Kann ein "Lungenknoten", der bei einer körperlichen Untersuchung entdeckt wird, wirklich zu Lungenkrebs werden?
Kann ein "Lungenknoten", der bei einer körperlichen Untersuchung entdeckt wird, wirklich zu Lungenkrebs werden?
Ich bin Dr. Yang. Lungenknötchen und Lungenkrebs, was ist der Zusammenhang?
Der Begriff kleine Lungenknoten bezieht sich auf solche mit einem Durchmesser von weniger als 1 cm, und es besteht eine positive Korrelation zwischen der Größe eines Lungenknotens und der Wahrscheinlichkeit von Lungenkrebs. In dieser Antwort sprechen wir über kleine Knötchen.
Gehen wir die verworrene Beziehung zwischen kleinen Lungenknötchen und Lungenkrebs durch.
(1) Es gibt kleine Lungenknoten, die sich als Lungenkrebs entpuppen.
Lungenkrebs wird unterschieden in Adenokarzinom, Plattenepithelkarzinom, großzelliges Karzinom, kleinzelliges Karzinom, Karzinoidkarzinom usw. Wenn diese Krebsarten klein sind, sind sie nicht so typisch wie wenn sie groß sind.
Für die Diagnose dieser Untergruppe von kleinen Lungenknoten sind die Erfahrung des Filmlesers sowie eine Reihe von Maßnahmen erforderlich.

2. es gibt kleine Lungenknoten, die zunächst nicht krebsartig sind.Vielmehr handelt es sich um eine atypische adenomatöse Hyperplasie usw., die sich langsam zu einem invasiven Adenokarzinom entwickelt, was am häufigsten bei Grundglasknötchen zu beobachten ist.
(3) Einige kleine Lungenknoten, die gutartig sind, entwickeln sich nicht zu Lungenkrebs.
Intrapulmonale Lymphknoten können sich beispielsweise als kleine Knötchen in der Lunge zeigen und sogar langsam wachsen, was jedoch gutartig ist und nicht bösartig wird. Es gibt glasige Knoten, die nach einer Nachuntersuchung verschwinden und auf eine Entzündung hindeuten. Bei anderen Knötchen handelt es sich um Tuberkulose, andere Entzündungen oder gutartige Tumore.

4) Es gibt kleine Lungenknoten, die operiert werden müssen, obwohl sie nicht krebsartig sind.
Beispiele hierfür sind das sklerosierende Pneumozytom, der partielle Malformationstumor usw.
5. es gibt kleine Lungenknoten, die nicht krebsartig sind, aber andere Arten von bösartigen Tumoren.
Zum Beispiel Lymphome, Metastasen, Sarkome usw.

Wenn ein Lungenknoten gefunden wird, sollte er entsprechend der klinischen Situation, den CT-Manifestationen usw. analysiert werden. Je kleiner der Knoten ist, desto schwieriger ist es, ihn zu charakterisieren, weshalb manchmal eine Nachbeobachtung erforderlich ist.
Weder sollte man blindlings aggressiv sein und operieren, wenn man einen Knoten findet, noch sollte man blindlings optimistisch sein und ignorieren, wenn man einen Knoten findet.
Die Wahrscheinlichkeit, bei der körperlichen Untersuchung kleine Lungenknötchen zu entdecken, ist hoch, und es sind weit mehr gutartige als bösartige.
Der Zweck unserer Inspektion ist esIdentifizierung kleiner Knoten, die sich zu Lungenkrebs entwickeln können, und rechtzeitige Beseitigung dieser Knoten, wodurch Lungenkrebs im mittleren bis späten Stadium verhindert wird。
Pathologisch lassen sich kleine Lungenknötchen in drei Typen mit unterschiedlichen Behandlungsprinzipien einteilen:
1. gutartige Knötchen
Gutartige Lungenknoten, von denen einige Proliferations- und Verkalkungsherde und einige Lymphknoten sind, können in der Lunge vieler Menschen aufgrund von alter Tuberkulose, Luftverschmutzung, beruflicher Inhalation, Langzeitrauchen und Passivrauchen entdeckt werden.
Es handelt sich um einen kleinen Knoten im Zwischenrippenfell, und solche isolierten Knoten im Zwischenrippenfell sind fast immer gutartig und geben keinen Anlass zur Sorge.
2. bösartige Lungenknötchen
Bei gemischten Glasknötchen gibt es beispielsweise mehr bösartige als gutartige.
Einige der Anzeichen, die auf eine bösartige Erkrankung hindeuten, sind:
1. gemischte Glasknötchen mit pleuralem Ziehen;
2. deutliche Glasschliffschatten an den Rändern, die auf ein adnexales Wachstum von Tumorzellen hindeuten;
(3) Die Anzeichen für eine Insufflation der inneren Bronchien sind leicht steif, erweitert, verzerrt, manchmal als vakuoläre Anzeichen, vaskuläre Penetration, Verdickung und Furchenbildung spürbar.

Es handelt sich um einen Fall von chirurgisch bestätigtem Adenokarzinom der Lunge.
Bei soliden Lungenknötchen gibt es dagegen weitaus mehr gutartige als bösartige. Bösartige Lungenknoten weisen in der Regel Grate, Läppchen, Bronchialstümpfe, Stacheln, pleurale Depressionszeichen und Gefäßknäuel auf.
Dies ist eine sehr komprimierte und praktische Zusammenfassung von Professor Huang vom Shandong Cancer Hospital!
3. kleine Knötchen, die gutartig aussehen, sich aber zu Lungenkrebs entwickeln können
Diese kleinen Knötchen, die gutartig und glatt aussehen und keine Anzeichen von Bösartigkeit aufweisen, können größer werden und bei der Nachuntersuchung zunehmend Anzeichen von Bösartigkeit zeigen.

Ein kleiner solider Knoten wie dieser, etwa 4 mm, war glatt und zeigte keine offensichtlichen Anzeichen von Bösartigkeit. Aber zwei Jahre und vier Monate später:
Die Pathologie bestätigte später, dass es sich um einen kleinzelligen Lungenkrebs handelte.
Wie erkennt man also diese potenziell kleinen Lungenkrebsknoten?
Wir können Lungenknoten nicht sofort operieren, wenn wir sie finden; das würde die gutartigen Knoten, die die Mehrheit der Bevölkerung ausmachen, zu Unrecht abtöten und wäre mühsam und gesundheitsschädlich.
Was ist zu tun? In zwei Schritten:
1. kleine Knötchen mit eindeutigen Anzeichen von Malignität entfernen;
2. bei kleinen Knötchen, die keine offensichtlichen Anzeichen von Bösartigkeit aufweisen, weiterverfolgen und beobachten, die Bösewichte werden sich immer zeigen.
An dieser Stelle wird deutlich, warum wir die Lungenknötchen nach dem Risikograd eingestuft haben:
Geraten Sie also nicht gleich in Panik, wenn Sie bei Ihrer körperlichen Untersuchung Lungenknötchen entdecken.
Wenn Ihr Arzt vor Ort Ihnen rät, die Untersuchung fortzusetzen und zu beobachten, bedeutet das zumindest, dass es noch nicht sicher ist, dass es sich um Lungenkrebs handelt, und dass Sie abwarten müssen, wie sich die Krankheit im Laufe der Zeit dynamisch verändert.
Und globale Leitlinien zeigen, dass solche Nachbeobachtungen die Behandlung im Allgemeinen nicht verzögern.
Ich bin Dr. Howe von der Abteilung für Bildgebung. Danke fürs Lesen und folgen Sie mir gerne!
Ich bin Dr. Little Shadow, ein Arzt für Bildgebung. Kleine Lungenknötchen, die bei einer körperlichen Untersuchung festgestellt werden, können sich tatsächlich zu Lungenkrebs entwickeln. Die meisten Lungenknötchen, die bei einer körperlichen Untersuchung festgestellt werden, sind gutartig, und weniger als 10 Prozent sind tatsächlich Lungenkrebs.
Wachstumsgeschichte eines kleinen Lungenknotens, der sich zu Lungenkrebs entwickelt hat
Gerade vor zwei Tagen, las ich einen Fall, der Patient männlich 57 Jahre alt 3 Jahre der Überprüfung, nur den Prozess der ein Knoten von 0,5 cm groß in Lungenkrebs, jede Überprüfung, der Knoten ist in der Größe zunimmt, aber der Patient nur nicht wählen, Chirurgie.
Der Pfeil zeigt auf den Knoten, der sehr klein war, als er im März 2016 entdeckt wurde, etwa 0,5 cm, und jetzt werden bei Routineuntersuchungen sehr viele Knoten wie dieser entdeckt.Es gibt keine Möglichkeit, auf den Bildern festzustellen, ob es gut- oder bösartig ist, sondern nur die Möglichkeit der Überprüfung, und die Überprüfung und Nachsorge ist auch das beste Mittel.
Sieben Monate später, bei der zweiten Nachuntersuchung im Oktober 2016, wurde deutlich, dass dieser Knoten größer und runder geworden war. Der vergrößerte Knoten bei der Nachuntersuchung sollte auf die Möglichkeit einer Bösartigkeit hinweisen, aber dieser Patient entschied sich dennoch nicht für eine Operation.
Nach weiteren 1 Jahr und 2 Monaten, die dritte Überprüfung im Dezember 2017.Sie können sehen, dass dieser Knoten ist viel größer als zuvor, die bösartigen Zeichen sind lobulierte aus und es hat sich im Inneren fest, diese Zeichen diagnostizieren die Lunge Krebs im Grunde, aber der Patient immer noch nicht haben Chirurgie.
Nach einem weiteren Jahr, bei der vierten Untersuchung im Januar 2019, hatte sich der Knoten in eine Masse (>3 cm) verwandelt, und dieses Lungenkarzinom war lehrbuchmäßig, mit im Grunde allen Anzeichen einer Bösartigkeit, die für Lungenkrebs sprechen.Unregelmäßige Ränder, Läppchen, Grate und Anzeichen von Pleuraziehen.
Glücklicherweise wurden noch keine Metastasen festgestellt, und eine chirurgische Entfernung ist immer noch möglich. Wenn eine Behandlung noch nicht in Frage kommt, kommen Sie in einem Jahr zur Nachuntersuchung, und Sie können mit zahlreichen metastatischen Veränderungen rechnen. Bei der zweiten Nachuntersuchung wurde festgestellt, dass die Läsionen größer waren, so dass zu diesem Zeitpunkt eine chirurgische Resektion hätte durchgeführt werden müssen, ohne dass es zu einem Rezidiv oder einer Metastasierung gekommen wäre. Wenn die Läsion größer wird, können sich jetzt Krebszellen im Blut befinden, und dann ist das Risiko eines Rezidivs und einer Metastasierung höher.
Ich habe bei meiner Arbeit viele, viele weitere Fälle wie diesen erlebt.
Dieser Fall wurde zum Beispiel anderthalb Jahre später untersucht, und die Läsion hatte sich vergrößert.
Bei diesem Beispiel, das 4 Jahre lang beobachtet wurde, wuchs der Klumpen immer weiter.
Frühe Follow-up-Prüfung wird nicht verzögern die Krankheit, Follow-up festgestellt, dass die Läsion vergrößert oder andere Anzeichen von Bösartigkeit, sollte früh chirurgische Resektion werden
Einige Freunde fragen oft, was zu tun ist, wenn sie Lungenknötchen finden. Wenn das CT keine Anzeichen von Bösartigkeit zeigt, kann man sich entscheiden, z. B. diese kleinen Knötchen zu überprüfen, in drei Monaten oder sechs Monaten zu überprüfen, wenn das Knötchen größer geworden ist, eine frühzeitige Behandlung vorzunehmen, wenn es unverändert bleibt, kann man auch weiter nachverfolgen. Die Nachsorge führt nicht zu einer Metastasierung des Knotens, verzögert nicht die Behandlung, und bei nicht charakterisierbaren Knoten ist die Nachsorge das beste Mittel.
Einige meiner Freunde meinten, warum nicht gleich alle Knoten entfernen lassen? Weil nicht alle Knötchen bösartig sind, bösartig ist nur ein kleiner Teil, eine Operation wird nur bei bösartiger Tendenz empfohlen, und man muss die chirurgische Behandlung nicht übertreiben.
Lungenknoten können tatsächlich krebsartig sein, aber sie sind nicht immer krebsartig.
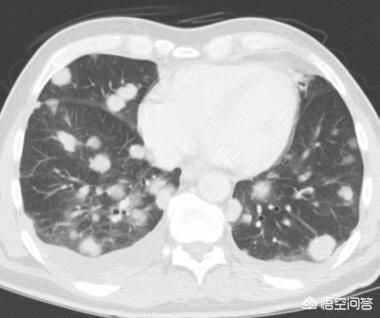
Lungenknötchen sind in erster Linie Verschattungen der Lunge ≤ 3 cm, sind sie > 3 cm, werden sie als Masse bezeichnet. Lungenknoten werden im Allgemeinen nach ihrer Dichte in solide und subsolide Knoten (d. h. Glasknötchen) eingeteilt. Lungenknoten können einzeln (d. h. einer) oder mehrfach (d. h. mehr als einer) vorkommen. Mit der Popularität der Mehrschicht-Spiral-CT wurden immer mehr asymptomatische Lungenknoten gefunden, und viele Menschen machen sich Sorgen, ob es sich dabei um Lungenkrebs handeln könnte, aber tatsächlich besteht kein Grund zur Sorge, die meisten von ihnen sind gutartig, und nur eine kleine Anzahl von ihnen ist Lungenkrebs.
Wie werden Lungenknötchen entdeckt?
Lungenknoten werden in der Regel durch eine Röntgenaufnahme (Thoraxröntgen) oder eine Computertomographie (CT) entdeckt, vor allem durch die CT, denn viele kleine Knoten sind auf einem Thoraxröntgenbild überhaupt nicht sichtbar und müssen durch eine Computertomographie des Thorax entdeckt werden. Das ist es, was sich viele Menschen in den Schlagzeilen fragen, warum bei den jährlichen Vorsorgeuntersuchungen nichts zu beanstanden ist und man plötzlich Lungenkrebs bekommt. Es wird davon ausgegangen, dass die körperliche Untersuchung mit einem Röntgenbild der Brust und nicht mit einem CT durchgeführt wurde. Wenn man zum Beispiel sehen will, ob es wesentliche Läsionen (Wucherungen) in der Leber oder den Nieren gibt, muss man einen Ultraschall oder ein CT machen, und wenn man Magen-Darm-Läsionen sehen will, muss man eine Gastroskopie oder eine Koloskopie machen, nicht nur Labortests wie Blut- und Urintests, sondern auch Labortests für viele Läsionen, die normal sein können. Um kleine frühe Läsionen in der Lunge oder präkanzeröse Läsionen, vor allem Glasknötchen, aufzuspüren, wird eine niedrig dosierte Spiral-CT empfohlen.
Was ist zu tun, wenn Sie einen Lungenknoten finden??
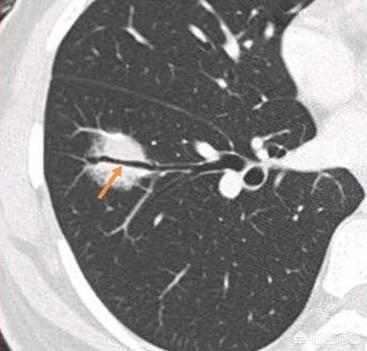
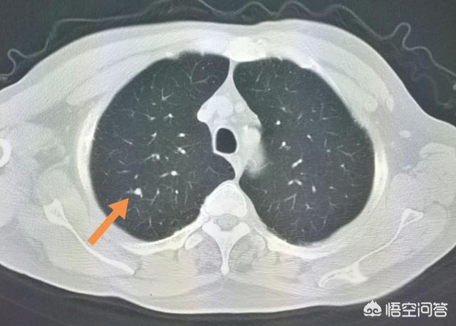
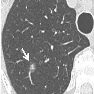
Der nächste Schritt bei der Entdeckung von Lungenknoten ist die Feststellung, ob sie gutartig oder bösartig sind. Gutartige Knoten sind definitiv nichts, wie z. B. Lymphknoten in der Lunge, missgebildete Tumore, sklerosierende Pneumozytome usw. Bösartige Knoten sollten aggressiv behandelt werden. Die verbleibenden Knoten können gut- oder bösartig sein, und das allgemeine Prinzip der Behandlung solcher Knoten besteht darin, eine Nachuntersuchung zu empfehlen, wobei der Zeitraum für die Nachuntersuchung je nach den Besonderheiten des Knotens (Morphologie, Größe, Dichte usw.) zwischen 3 Monaten und 1 Jahr liegt. Einige Knoten können sich während der Nachuntersuchung auflösen und verschwinden, wie z. B. entzündliche Knoten, während andere unverändert bleiben können, wie z. B. Granulome, was eine gute Information ist. Wenn bei der Nachuntersuchung bösartige Anzeichen auftreten, wie z. B. eine Vergrößerung des Knotens, eine Zunahme von echten oder festen Bestandteilen im Glasschliffknoten, eine Verdichtung des Knotens oder das Einwachsen von peripheren Blutgefäßen usw., dann sollten wir aggressiv dagegen vorgehen. In der Tat, genau wie der Blick auf die Menschen, ein Gesicht der Rechtschaffenheit ist in der Regel gute Menschen, wilde und bösartige schlechte Menschen, und einige vorübergehende kann nicht gesehen werden, nur durch die Beobachtung der Person, das Verhalten, wenn die Regeln sind in der Regel keine Angst vor, und wenn Sie feststellen, dass es ein schlechtes Verhalten sollte mit in einer fristgerechten Weise behandelt werden. Abbildung 1, fand die linke obere Lunge Glasschliffknötchen (orange Pfeil), Follow-up für mehr als zwei Jahren ohne Veränderung. Abbildung 2: Zwei kleine Glasschliffknötchen in der rechten oberen Lunge (orangefarbene Pfeile), die nach zwei Jahren verschwunden sind. Abbildung 3: Glasschliffknoten in der rechten oberen Lunge, der sich bei der dritten Nachuntersuchung vergrößert hat, und es wird empfohlen, ihn durch eine chirurgische Pathologie des Carcinoma in situ, d. h. der Krebsvorstufe, zu behandeln, um den Lungenkrebs wirklich im Keim zu ersticken.



Für wen wird die jährliche Niedrigdosis-CT-Lungenkrebsvorsorge empfohlen?
Jährliche Vorsorgeuntersuchungen werden für Personen mit hohem Lungenkrebsrisiko empfohlen. d.h.Alter ≥ 40 Jahre mit einer der folgenden Eigenschaften:① Rauchen ≥ 20 Schachteln/Jahr (oder 400 Zigaretten/Jahr), oder jemals geraucht, aber <15 Jahre aufgehört. ② Anamnese einer Umweltexposition oder einer beruflichen Exposition mit hohem Risiko (z. B. Asbest, Uran, usw.). Kombinierte chronisch-obstruktive Lungenerkrankung, diffuse Lungenfibrose oder Tuberkulose in der Vorgeschichte. Bösartiger Tumor oder Lungenkrebs in der Familiengeschichte.
Knockout:Die Entdeckung von Lungenknötchen sollte ernst genommen werden, aber es besteht kein Grund zur Sorge: Lungenknötchen können krebsartig sein, aber die meisten sind gutartig, und die Prognose von Lungenkrebs im Frühstadium oder von präkanzerösen Läsionen ist sehr gut, wenn sie frühzeitig entdeckt und behandelt werden.
Das bin ich.Filmdoktor C HaoWenn Sie an der Antwort interessiert sind, können Sie weitere verwandte Artikel lesen.
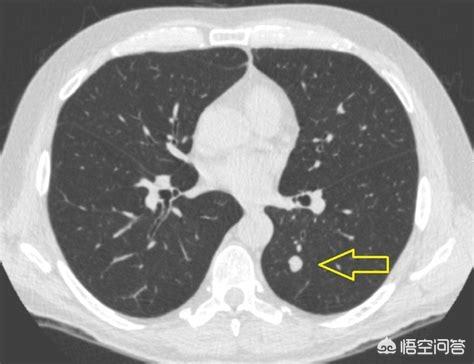
Apropos Knoten: Betrachten wir zunächst einen Fall von kleinen Knoten in der Lunge. Der Patient war erkältet und hustete, und bei einer CT-Untersuchung des Brustkorbs wurde ein Glasschliffknoten in der rechten Lunge festgestellt, und ein CT-Querschnittsbild des rechten Lungenoberlappens mit einer Schichtdicke von 1 mm zeigte einen teilweise soliden Knoten mit einer Größe von 6 mm, wobei der solide Anteil (Pfeile) weniger als 4 mm betrug. die Ränder waren klar, und der Patient wurde aufgrund der Anamnese als entzündlich eingestuft, und eine Überprüfung der Entzündung wurde empfohlen.
Nachfolgende CT-Aufnahmen nach 3 Monaten zeigten eine vollständige Rückbildung der Läsion, was auf eine gutartige Ätiologie hindeutet.

Dieser Fall zeigt, dass nicht alle kleinen Knoten in der Lunge bösartig sind und nicht alle zu Lungenkrebs werden.
Wie sieht also ein Knötchen aus, das sich zu Lungenkrebs entwickeln kann?
Kleine bösartige Knoten in der Lunge weisen oft typische Anzeichen von Bösartigkeit auf. Die Dichte innerhalb des Knotens ist oft ungleichmäßig, einige frühe Knoten werden glasig oder haben eine gemischte glasige Dichte, und in einigen der Knoten sind kleine Hohlräume zu sehen. Die Ränder sind noch typischer, da bösartige Knoten eine große Blutzufuhr für ihre Ernährung benötigen, so dass die Ränder oft mit kurzen Graten und kleinen Ansammlungen von Blutgefäßen, den so genannten vaskulären Clustern, infiltriert sind, die in unmittelbarer Nähe zu kleinen Gefäßen in kleinen Knoten zu sehen sind.
Wenn Sie in der Lunge verdächtige Knoten mit den oben genannten Anzeichen finden, sollten Sie ihnen große Aufmerksamkeit schenken, insbesondere den gemischten Gratknötchen, die rechtzeitig behandelt oder engmaschig nachverfolgt werden sollten. Es gibt auch das, was wir oft als Glasschliffknötchen bezeichnen, Glasschliffknötchen sollten auf der Grundlage der Dichte und der Ränder sowie der Größe des Durchmessers der Nachbeobachtungszeit und des Programms, wenn es sich um einen entzündlichen Knoten handelt, überprüft und verglichen werden, nachdem entzündungshemmende, um zu beobachten, ob es eine Resorption und Schrumpfung des Knötchens ändert. Wenn kleine Knoten in der Lunge gefunden werden, nicht nervös sein, je nach den spezifischen Manifestationen der Knoten, andere klinische Untersuchungen, um festzustellen, ob es notwendig ist, um die Untersuchung oder Follow-up.
Jeder hat irgendwelche Fragen willkommen, eine Nachricht unten zu verlassen, wenn Sie denken, es ist nicht schlecht, ich hoffe, Unterstützung zu loben, Sie jede Ermutigung ist meine Macht, vorwärts zu bewegen!
Eigentlich ist diese Frage nicht wissenschaftlich. Sie sollte lauten, welche Lungenknötchen Lungenkrebs sind und welche nicht. Das liegt daran, dass Lungenknötchen ein bildgebendes Konzept sind, während Lungenkrebs eine pathologische Diagnose der Krankheit ist.
In den letzten Jahren werden immer mehr Lungenknötchen entdeckt, da das Gesundheitsbewusstsein der Menschen zunimmt und die Untersuchungsmethoden immer besser werden. Man hat errechnet, dass etwa ein Drittel oder mehr der gesunden Menschen über 45 Jahre bei einer Thoraxaufnahme Knoten in der Lunge finden.
Es gibt viele Ursachen für Lungenknötchen, und die meisten der kleinen Lungenknötchen sind gutartig, außer bei Lungenkrebs. Bei diesen gutartigen Lungenknötchen handelt es sich hauptsächlich um Entzündungen der Lunge wie Infektionen, Tuberkulose und Pilze. Neben den gutartigen entzündlichen Knoten gibt es auch einige gutartige Tumore, die sich als Lungenknoten manifestieren, wie bösartige Tumore und Hämangiome. Wenn Sie einen Lungenknoten entdecken, sollten Sie daher herausfinden, was die Ursache dafür ist.
Da es sich bei einigen Lungenknoten um Frühmanifestationen von Lungenkrebs oder Lungentumoren handelt, d. h. der Tumor ist gerade erst gewachsen und die Knoten sind relativ klein, ist es schwierig festzustellen, ob sie gut- oder bösartig sind, so dass die Ärzte den Patienten bitten, sich zur Differenzialdiagnose einem Vorher-Nachher-Vergleich zu unterziehen und zu beobachten, ob sich das Wachstum der Knoten verändert.
Daher kann nicht gesagt werden, dass sich der Knoten zu Lungenkrebs entwickelt hat, sondern der Knoten kann selbst eine Krebsvorstufe oder ein Frühstadium von Lungenkrebs sein, und der Arzt muss ihn über einen bestimmten Zeitraum beobachten, um festzustellen, ob es sich um Lungenkrebs handelt oder nicht.
Nur wenige der bei der körperlichen Untersuchung entdeckten Lungenknötchen sind Lungenkrebs im Frühstadium, die meisten sind gutartige Läsionen. Bei den meisten gutartigen Lungenknoten handelt es sich um Lymphknoten, entzündliche Plaques und Proliferationsherde in der Lunge, die sich normalerweise nicht in Richtung Lungenkrebs entwickeln. AllerdingsEinige dieser atypischen adenomatösen hyperplastischen Läsionen haben das Potenzial, sich zu Lungenkrebs zu entwickeln, können aber auch für den Rest ihres Lebens unverändert bleiben.
Im Allgemeinen empfehlen wir bei winzigen Glasknötchen mit kleinen Läsionen und zu geringer Dichte eine kontinuierliche Nachsorge und Beobachtung. Es gibt jedoch einige Patienten, die das Risiko nicht in ihrem Körper behalten wollen und dringend eine operative Entfernung wünschen.。
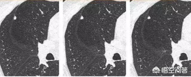
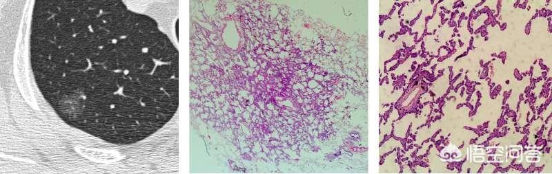
Typischerweise sind atypische adenomatöse Hyperplasie-Läsionen kleiner als 5 mm und relativ selten größer als 8 mm. Unten sehen Sie ein CT und die Pathologie einer 8 mm großen atypischen adenomatösen Hyperplasie.
Für Schliffknötchen, bei denen keine chirurgische Möglichkeit gesehen wird oder die sich im Stadium der atypischen adenomatösen Hyperplasie befinden können.Welche Erkrankungen in der Nachsorge erfordern eine sofortige Operation?? Der Filmleser sollte die Läsionen vorher und nachher sorgfältig vergleichen, und wenn sie sich alsDie Läsion ist etwas größer als die vorherige Läsion oder sogar etwas dichter, oder es wird festgestellt, dass ein Blutgefäß in die Läsion hineingewachsen ist.Auf dem Bild unten ist es zum Beispiel Zeit für eine Operation.
Darüber hinaus.Einige solide Knötchen, auch wenn sie sehr klein sind und die Merkmale der Läsion als gutartig gelten, müssen dennoch regelmäßig nach den Vorgaben des Arztes untersucht werden。
Ich hoffe, dass die obigen Informationen Ihnen helfen werden.
Willkommen, um @MedicalScienceDr Xu zu folgen
Ohne unangenehme Symptome fand die körperliche Untersuchung kleine Lungenknötchen, der 37-jährige Herr Zhang fing an, sich Sorgen zu machen, er dachte, er sei nicht weit von Lungenkrebs entfernt, aber sein Kind ging gerade in den Kindergarten, und seine Eltern sind alt und müssen versorgt werden, er wusste nicht, wie er sich verhalten sollte. Aber was Apotheker Wang zu sagen hat, ist, dass dies nicht der Fall ist.

Woher kommen die kleinen Lungenknötchen?
Die Gase, die aus Nase und Mund in die Lunge gelangen, enthalten Staub und andere Fremdkörper, die in der Regel von den Flimmerhärchen der Atemwege adsorbiert und in den Rachen transportiert werden, wo sie ein Fremdkörpergefühl auslösen, das durch Husten beseitigt wird. Die Flimmerhärchen können diese Partikel jedoch nicht zu 100 % entfernen, und einige kleine Partikel können sich in den Alveolen ablagern, wo sie von Immunzellen und Lymphozyten gefunden, "verarbeitet" und eingekapselt werden, so dass sie verkalkte Flecken oder Knötchen in der Lunge bilden.
Mit anderen Worten: Kleine Lungenknötchen bilden sich als normale physiologische Reaktion des Körpers.
Sind kleine Lungenknötchen = Lungenkrebs?
In der Tat gibt es Menschen, bei denen einige Jahre nach der Entdeckung kleiner Lungenknötchen Lungenkrebs diagnostiziert wird, aber werden sich kleine Lungenknötchen definitiv zu Lungenkrebs entwickeln? Die Antwort lautet eindeutig nein.
Die meisten Lungenknötchen werden in der Regel durch das Einatmen eines Fremdstoffs, z. B. eines Bakteriums oder Virus, beseitigt, der die Immunzellen in einer entzündlichen "Umhüllungs"-Reaktion mobilisiert. Bei allergisch bedingten Lungenknötchen kann sich schließlich ein gutartiger Tumor bilden. Zwar können sich 20 Prozent aller Lungenknötchen zu Lungenkrebs entwickeln, weil der von den Immunzellen eingekapselte Fremdkörper immer weiter wächst und genetische Veränderungen verursacht.
Es besteht jedoch die Möglichkeit, aber nicht zu 100 %, dass sich kleine entdeckte Lungenknötchen zu Lungenkrebs entwickeln können!

Wie sollten kleine Lungenknötchen behandelt werden?
Was ist also die wissenschaftlichste Art, auf einen kleinen Lungenknoten zu reagieren, wenn er entdeckt wird?
Zunächst wird ein professioneller Arzt die Charakterisierung vornehmen. Anhand der Größe und Form des Knötchens und des Gesamtzustands des Patienten wird der Arzt entscheiden, ob das Knötchen operativ entfernt oder nur beobachtet werden sollte. Im Allgemeinen müssen größere Knoten, die mehr als einen Zentimeter groß sind, haarige glasartige Knoten und gemischte Knoten dazwischen mit besonderer Sorgfalt beobachtet werden. Es ist auch wichtig, darauf zu achten, wenn der Patient in seiner Familie an Lungenkrebs erkrankt ist, in der Vergangenheit schon einmal einen Tumor hatte oder Langzeitraucher ist.
Zweitens, regelmäßiges Screening
Mehr als 90 % der Lungenknoten weisen keine auffälligen Symptome auf. Wenn der Patient Symptome wie Bluthusten, hohes Fieber und Schmerzen entwickelt, bedeutet dies, dass die Krankheit bereits zu Lungenkrebs oder einem fortgeschrittenen Stadium fortgeschritten ist. Daher sollten Menschen mit kleinen Lungenknoten, auch wenn sie keine Symptome haben, regelmäßig zur Früherkennung und Behandlung untersucht werden.

Ich bin Apothekerin Wang, die sich der Aufgabe verschrieben hat, das komplexe und schwierige Wissen über Krankheiten in einfachen Worten zu erklären, um Ihnen zu helfen, Ihren Körper zu managen. Ihr Lob ist meine größte Motivation! Wenn auch Ihre Familienmitglieder ähnliche Probleme haben, geben Sie diesen Artikel bitte an sie weiter!
Diese Frage beantworte ich gerne für Sie!
Können sich bei einer körperlichen Untersuchung entdeckte "Lungenknötchen" tatsächlich zu Lungenkrebs entwickeln?
Dieses Problem kann gesagt werden, um eine Menge Leute zu stören, gibt es eine Menge von seit der Entdeckung ihrer Lunge wuchs ein Knötchen, Tee und Reis, den ganzen Tag darüber nachzudenken, ob zur Operation zu gehen, um es zu schneiden, die Ergebnisse von allem, festgestellt, dass auch eine entzündliche Läsion oder ein abgestandenes Knötchen, vor langer Zeit, kurz vor der Einheit Wohlbefinden ist nicht so gut, nicht bieten ihnen die Vorteile der jährlichen ärztlichen Untersuchung!
Mit dieser Frage hoffe ich, denjenigen, die Knoten in der Lunge in ihrem Körper finden, einen Hinweis zu geben, dass wir eine chirurgische Entfernung von Lungenknoten keinesfalls empfehlen.Insbesondere der anfängliche CT-Befund eines plötzlichen Knötchens in der Lunge ist ohne Vergleichsgrundlage, und der klinische Schwerpunkt liegt eher auf einem Vorher-Nachher-Vergleich, ob der anfängliche Befund eines Lungenknötchens wahrscheinlich bösartig ist oder nichtEs ist, wie wenn Sie Ihre Freundin zum ersten Mal treffen, Sie wissen nicht, ob sie zugenommen oder abgenommen hat, und blind zu Schlussfolgerungen über sie zu diesem Zeitpunkt zu springen ist unbegründet und anfällig für Fehlinterpretationen! Daher für die erste körperliche Untersuchung gefunden Lungenknötchen, betonen wir, dass Sie nicht in Panik geraten dürfen, achten Sie auf regelmäßige Überprüfung, nicht überstürzen, um eine Operation zu tun, weil Sie einfach nicht wissen, wie lange die Knötchen falsch, kann für eine lange Zeit bestehen, oder es kann nur ein Symptom der Entzündung, entzündungshemmende nach dem Verschwinden sein.
der Grund dafürUm herauszufinden, ob es sich um Lungenkrebs handelt, müssen wir nicht nur die CT-Untersuchung des Brustkorbs betrachten, sondern auch die regelmäßige Beobachtung von Knotenveränderungen, Tumormarkern, Lungenkrebs-Antikörpern und die Gensequenzierung, also eine Reihe von Ergebnissen, um schließlich zu einer eindeutigen Diagnose zu gelangen.Es kann nur gesagt werden, dass die Möglichkeit besteht, dass sich die Knoten in der Lunge zu Lungenkrebs entwickeln, aber die Wahrscheinlichkeit ist nicht groß. Bei vielen Patienten mit Verdacht auf bösartige Veränderungen in den Lungenknoten, die sich einer Resektion unterzogen haben, stellt sich heraus, dass es sich bei mehr als der Hälfte der Bevölkerung nicht um Lungenkrebs im Frühstadium handelt!
Man kann mit Sicherheit sagen, dass achtzig Prozent der kleinen Lungenknötchen gutartig sind. Natürlich sollte bei einer kurzfristigen schnellen Vergrößerung und bei Knoten mit Graten ein dringender Verdacht auf Malignität bestehen. Bei durchscheinenden, geschliffenen Knötchen, die weniger als 8 mm groß sind, kann man sie beobachten, und eine kurzfristige Vergrößerung muss behandelt werden. Dies liegt daran, dass es sich um eine Krebsvorstufe handeln kann.
Übrigens bietet das Jiangsu Cancer Hospital jeden Dienstagnachmittag eine Spezialklinik für Lungenknoten an, in der Spezialisten aus den Bereichen Thoraxchirurgie, Strahlentherapie, Bildgebung und Chemotherapie zusammenkommen, um Patienten mit Knoten die bestmögliche Behandlung zukommen zu lassen.
Willkommen zu folgen meine Schlagzeile-Jiangsu Provincial Cancer Hospital Li Feng. Sie können privat chatten.
Diese Frage und Antwort sind von den Nutzern der Website, stellt nicht die Position der Website, wenn eine Verletzung, kontaktieren Sie bitte den Administrator zu löschen!