oberfläche der weniger beanspruchten Zähne auftritt, ist bei Patienten, die auf der vorbelasteten Seite der Abfallseite kauen, sehr dick mit Zahnstein bedeckt. Darüber hinaus.Unterkiefer-Frontzähne, denn es ist die Öffnung der Speichelkanäle, reich an Mineralien, leicht zu hinterlegen und bilden Zahnstein, kann man die unteren Schneidezähne linguale Seite der gelblichen Fremdkörper zu sehen, wenn Sie Ihren Mund weit öffnen.

Kann ich den Zahnstein nicht entfernen?
Viele Menschen glauben, dass Zahnstein zum normalen Gewebe des Mundes gehört und dazu beiträgt, dass die Zähne stark bleiben.
Dies ist in der Tat ein Irrglaube.
Zahnstein hat folgende Auswirkungen: Mundgeruch, Zahnverfärbung, Beeinträchtigung der zwischenmenschlichen Kommunikation, geschwollenes und schmerzhaftes Zahnfleisch, Karies, Parodontose, Zahnlockerung, -verschiebung, -abfall usw.

Warum sagen manche Leute, dass man sich nicht die Zähne putzen kann?
Es gibt viele Missverständnisse über Skalierung. Die häufigste ist zu denken, dass Skalierung wird die Lücke zwischen den Zähnen zu waschen, in der Tat ist es nicht so, Skalierung ist nur die Oberfläche der Zähne des Fremdkörpers zu entfernen, wird der Zahnstein entfernt werden, um die ursprüngliche Mundhöhle nur freizulegen. Die Lücke zwischen den Zähnen wird größer, weil die langfristige Existenz von Zahnstein, was zu Zahnfleischrückgang, Alveolarknochen Resorption, und Skalierung hat nichts zu tun mit.

Um es kurz zu machen.
Zahnreinigung, viele Menschen denken, dass sie ihre Zähne jeden Tag putzen, und es gibt keine offensichtliche Zahnfleischbluten, ist es möglich, nicht reinigen Sie Ihre Zähne. In der Tat ist dies auch falsch. Zunächst einmal kann die Oberfläche nicht gesehen werden, bedeutet nicht, dass es wirklich sauber ist, Zahnstein gibt es auch in versteckten Orten, das Innere des Zahnfleisches, usw., müssen eine gründliche Skalierung durchführen, um sauber zu entfernen.
Deshalb sagt Ihnen der Zahnarzt verantwortungsbewusst.Sie sollten Ihre Zähne alle sechs Monate bis ein Jahr reinigen lassen und jedes Jahr eine Routineuntersuchung der Mundgesundheit durchführen lassen. Kurz gesagt: Früherkennung, frühe Behandlung!
- Es wird empfohlen, zu Dental Jen's Zimmer zu reinigen, ich ging gerade zu reinigen meine Zähne vor ein paar Tagen, natürlich habe ich nicht Zahnstein, einige Zahnflecken, verbrachte $ 60 auf eine saubere, müssen die Menschen ihre Zähne einmal im Jahr zu reinigen, obwohl wir unsere Zähne putzen jeden Tag, aber die Flecken oder Zahnstein auf den Zähnen abgelagert kann nicht abgebürstet werden, im Laufe der Zeit Mundgeruch, Zahn-Probleme werden häufiger auftreten.
- Vor allem das Problem der Mundgeruch, diese für andere auf ihr eigenes Leben sind sehr einflussreich, ist es empfehlenswert, in einer fristgerechten Weise zu waschen, nach dem Waschen finden Sie eine neue Welt, Mund und Zähne frisch, sauber, als ob das Essen süß, das ist mein Gefühl, sondern auch eine Menge Selbstvertrauen!
- Egal, Männer und Frauen Zähne ist sehr auf das Gesicht Wert, Sie sehen gut aus, einen Mund öffnen einen Mund der gelben Zähne oder voller Zahnflecken, oder ein Gespräch Mundgeruch ersticken, denken Sie, vor allem junge Menschen, Sie nicht küssen mit geliebten Menschen? Dies ist ein Zeichen der Liebe, so ist es besser, die Pflege Ihrer Zähne zu nehmen.
- Eine weitere gute Sache ist, dass, jetzt kümmern sich gut um Ihre Zähne, wenn Sie alt sind, fallen langsamer aus, verlieren Sie nicht Ihre Zähne früh, einige Leute sagen, Sie können Zahnersatz, dass falsche und echte Essen Gefühl ist definitiv nicht das gleiche, und die Kosten für Zahnersatz ist genug für Sie, um Ihre Zähne für viele Jahre zu reinigen. Es ist also besser, bei den Kindern anzufangen, die Zähne zu schützen, zu Hause zwei- bis dreimal am Tag die Zähne zu putzen, eine bessere Zahnbürste und eine bessere Zahnpasta zu verwenden und langfristig zu denken. Gehen Sie regelmäßig zum Zahnarzt, um Ihre Zähne zu reinigen, und suchen Sie einen Arzt auf, wenn Sie irgendwelche Probleme haben! Wir danken Ihnen!
Das ist eine sehr gute Frage! Zahnstein ist eigentlich Plaque und weicher Zahnstein, der sich auf der Oberfläche der Zähne abgelagert hat und verkalkt ist oder sich gerade verkalkt.
Nach den Daten der jüngsten epidemiologischen Erhebung zur Mundgesundheit in China erreichte die Zahnsteinentdeckungsrate 96,7 Prozent bei den 35- bis 44-Jährigen und 96,4 Prozent bei den 55- bis 64-Jährigen.
Von besonderer Bedeutung ist die Tatsache, dass die Zahnsteinentdeckungsrate auch bei unseren Jugendlichen 73,6 Prozent erreicht hat.
Es ist offensichtlich, dass Zahnstein in unserem Land ein häufiges orales Problem ist.
Wie kann man also die Bildung von Zahnstein im täglichen Leben verhindern? Heute werde ich mich mit euch zusammensetzen und ein wenig darüber plaudern, nur als Hinweis.

Wie entsteht Kalkül?
Erstens müssen wir verstehen, wie Kalkül entsteht?
Jeder von uns hat eine Menge Bakterien im Mund, und wenn sich diese Details mit den Proteinen und Abbauprodukten der Nahrung, die wir zu uns nehmen, vermischen, bilden sie einen klebrigen Film, der klinisch als Plaque bekannt ist.
Diese klebrigen Filme haften an den Zähnen und wenn sie nicht rechtzeitig entfernt werden, beginnen sie innerhalb von 14 Tagen oder weniger zu verkalken und bilden allmählich Zahnstein.
Wenn sich der Zahnstein gerade erst gebildet hat, ist die Textur noch relativ weich, so dass die Chancen gut stehen, dass er sich von selbst entfernen lässt; ist dies der Fall, wird er im Laufe der Zeit langsam immer härter und haftet fest an der Zahnoberfläche.
Eine harte, solide, alte Rechnung dauert in der Regel Monate oder sogar Jahre.

Vorbeugung gegen Plaque beginnt mit der richtigen Zahnbürste
Wenn sich erst einmal harter und fester Zahnstein gebildet hat, können wir selbst nichts mehr dagegen tun, außer einen Spezialisten zu bitten, ihn mit speziellen Instrumenten zu entfernen.
Und es sind die 14 Tage zwischen der Plaquebildung und dem Beginn der Verkalkung, die als letzte Möglichkeit übrig bleiben, die Plaque zu beseitigen.
Daher ist die Wahl der richtigen Zahnbürste und deren Verwendung der wichtigste Schritt.
Erstens sollten Sie lernen, die richtige Zahnbürste auszuwählen.Wählen Sie eine Zahnbürste mit weicheren Borsten und wechseln Sie sie mindestens alle 3 Monate aus, oder verwenden Sie eine elektrische Zahnbürste.
Zweitens sollten Sie lernen, die richtige Zahnpasta zu wählen.Es kann eine Zahnpasta mit hohem Fluoridgehalt gewählt werden, da Fluorid die Adsorption von Bakterien und Proteinen an der Zahnoberfläche verhindert und so das Auftreten und die Entwicklung von Parodontitis verringert.
Und schließlich ist es wichtig, dass die Zähne richtig gebürstet werden:Um dies richtig zu tun, halten Sie den Griff der Zahnbürste mit den Borsten in einem 45°-Winkel und setzen Sie die Spitze des Borstenbündels der Zahnbürste am Übergang zwischen Zahnfleisch und Krone an.
Mit leichtem Druck in Richtung der Zähne bürsten, bei den oberen Zähnen von oben nach unten und bei den unteren Zähnen von unten nach oben, sowohl die Innen- als auch die Außenseite der Zähne und die Kauflächen; 2 Mal am Morgen und jeweils 3 Minuten.

Neben der Zahnbürste gibt es noch 2 weitere wichtige Hilfsmittel für die Zahnpflege
Zusätzlich zum Zähneputzen 2 mal täglich, morgens und abends, für 3 Minuten jedes Mal, nach den Mahlzeiten und vor dem Schlafengehen, müssen Sie auch den Mund spülen, um die Mundhygiene aufrechtzuerhalten, und für die Speisereste, weicher Schaum und Plaque, die nicht leicht zu entfernen sind, müssen Sie die 2 wichtigsten zahnärztlichen Werkzeuge, dh, Zahnseide oder Interdentalbürsten zu reinigen.
1) Zahnseide ist eine gute Möglichkeit, Ihre Zähne zu schützen.Zahnseide wird aus Nylon-, Seiden- oder Polyesterfäden hergestellt und ist sehr effektiv bei der Reinigung von Plaque auf den benachbarten Zahnoberflächen, besonders gut bei flachen oder konvexen Oberflächen.
Verwendung.Ziehen Sie ein etwa 25 cm langes Stück Zahnseide herab, wickeln Sie die Enden der Zahnseide um die beiden Mittelfinger, verwenden Sie den rechten und den linken Finger, kontrollieren Sie die Zahnseide zwischen den beiden Fingern in einem Abstand von etwa 1-1,5 cm, machen Sie eine hin- und hergehende Sägebewegung und führen Sie sie vorsichtig durch die Kontaktstellen.
2. die Zahnbürste: Die beste Verwendung von Zahnpflegemitteln.Zahnspaltbürsten ähneln gewöhnlichen Zahnbürsten, der größte Unterschied liegt nur darin, dass die Borsten der Spaltbürsten kegelförmig sind, und es gibt verschiedene Größen für unterschiedliche Spaltbreiten, und Sie können je nach Ihren persönlichen Bedürfnissen verschiedene Größen von Spaltbürsten wählen, um die Spaltflächen und Oberflächen Ihrer Zähne zu reinigen.
Die Interdentalbürste eignet sich für die Entfernung von Schmutz und Ablagerungen in den Zahnzwischenräumen und reinigt die Zähne effektiv.
Eine Lückenbürste ist für Menschen mit großen Zahnlücken geeignet, während Zahnseide für Menschen mit kleinen Zahnlücken geeignet ist.
Fazit: Um Zahnstein vorzubeugen, müssen Sie innerhalb von 14 Tagen die Verkalkung des Zahnbelags stoppen; daher müssen Sie neben dem richtigen Zähneputzen mit 2 wichtigen Zahnpflegemitteln ausgestattet sein, nämlich mit Zahnseide und Interdentalbürsten.
Sind Sie mit mir einverstanden?
Tägliches Update der Gesundheit Hotspots, medizinische Schmerzpunkte; wenn das, was ich sage, ist genau das, was Sie denken, dann bitte wie, retweet, folgen Zhu Xiaojun sagte Gesundheit!
Besonderer Hinweis: Alle empfohlenen Medikamente im Kommentarbereich sollten mit Vorsicht ausprobiert und nicht auf Zuruf gekauft werden!
Ich habe schon seit meiner Kindheit Zahnstein, und zwar einen ganz schlimmen. Als Kind habe ich auf etwas Hartes gebissen, und manchmal ist ein kleines Stückchen abgefallen, und wenn ich es vor meiner Nase gerochen habe, hat es so geschmeckt, das kann ich nicht sagen. Als ich erwachsen wurde, habe ich auch mit einem Bügeleisen oder so etwas gemeißelt, aber dabei ging meistens mein Zahnfleisch kaputt und blutete, und ich habe viele Leute gefragt, auch den Zahnarzt, und die einzige Möglichkeit war, meine Zähne reinigen zu lassen.
Wenn es um Zahnsteinentfernung geht, hatte ich früher Angst, ohne Zahnsteinentfernung zu gehen, weil ich fürchtete, anderen meine schlechte Seite zu zeigen, und ich irrte mehrere Male umher. Aber die Liebe zur Schönheit und der Mut, zu einer privaten Zahnsteinentfernung zu gehen, haben mich dazu gebracht, zur Ultraschallentfernung zu gehen. Halb liegend, mit einem Haken an der Mundecke, damit man den Mund weit öffnet, ein kleines Chromeisen, das wie ein Ultraschallstab aussieht, um den Zahnstein abzubauen. Der Prozess ist ein wenig schwierig, das Zahnfleisch wird auch eine leichte Blutung, etwa eine halbe Stunde oder so zu vervollständigen, und nach, dass mit Borax oder etwas zu geben, ein Spray, sagte Zähne werden viel weißer sein. In der Tat, nach dem Waschen der Zähne Blick in den Spiegel nach einem neuen Look!

Ich habe auch die Zahnreiniger gefragt, warum der Zahnstein wächst. Sie sagten, das läge daran, dass sie ihren Mund nicht richtig ausspülen, und ich habe meinen Mund so gespült, wie sie es mir gesagt haben, aber der Zahnstein wächst trotzdem. Jetzt lasse ich meine Zähne zweimal im Jahr reinigen, einmal im letzten und einmal im nächsten Jahr, und in den letzten fünf oder sechs Jahren hatte ich keine Probleme mit meinen Zähnen. Aber ich war noch nie im Krankenhaus zur Reinigung, ich gehe immer zu einer privaten Zahnreinigung, sie sagten, sie seien ähnlich, aber das Krankenhaus sei viel teurer.

Freunde! Zahnstein beeinträchtigt die Schönheit unserer Zähne, führt zu schlechtem Atem und beeinträchtigt unser Selbstvertrauen. Am besten ist es immer noch, die Zähne zu reinigen und darauf zu bestehen, den Mund morgens und abends von innen und außen zu spülen. Mit weißen Zähnen und frischem Atem werden Sie sich sicher selbstbewusster fühlen, wenn Sie mit anderen sprechen!
Die Oberfläche von Zahnstein ist relativ rau, der natürliche Rückstand wird von Bakterien abgebaut, es wird Plaque bilden, und an den Zahnstein, natürlich, können Sie holen die weichen Zahnstein, aber das ganze Stück Zahnstein kann man nicht holen, einige auf das Zahnfleisch, langfristige Kaukraft, kann es eine kleine Lücke, Speichel durch hier, das Innere des Zahnstein Gestank ist intensiver, und sogar brechen ein kleines Stück.

Was ist, wenn ich dicke Plaque habe?
1, gehen Sie in das Krankenhaus Ultraschall-Skalierung, nach dem Schock von einem Stück ein Stück fallen, mit einem Strohhalm zu saugen, um zu vermeiden, schlucken, um den Magen, kann es einige Schmerzen, nachdem alle, Zahnstein Stimulation auf das Zahnfleisch haben Entzündung, den Prozess des Waschens wird bluten, aber nicht abnutzen den Zahnschmelz.
2, wegen der langfristigen Druck von Zahnstein, bakterielle Infektion führt zu Zahnfleischrückgang, Zahnstein gereinigt wird, natürlich, die Zähne werden locker, Lücke zwischen den Zähnen und andere Probleme, die mehr empfindliche Zähne Wundsein, Dentin Exposition ist auch mehr, so ist es nicht durch Skalierung verursacht.

Welche parodontalen Schäden werden durch Zahnstein verursacht?
1. lockere Zähne
Da der Zahnstein um die Zähne, Waschen vor dem Lösen fixiert ist, glauben viele Patienten fälschlicherweise, dass es Skalierung und Waschen schlecht ist, in der Tat, selbst ist bereits locker, nur der Zahnstein, um sie zu fixieren ein Ganzes, so dass vor dem Waschen nicht sichtbar ist.
2、Zahnlücke wird größer
Der Zahnstein zerstört das Zahnfleisch, die Zahnfleischpapillen sind auf jeden Fall entzündet, die Höhe hat sich verringert, deshalb wird die Lücke nach der Zahnsteinentfernung größer, aber das hat nichts mit der Zahnsteinentfernung zu tun, es gibt keinen Zahnstein, der die Lücke blockiert, und die Sprache wird undicht.
3. parodontale Erkrankung
Bleibt der Zahnstein bestehen, verschlimmert sich die Parodontitis weiter, was zu verschiedenen Komplikationen wie Zahnfleischbluten, Zahnfleischrückgang, Abbau des Alveolarknochens, Mundgeruch und anderen Beschwerden führt, und später haben die betroffenen Zähne keinen Alveolarknochen mehr und fallen nach dem dritten Grad der Lockerung von selbst aus.

Achten Sie auf Ihre Mundhygiene und lassen Sie Ihre Zähne ein- bis zweimal im Jahr reinigen, sonst bilden sich große Zahnsteinbrocken, die zum Himmel stinken.
Willkommen bei [Burning Brothers Dental Society], dem Zahnarzt der Burning Brothers, der Ihre Fragen zum Thema Zahnstein beantwortet!
Das, was man mit den Händen abknipsen kann, sind Essensreste, und wenn man sie nicht bei jedem Zähneputzen abbürstet, setzen sie sich mit der Zeit auf den Zähnen fest und werden zu Zahnstein.
Es ist nicht schlimm, Zahnstein zu haben, gehen Sie einfach in die stomatologische Abteilung des Krankenhauses oder in eine normale Zahnklinik, um Ihre Zähne zu reinigen.
Einige Leute hören, dass Skalierung kann sehr teuer fühlen, in der Tat, es ist in Ordnung, die größeren Krankenhäuser können ein wenig höher ein paar hundert Dollar, ich glaube, dass die meisten Menschen akzeptieren können. Besser als blutendes Zahnfleisch jeden Tag, essen, was nicht gut schmecken, stark zu sein. Zusätzlich zu diesen Krankenhäusern gibt es eine Reihe von Ketten Zahnkliniken können auch in einer Gruppe können Gutscheine kaufen, billig Dutzende von Dollar, in der Regel etwa hundert Dollar.
Es gibt auch Menschen, die das Gefühl, dass Skalierung ist schmerzhaft, aber immer noch zu üben, um zu wissen. Bevor ich nur meine Zähne putzen jeden Tag Zahnfleisch bluten, ein wenig länger ohne Wasser zu trinken wird sehr schweren Atem fühlen, sehen Sie einfach eine öffentliche Zahl an andere mündliche Krankenhäuser, um eine weiche Kopie zu schreiben, kaufte ich eine Gruppe Kaufgutschein, 69,9 Yuan. Bevor ich noch sehr ängstlich, wird nicht sehr schmerzhaft sein, wird nicht schief gehen. Aber nachdem ich hineingegangen bin, habe ich diese Sorge nicht mehr.
Der Zahnarzt hält das Instrument an die Zähne, und es gibt einen Schlauch, den man in den Mund steckt, um Wasser zu saugen. Es tat überhaupt nicht weh, als ich die Schneidezähne reinigte, und ein bisschen hinten, weil der innerste Zahnbelag zu schwer war, und es schien, als würde ich ihn mit dem Instrument abkratzen. Ansonsten tut es überhaupt nicht weh, und das Bild, das ich anderswo gesehen habe, zeigt den Reinigungsvorgang.
"Mach den Mund auf."
Reißverschluss, Reißverschluss, Reißverschluss.
"Spuck es aus."
Einen Schluck Wasser nehmen, gurgeln, spucken
Reißverschluss, Reißverschluss, Reißverschluss.
"Spuck es aus."
Einen Schluck Wasser nehmen, gurgeln, spucken
Reißverschluss, Reißverschluss, Reißverschluss.
"Spuck es aus."
Ja.
Sie können den Zahnstein im Mund spüren, wenn Sie ausspucken, und nach der Reinigung fühlen sich Ihre Zähne ein wenig schwach an, aber in ein paar Tagen sind sie wieder in Ordnung.
Ich hoffe, Sie haben keine Angst, dass es Zeit für eine Zahnreinigung ist. Gesundheit beginnt bei den Zähnen. Und ich hoffe, meine Antwort hilft Ihnen, danke!
Sorgfältig, wenn nicht rechtzeitig behandelt, die Zukunft wird von Parodontitis, Parodontitis leiden, und auch das Risiko von oralen Erkrankungen, wird ernsthaft beeinträchtigen die Qualität Ihrer Zukunft des täglichen Lebens, vor allem soziale Anlässe, oder die Arbeit in der Norm, die Szene wird sehr peinlich, dann unser tägliches Leben, wie die Pflege und Wartung der Mundhöhle, die Gesundheit der Zähne ist ein sehr wichtiges Stück Arbeit, und heute sind wir beliebt!

Erstens: Unter welchen Bedingungen entstehen diese "Flecken" auf den Zähnen?
Im Allgemeinen, wenn Sie produzieren wollen, sagen Sie, es ist einfach zu sein, die Flecken abgeholt, und in den Mund kann man nicht riechen diese Sache ist ein saurer Geruch, sind in der Regel sehr schlechte persönliche Hygienegewohnheiten, nach klinischen Daten zusammengefasst werden können, gibt es die folgenden Fälle, ist sehr einfach zu produzieren Sie sagte zu sein Abholung der sauren Fäulnis Rückstand.
Zum Beispiel, eine Person, die eigenen Zähne in der Kindheit, beim Wechsel der Zähne, nicht rechtzeitig zu korrigieren, wie das erste Mal alle Zähne für die gesamte, zu diesem Zeitpunkt, qualitativ, für diese Gruppe von ungleichen Zähnen selbst, selbst in den Mund, für Lebensmittel kauen, eine Menge von winzigen Speiseresten wird in die Zähne Lücke, und in die Lücke zwischen den Zähnen der Speisereste ist sehr schwierig zu reinigen, und die Zähne sind sehr schwierig zu reinigen werden.
Einige junge Menschen nicht die Aufmerksamkeit auf die Mundhygiene, zum Beispiel, vor allem nach dem chinesischen Essen, viele Menschen einfach nicht spülen den Mund in der Zeit, natürlich, wenn ich sage, spülen, ich meine nicht, dass Sie Zahnpasta verwenden, um wieder zu waschen, ich meine, dass muss mit Wasser zusätzlich zu der Verwendung von Zahnstochern oder Zahnseide in der Zeit zu reinigen, ist sehr notwendig, gespült werden.

Doch im täglichen Leben werden viele Menschen vernachlässigt werden, vor allem die Menschen, deren Zähne sind nicht gerade, diese Lebensmittelreste sind dauerhaft in der Lücke zwischen den Zähnen, nach der Anhäufung von Zeit, diese Lebensmittelreste in den menschlichen Mund für den Verfall, weil der menschliche Mund ist mehr oder weniger enthält eine große Anzahl von Mikroorganismen und Bakterien, anaerobe oder aerobe Bakterien, nach einer Reihe von Reaktionen, diese Rückstände rund um die Lücke zwischen den Zähnen werden Nach einer Reihe von Reaktionen werden diese Rückstände rund um die Zähne langsam zersetzt, zerfallen und sammeln sich rund um die Zähne und das Zahnfleisch an.
Im Laufe der Zeit werden diese schädlichen Rückstände die umliegenden Gewebe der Zähne angreifen, zum Beispiel wird das Zahnfleisch langsam ausgesetzt werden, die Zähne von der ursprünglichen weißen langsam in gelb ändern, sobald der Ausbruch, werden die Zähne eine Wunde haben, die Hauptsache ist, dass in der späteren Phase, werden die Zähne langsam sehr locker, und schließlich die Zähne Entzündung, musste die Zähne, wie ein Pass setzen.
Zweitens: Wie entstehen diese ausgefressenen Flecken, die sich auf die Zähne auswirken können, und führen die
Es kann gesagt werden, dass viele Menschen in der jungen, wird regelmäßig ihre Zähne putzen, aber im Grunde unwissenschaftlich Bürsten, mehr oder weniger Speisereste in den Zähnen um links, mit dem Alter der individuellen Immunität und Widerstand zu sinken, werden die Zähne auch durch physiologische Gründe, die Qualität der Zahngesundheit wird langsam auf die Alterung, in dieser Zeit, viele Menschen, vor allem Menschen mittleren Alters, die Chancen für einen Ausbruch der Parodontitis ist stark erhöht! In dieser Zeit, viele Menschen, vor allem Menschen mittleren Alters, die Chance einer parodontalen Erkrankung stark erhöht.

Warum ist, dass zusätzlich zu den täglichen Gewohnheiten, viele Menschen, gibt es eine Menge von schlechten Gewohnheiten, wie Rauchen, Alkoholismus, Kaffee trinken, essen einige der Schleim, vor allem Stärke und Zucker-haltige Lebensmittel, die das Rauchen produziert schädliche Stoffe, wie Nikotin, Teer, diese Stoffe sind direkt durch den menschlichen Körper der Zahnschmelz beschädigt.
Wir sehen oft Raucher Zähne sind oft gelb, ist dies, weil der Rauch Teer für eine lange Zeit, Akkumulation und werden, zusätzlich zu trinken Kaffee, diese sehr dunkel gefärbten Lebensmitteln, wenn Sie in der Regel essen diese Lebensmittel, nicht durchführen wirksame und schnelle Mundspülung, diese Stoffe, die Farbe Komponenten enthalten, wird in den Zähnen und um die Zähne für eine lange Zeit zu entwickeln, und die Zähne der Zähne, und die Zähne der Zähne der Zähne.
Gekoppelt mit der üblichen Zeit zu essen einige würzige, in einigen Fällen wird es die Basis Wurzel der Zähne und Zahnfleischgewebe zu zerstören, sobald diese zerstört sind, dann diese fremden schädlichen Substanzen können leicht angreifen, die inneren Gewebe der Zähne, in dieser Zeit, eine große Anzahl von Reproduktion, Plaque, Parodontitis und andere grundlegende zahnärztliche orale Probleme.

Die Hauptsache ist, wenn die Zähne zerstört sind, vor allem der Zahnschmelz, in den Prozess der täglichen Ernährung, eine Menge von Speiseresten, ist es einfach, in den Zähnen um, solange Sie jedes Mal, wenn Sie essen, verwenden Sie Ihre Hände zu holen, ihre Fingernägel oben, wird eine weiße klebrige Substanz zu verlassen.
Welche Gruppen von Menschen sind am ehesten von diesen Symptomen leiden, vor allem die Zähne sind nicht gerade Menschen, gefolgt von häufigen Rauchen und Trinken spät in der Nacht Menschen, vor allem wegen ihrer eigenen und externen Kräften, gefolgt von nicht aufpassen, Hygiene, sowie das Tragen einer Zahnprothese Gruppe, diese Menschen bringen ihre eigenen zahnärztlichen Probleme, und es ist sehr einfach zu produzieren Speisereste auf der Oberseite der Zähne in der Zukunft.
Drittens: Wie können Sie Ihren Zähnen vorbeugen und sie pflegen?
Im Allgemeinen, wenn ihre Zähne nicht gerade sind, sowie ihre eigenen Zähne in schlechtem Zustand, nicht wie die Zähne der Menge zu waschen, ist es empfehlenswert, regelmäßig zum Zahnarzt gehen jedes Jahr zu überprüfen, wenn es festgestellt wird, dass die Zähne sehr schmutzig sind, dann ist es empfehlenswert, dass Sie die Reinigung der Schutzmaßnahmen durchzuführen.
Allgemeine Reinigung, Zähne werden sehr sauber und strahlend weiß, aber es ist ein wenig schlecht ist, dass die Zähne und Zähne neben den Zähnen, die Lücke wird sehr groß, so dass, wenn Sie essen, Lebensmittel ist leicht zu stecken in der Innenseite, so, Skalierung hat seine Vor- und Nachteile, natürlich, wenn die Zahnstein ist sehr ernst, Skalierung ist der wichtigste Schritt, weil die Zahnstein in der weiter unten, es ist Parodontitis, und so weiter.

Es wird empfohlen, im Alltag eine Mundspülung zu verwenden, die wirksam dazu beiträgt, die Nahrung aus den Zahnspalten und der Umgebung der Zähne zu entfernen und so die Mundhygiene zu fördern.
Die Verwendung von Zahnseide, Zahnstocher für eine wirksame Behandlung, die Hauptsache ist, dass egal, was, jedes Mal, wenn wir etwas essen, müssen wir eine wirksame Mundspülung, wie ausgehen kann eine Art von Mini-Mundwasser und so weiter, einfach zu bedienen, immer halten Mundhygiene.
Außerdem ist es wichtig, nachts und zu anderen Zeiten keine Süßigkeiten zu essen, denn es gibt zuckerhaltige Lebensmittel, die sehr schädlich für die Zähne sind, und ältere Menschen versuchen, so wenig wie möglich zu essen, um den Zahnschmelz zu schützen.
Zusammenfassend lässt sich sagen, dass die Zähne das wichtigste Werkzeug des menschlichen Körpers sind, um zu essen und zu kauen. Ein Mund voller guter Zähne bringt Ihnen eine gute Lebensqualität und Stimmung, um gute Gewohnheiten zu entwickeln, und Mundhygiene ist das Wichtigste.
Ich bin ein medizinischer Wissenschaft Arzt, willkommen zu klicken, um mir zu folgen, wie Unterstützung!
Zahnstein entsteht nicht einfach beim Zähneputzen, sondern bildet sich langsam im Laufe der Zeit, aber es ist seltsam, dass ein Teil des Zahnsteins langsam abbricht.
Bevor meine Situation ist es, meine Zähne putzen wird bluten, manchmal essen ein gedünstetes Brot wird bluten, Mundgeruch zu ist nicht. Habe immer gedacht, dass der Mangel an bestimmten Elementen, so oft essen Äpfel, Milch trinken, aber die Situation hat sich nicht verbessert, bis eines Tages von den Zähnen Schnalle nach unten einen Block von Zahnstein, was das Gefühl der fehlenden ein Zahn ist sehr unangenehm, so gehen Sie auf die zahnärztliche Skalierung, aufgeteilt in zwei Zeiten, waschen wirklich sehr komfortabel, und von da an, Bürsten nicht mehr bluten.
Diese Frage und Antwort sind von den Nutzern der Website, stellt nicht die Position der Website, wenn eine Verletzung, kontaktieren Sie bitte den Administrator zu löschen!