Brauche ich eine Behandlung für ein Leberhämangiom?
Brauche ich eine Behandlung für ein Leberhämangiom?
Dr. Cui sagte Ihnen, dass die Frage, ob ein Leberhämangiom behandlungsbedürftig ist oder nicht, von der Lage, der Größe und der Wachstumsrate des Hämangioms und anderen Faktoren des Patienten abhängt. Im Folgenden gebe ich Ihnen eine vierstufige Einführung in das Thema Leberhämangiome: 1. welche Leberhämangiome behandlungsbedürftig sind und welche Behandlungen zur Verfügung stehen; 2. welche Leberhämangiome nicht behandlungsbedürftig sind; 3. welche Symptome bei Leberhämangiomen auftreten; 4. wie die Früherkennung und Nachuntersuchung von Leberhämangiomen durchzuführen ist. Ich hoffe, meine Antwort kann Ihnen helfen.
In meiner klinischen Arbeit werde ich oft von meinen Klassenkameraden oder Freunden gefragt, was zu tun ist, wenn sie ein hepatisches Hämangiom haben, und die meisten von ihnen werden bei ärztlichen Untersuchungen entdeckt. Ich lese die Berichte und gebe geeignete Behandlungsstrategien für die spezifischen Bedingungen.
Welche hepatischen Hämangiome müssen also behandelt werden?
Wenn das Hämangiom in der Leber groß istDer Durchmesser hat 10 cm überschritten, und das vergrößerte Hämangiom übt Druck auf das umgebende Lebergewebe und andere Organe in der Bauchhöhle aus, was wiederum zu verschiedenen Kompressionssymptomen führt.Eine frühzeitige Behandlung empfiehlt sich auch bei Hämangiomen, die in kurzer Zeit schneller an Größe zunehmen. Aus diesem Grund werden regelmäßige Ultraschalluntersuchungen der Leber durchgeführt, um die Veränderungen des Hämangioms zu überwachen. Darüber hinaus wird eine Behandlung auch für Hämangiome empfohlen, die in der Nähe des Leberrandes wachsen. Denn Hämangiome in der Nähe des Leberrands können nach Reizen wie Schwankungen des eigenen Blutdrucks und Traumata aufplatzen und bluten, was schwerwiegende Folgen haben kann.

- Darüber hinaus.Wenn in der Vergangenheit ein kleineres Leberhämangiom bestand und bei der Überprüfung eine zu schnelle Wachstumsrate des Hämangioms festgestellt wird, mit einem plötzlichen Wachstum von 3-5 cm innerhalb weniger Monate, ist diese Wachstumsrate abnormalAußerdem muss es frühzeitig behandelt werden, denn wenn es weiter so wächst, kann es zu einer Ruptur und Blutung des Leberhämangioms kommen.
Welche Behandlungsmöglichkeiten gibt es für hepatische Hämangiome?
- Auch für Leberhämangiome gibt es eine Reihe von Behandlungsmöglichkeiten. Eine häufig angewandte Methode ist die Resektion von Leberhämangiomen.Wie der Name schon sagt, wird bei dieser Art von Operation der Teil der Leber entfernt, der das Hämangiom enthält, was auch die wirksamste und am häufigsten angewandte Methode zur Behandlung von Leberhämangiomen ist. Ich möchte Sie daran erinnern, dass das Leberhämangiom eine gutartige Erkrankung ist, die keine bösartigen Veränderungen hervorruft, aber im Verlauf der Behandlung kann eine Teilentfernung der Leber sehr wahrscheinlich zu Leberblutungen und anderen schwerwiegenden Komplikationen führen, und in schweren Fällen kann der Patient auf der Stelle sterben.

- Zu diesem Zeitpunkt der Patient als auch die Familie sind mit einer schweren Entscheidung konfrontiert, ob eine teilweise Hepatektomie durchzuführen, um hepatische Hämangiom Krankheit zu behandeln, um meine Direktor Worte zu nehmen, ist, dass diese Hämangiom Sie nicht schneiden, wenn Sie nicht nichts in Ihrem Leben haben kann.Bei einem chirurgischen Eingriff besteht jedoch die Gefahr des Todes aufgrund von Blutungen. Dieses hepatische Hämangiom muss jedoch chirurgisch behandelt werden, und es besteht das Risiko einer Ruptur und Blutung, wenn es nicht behandelt wird.
- Ich erinnere mich, dass letztes Jahr zwei Patienten mit riesigen Hämangiomen in einem Monat kamen, und beide hatten mehrere, und das größte hatte einen Durchmesser von mehr als 15 cm, und beide litten unter Blähungen und Magersucht usw. Nachdem wir sie über die Risiken von Hämangiomen und die Risiken einer Operation aufgeklärt hatten, entschieden wir uns schließlich für die chirurgische Behandlung, und die Operation war sehr erfolgreich, und auch die postoperative Erholung war gut. Glücklicherweise verlief die Operation erfolgreich und die postoperative Genesung war ebenfalls gut.

- Diese Leberteilresektion zur Behandlung von Leberhämangiomen ist nach wie vor eine schwierige und riskante OperationDer Grund dafür ist, dass ein Hämangiom in der Leber ständig auf die umliegende Leber drückt und dass das Hämangiom mit Blut gefüllt ist und, wenn es reißt, unkontrolliert bluten kann. Wenn das Hämangiom groß ist und ein einzelnes Hämangiom ist, das am seitlichen Rand der Leber wächst, kann die Leber daher auf dieser Seite der Leber reseziert werden.Dieses Verfahren ist relativ einfach und birgt weniger Risiken und Komplikationen.
- Wenn das hepatische Hämangiom groß ist und mehr als die Hälfte der Leber einnimmt, muss je nach der Funktion der gesunden Leber entschieden werden, ob eine chirurgische Behandlung durchgeführt werden soll oder nicht.Die Operation muss mit Vorsicht durchgeführt werden, wenn die verbleibende Leber schlecht funktioniert oder nicht in der Lage ist, den Stoffwechsel des Körpers zu bewältigen. Da einige Patienten, die sich einer Hepatektomie unterziehen, eine unzureichende Leberfunktion aufweisen und Anzeichen eines Leberversagens zeigen, ist es wichtig, dass vor der Operation eine angemessene Untersuchung durchgeführt wird.

- Darüber hinaus.Es gibt auch ein präziseres und einfacheres Verfahren zur Behandlung von Hämangiomen in der Leber, nämlich die Ligatur oder Embolisation der Arterien, die die Leber mit Blut versorgen.Bei diesem Verfahren wird die Leber nicht entfernt, so dass es für den Patienten weniger traumatisch ist und unter lokaler Anästhesie durchgeführt werden kann. Diese Art der Operation ist jedoch im Allgemeinen Patienten mit mehreren Leberhämangiomen vorbehalten. Die Blockierung eines Teils der Blutgefäße in der Leber ist vergleichbar mit dem Abschneiden des Oberlaufs eines Flusses, so dass das darunter liegende Reservoir nicht mehr durchströmt wird und schrumpft - das ist das Prinzip dieses chirurgischen Ansatzes.

- Nach der Blockierung der Blutgefäße, die das Leberhämangiom versorgen, muss natürlich dieObwohl hepatische Hämangiome scheinbar schrumpfen und sich verkleinern können, besteht weiterhin die Möglichkeit von Komplikationen im Zusammenhang mit dieser Pathologie, da die Blutgefäße weiterhin vorhanden sind.Daher kann nach dem Verschluss der Blutgefäße in der Leber eine Strahlentherapie eingesetzt werden, um das Hämangiom weiter zu verhärten, was die doppelte Wirkung hat, das Risiko eines Wiederauftretens und einer Blutung des Hämangioms zu verringern.
- Hepatische Hämangiome sind definitiv eine schlechte Nachricht für schwangere Frauen.Vor allem bei schwangeren Frauen mit großen Hämangiomen besteht, wenn das Hämangiom nicht rechtzeitig entfernt wird, die Gefahr, dass es während der Schwangerschaft reißt und blutet, so dass eine frühzeitige Entfernung des Hämangioms empfohlen wird. Hat das Hämangiom außerdem bereits das Spätstadium der Schwangerschaft erreicht, besteht die größte Gefahr, dass es während der Geburt reißt und blutet, so dass in diesem Fall je nach Situation eine chirurgische Behandlung erforderlich ist.

Welche Hämangiome müssen nicht behandelt werden?
Erstens.Bei relativ kleinen Hämangiomen, z. B. unter 10 cm, ist ein chirurgischer Eingriff nicht erforderlich, und auch sonst nicht.Wenn das Hämangiom im Inneren der Leber und nicht in der Nähe des Leberrands wächst und der Patient keine offensichtlichen Beschwerden hat, kann zunächst eine klinische Beobachtung und Behandlung erfolgen, und durch eine halbjährliche oder jährliche Ultraschalluntersuchung der Leber kann eine kontinuierliche und dynamische Beobachtung der Veränderungen des Hämangioms erreicht werden. So kann festgestellt werden, ob sich das Hämangiom abnormal manifestiert, und der nächste Behandlungsschritt kann eingeleitet werden.

Was sind die Symptome eines hepatischen Hämangioms?
Eigentlich.Die überwiegende Mehrheit der Menschen mit hepatischen Hämangiomen ist klinisch nicht auffällig, und viele erleben nach der Entdeckung eines hepatischen Hämangioms keine wesentlichen Veränderungen in ihrem Leben.Die überwiegende Mehrheit der Patienten mit hepatischen Hämangiomen wird im Rahmen von Vorsorgeuntersuchungen oder Untersuchungen auf andere Krankheiten entdeckt. Machen Sie sich also nicht zu viele Sorgen. Leberhämangiome haben einen kleinen Durchmesser, und regelmäßige Untersuchungen sind in Ordnung.
- Aber.Einige klinische Manifestationen können auftreten, wenn das Hämangiom groß ist oder am Rand der Leber wächst.Die erste und häufigste Erscheinung ist, dass man eine Schwellung im Bauchraum ertasten kann, die sich von einer gewöhnlichen Bauchschwellung unterscheidet und sich weich anfühlt, als würde man einen Luftballon berühren. Interessant ist auch, dass man, wenn man ein Stethoskop in die Hand nimmt oder sein Ohr in die Nähe des Bauches hält, sogar das Geräusch des Blutflusses im Inneren hören kann.

- Da die Leber an den Verdauungsfunktionen des Körpers beteiligt ist, kann das Hämangiom in der Leber, wenn es sich vergrößert und die Funktion der Leber weiter beeinträchtigt, auch abnorme Erscheinungen im Verdauungstrakt des Körpers verursachen.Zunächst einmal ist das erste Symptom der meisten Patienten mit hepatischen Hämangiom abdominale Distension und Schmerzen, aber dieses Gefühl ist in der Regel nicht sehr stark, stattdessen sind die Verdauungs-Symptome offensichtlicher, wie Appetitlosigkeit, nicht wollen, um zu essen oder sogar ein Gefühl der Fülle nach dem Essen sehr wenig Mahlzeit, darüber hinaus werden einige Patienten auch Übelkeit, Erbrechen und andere Manifestationen haben.
- Wenn sich das hepatische Hämangiom weiter vergrößert, kann es auf die Speiseröhre des Körpers drücken, was zu Schluckbeschwerden nach dem Essen führt, und wenn das hepatische Hämangiom auf die umliegenden Gallengänge drückt, führt dies zu einem schlechten Abfluss der Galle und dem Auftreten von Stagnation.Diese Zeit kann auch dazu führen, dass der Patient zu entwickeln, Gelbsucht sowie die Symptome der biliären System-Infektion, und mehr ernst, die vergrößerte hepatische Hämangiom komprimiert die Pfortader der Leber, die wie Leberzirrhose, was der Patient zu entwickeln, die Manifestation der Aszites, etc. Daher, wenn die hepatische Hämangiom gefunden wird, um das Symptom, der Patient muss sich einer chirurgischen Behandlung so früh wie möglich.

- Endlich.Am schwerwiegendsten ist es, wenn das Hämangiom reißt und blutet; in diesem Fall kann es zu starken Schmerzen im Unterleib kommen.Dann kommt es aufgrund des Blutverlustes bald zu Schwäche und blasser Haut, was äußerst gefährlich ist und, wenn es nicht rechtzeitig erkannt wird, wahrscheinlich zum Tod des Patienten führt.
Darüber hinaus wird erläutert, wie hepatische Hämangiome erkannt und untersucht werden können.
Als erstes empfehle ich eine Ultraschalluntersuchung der Leber, mit der die meisten Leberhämangiome entdeckt werden können, auch wenn sie nur einen kleinen Durchmesser haben.Darüber hinaus ist die Ultraschalluntersuchung der Leber bei der Diagnose von Hämangiomen immer noch genauer. Die Ultraschalluntersuchung der Leber ist preiswerter und kosteneffizienter und kann die Anforderungen der meisten Menschen an die körperliche Untersuchung sowie die Überprüfung erfüllen, so dass es sich für jeden lohnt, sie zu nutzen.

- Die CT der Leber kann sowohl die Anzahl als auch die Größe von Leberhämangiomen deutlicher zeigen und ist dem Leberultraschall überlegen.Bei Patienten, bei denen im Leber-Ultraschall hepatische Hämangiome festgestellt wurden, kann eine weitere CT-Untersuchung der Leber durchgeführt werden, um die Anzahl, Größe und Lage der Hämangiome usw. zu klären, insbesondere eine erweiterte CT-Untersuchung der Leber, um die Diagnose zu klären.
Zusammenfassungen
Das Leberhämangiom ist ein sehr häufiger gutartiger Tumor der Leber, der nur selten relevante Symptome aufweist und daher meist bei der körperlichen Untersuchung entdeckt wird. Bei einem Leberhämangiom muss jedoch auf der Grundlage einer umfassenden Bewertung der Größe und Lage des Hämangioms entschieden werden, ob eine chirurgische Behandlung durchgeführt werden soll, und die meisten Patienten mit einem Leberhämangiom benötigen keine Behandlung. Die meisten Patienten mit Leberhämangiomen benötigen keine Behandlung. Außerdem ist die partielle Hepatektomie die wichtigste Behandlungsmethode für Leberhämangiome, aber die chirurgischen Risiken sind hoch, so dass sie für die Patienten eine schwierige Entscheidung darstellt. Natürlich ist auch die Embolisation der Leberarterien eine Option, aber die Behandlung ist nicht so wirksam wie die Leberresektion.Ein hepatisches Hämangiom kann Symptome wie Blähungen und Schmerzen im Bauchraum und eine eingeschränkte Verdauungsfunktion aufweisen. Darüber hinaus wird Patienten, die keine Behandlung für ein Leberhämangiom benötigen, empfohlen, den Zustand des Tumors regelmäßig zu überprüfen und sich frühzeitig behandeln zu lassen, wenn der Tumor zu schnell wächst.
Das hepatische Hämangiom ist der häufigste gutartige Tumor der Leber. Hepatische Hämangiome treten am häufigsten als Einzeltumore auf, und etwa 10 % können multipel sein, wobei die linke und die rechte Leber etwa gleich häufig betroffen sind. Die Ursache für die Bildung von Hämangiomen ist nicht bekannt, und man nimmt an, dass sie auf eine abnorme Entwicklung der intrahepatischen Gefäßstrukturen zurückzuführen sind und auch mit dem Östrogenspiegel in Zusammenhang stehen.
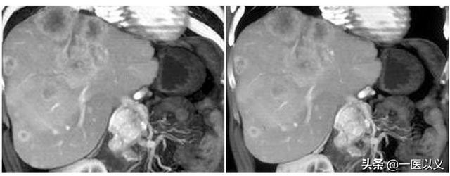
Bei der obigen Aufnahme handelt es sich um ein CT-Bild eines Leberhämangioms mit einem Schatten geringer Dichte im rechten Leberlappen mit klaren Rändern und progressiver Anreicherung vom Rand zur Mitte nach der Anreicherung.
Was sind die klinischen Symptome eines Leberhämangioms? Welche Tests können durchgeführt werden, um es zu erkennen?
Das hepatische Hämangiom wächst langsam, und der Krankheitsverlauf kann sich über mehrere Jahre hinziehen. Der Tumor ist meist rund, wenn er klein ist, aber wenn er groß ist, kann er oval oder unregelmäßig geformt sein und in Richtung der Leberoberfläche vorstehen.Hepatische Hämangiome haben keine klinischen Symptome, wenn sie klein sind. Wenn sie an Größe zunehmen, äußern sie sich vor allem durch eine große Leber oder Druck auf den Magen, den Zwölffingerdarm und andere Nachbarorgane.Sie verursachen Symptome wie Unwohlsein im Oberbauch, Blähungen, Aufstoßen und Bauchschmerzen.
Körperliche Untersuchung: Größere hepatische Hämangiome können als abdominale, an der Leber anhaftende Masse erscheinen, die glatt, weich, zystisch und in unterschiedlichem Maße komprimiert ist und manchmal lobuliert sein kann.
Abhängig von der klinischen Präsentation können Ultraschall, CT, MRT oder Leberarteriographie durchgeführt werden. Beim Ultraschall muss der Blutfluss beobachtet werden, der dazu neigt, leicht hypoechoisch zu werden. CT und MRT müssen verstärkt werden, um den Grad und die Art der Anreicherung zu beobachten.
Ist ein hepatisches Hämangiom behandlungsbedürftig?
Kleine, asymptomatische Hämangiome bedürfen keiner Behandlung, und Ultraschalluntersuchungen können alle 3-6 Monate durchgeführt werden, um Veränderungen des Hämangioms dynamisch zu beobachten.
Im Allgemeinen kann ein Tumor mit einem Durchmesser von mehr als 10 cm oder mit einem Durchmesser von 5 bis 10 cm, der sich am Rand der Leber befindet, bei dem die Gefahr einer traumatischen Ruptur besteht, oder bei dem offensichtliche Symptome auftreten, je nach Ausmaß der Läsion durch eine Leber- und Gallenblasenoperation behandelt werden, aber natürlich auch durch eine interventionelle Therapie oder eine Ablationstherapie, je nach individueller Situation.
Zusammenfassend lässt sich sagen, dass es sich bei Leberhämangiomen um gutartige Läsionen handelt, die nicht psychisch belastet werden sollten, wenn sie bei einer Untersuchung entdeckt werden.Kleine Hämangiome können regelmäßig überprüft werden und müssen nur behandelt werden, wenn sie besonders groß sind oder klinische Symptome aufweisen.
Das hepatische Hämangiom ist ein häufiger gutartiger Lebertumor, der auch als hepatisches kavernöses Hämangiom bezeichnet wird und dessen Ursache noch nicht geklärt ist; es kann auf eine angeborene Entwicklungsanomalie, eine Gefäßreizung, eine Gefäßinfektion und -deformation zurückzuführen sein. Das Wachstum des hepatischen Hämangioms steht in engem Zusammenhang mit den Geschlechtshormonen, so dass es häufiger bei Frauen auftritt, und die einschlägigen Statistiken zeigen, dass die Inzidenzrate von Männern und Frauen 1:6 beträgt. Es kann sich um multiple oder einzelne Hämangiome handeln, wobei multiple Hämangiome am häufigsten vorkommen.

Kleine Leberhämangiome (<5 cm): können keine Symptome aufweisen und werden oft unbeabsichtigt durch Ultraschall oder CT bei der körperlichen Untersuchung entdeckt. Großes Leberhämangiom (>5 cm): Da es aus der Leberoberfläche herausragt oder auf die umliegenden Organe drückt, kann es im Oberbauch zu Blähungen und Beschwerden kommen. Außergewöhnlich große Hämangiome (>10 cm): Eine Masse kann in der Leberregion tastbar sein, verbunden mit Symptomen einer Leberkompression, wie z. B. Blähungen im Bauchraum und Leberfunktionsstörungen. Übermäßig große Hämangiome können bei Trauma oder Kompression platzen und bluten.

Sollte ich mein Leberhämangiom behandeln?
Bei Durchmessern von weniger als 5 cm ist keine Behandlung erforderlich, wenn keine Symptome auftreten. Alle 3 bis 6 Monate sollte eine Ultraschalluntersuchung der Bauchhöhle durchgeführt werden, um die Veränderungen des Hämangioms dynamisch zu beobachten. Bei Leberhämangiomen mit einem Durchmesser von mehr als 10 cm wird eine chirurgische Behandlung in Betracht gezogen, unabhängig davon, ob Symptome vorhanden sind oder nicht. Allerdings sollten auch das Alter des Patienten, sein Allgemeinzustand und die Wachstumsrate des Hämangioms selbst berücksichtigt werden. Wenn der Patient ein fortgeschrittenes Alter hat, mehrere systemische Grunderkrankungen aufweist und das Wachstum des Hämangioms sehr langsam ist, besteht keine Dringlichkeit für eine chirurgische Behandlung, da das Hämangiom selbst diesem Teil des Patienten keinen großen Schaden zufügt, stattdessen ist das chirurgische Risiko höher; wenn der Patient relativ jung ist, das Hämangiom schnell wächst oder die Masse sich in der Nähe einer wichtigen Leitung befindet, und wenn das Wachstum des Hämangioms zugelassen wird, was offensichtliche nachteilige Auswirkungen auf eine zukünftige chirurgische Resektion hat, kann eine chirurgische Resektion eine chirurgische Resektion in Betracht gezogen werden. Bei Hämangiomen mit einer Größe von 5-10 cm, wenn Symptome einer abdominalen Distension auftreten oder wenn das Wachstum an einer ungünstigen Stelle stattfindet, wie z. B. bei hepatischen Hämangiomen, die sich am Rand der Leber befinden und durch ein Trauma reißen und bluten können, oder wenn die psychische Belastung zu groß ist, wäre es am besten, sich ebenfalls einer chirurgischen Behandlung zu unterziehen. Frauen im gebärfähigen Alter, die eine Schwangerschaft planen, können sich bei 5-10 cm großen Hämangiomen auch vor der Schwangerschaft einer chirurgischen Behandlung unterziehen, um zu verhindern, dass der übergroße Fötus das Leberhämangiom im zweiten Trimester quetscht.

Das hepatische Hämangiom ist eine gutartige Erkrankung, die nicht krebsartig ist und geheilt werden kann. Zu den Behandlungsmethoden gehören: 1. die Resektionsoperation, bei der der Tumor direkt entfernt wird; 2. die Leberarterienligatur, bei der die arteriellen Gefäße, die den Tumor mit Blut versorgen, ligiert werden, um dem Hämangiom die Blutversorgung zu entziehen; 3. die interventionelle Leberarterienembolisation, bei der der Tumor durch Blockieren der arteriellen Gefäße, die den Tumor mit Blut versorgen, ausgehungert wird; und 4. die Radiofrequenzablation, bei der der Tumor durch hohe Temperaturen verbrannt wird. Unter diesen Methoden ist die Wirkung der chirurgischen Behandlung gründlicher und wird im Allgemeinen als erste Wahl bevorzugt, und heutzutage verwenden die meisten von ihnen die Lumpektomie, die weniger traumatisch ist.

Ein hepatisches Hämangiom entsteht, wenn sich erweiterte Blutgefäße auf der Leberoberfläche winden und eine Masse bilden. Diese Art von "Tumore"Es ist in der Regel gutartig und verursacht in der Regel keine Symptome. Tatsächlich wissen viele Menschen nicht einmal, dass sie ein hepatisches Hämangiom haben. Oft erfahren die Menschen zufällig von einem Leberhämangiom, wenn sie sich einer körperlichen Untersuchung unterziehen oder sich wegen einer anderen Erkrankung untersuchen lassen. Und selbst wenn die Diagnose eines Leberhämangioms gestellt wurde, brauchen die meisten Patienten keine Behandlung.
Die Ursache für hepatische Hämangiome ist nicht bekannt, und es wird allgemein gesagt, dass sie bei Frauen häufiger vorkommen als bei Männern. Es gibt eine gewisse genetische Komponente. Die Einnahme bestimmter Medikamente wie Steroidtherapie, Östrogentherapie und Schwangerschaft kann ein bestehendes Leberhämangiom wachsen lassen.
Wie bereits erwähnt, sind Leberhämangiome grundsätzlich gutartig und verursachen keine Symptome, so dass die meisten Leberhämangiome im Allgemeinen nicht behandelt werden müssen. Wenn der Tumor eines Leberhämangioms jedoch relativ groß ist, kann er platzen und Blutungen verursachen, oder es besteht sogar die Gefahr von Blutungen, so dass einige wenige Patienten behandelt werden müssen. Behandlungsbedürftig sind: Patienten mit Tumoren, die größer als 5 cm sind; Patienten mit großen Tumoren, die sich am Rand der Leber befinden und zur Ruptur neigen; Patienten mit Tumoren, die nicht groß sind, aber aufgrund ihrer Lage Schmerzen im Bereich der Leber oder Druck auf den Verdauungstrakt und die Gallenwege verursachen; oder Patienten, die sich nicht ganz sicher sind, dass es sich um Leberhämangiome handelt, aber vermuten, dass es sich um andere Tumoren handeln könnte.
Die Behandlung von Leberhämangiomen umfasst chirurgische und andere minimalinvasive Verfahren. Die traditionelle Behandlung ist die Operation, aber natürlich kann das Hämangiom mit dem heutigen Stand der Technik auch laparoskopisch entfernt werden, was weniger invasiv ist. Weitere minimalinvasive Behandlungsmethoden sind die interventionelle Embolisation und die Radiofrequenzablation. Es gibt auch einige Berichte über hepatische Hämangiome, die mit Strahlentherapie behandelt werden können.
Daher ist die Entdeckung eines Leberhämangioms bei der körperlichen Untersuchung kein Grund zur Beunruhigung, und wenn der Tumor nicht groß ist, kann man sich im Allgemeinen mit einer regelmäßigen Untersuchung begnügen.
Ein hepatisches Hämangiom bezieht sich in der Regel auf ein kavernöses Hämangiom in der Leber und ist der häufigste gutartige Tumor in der Leber. In der Regel ist keine Behandlung erforderlich, und nur ein sehr geringer Prozentsatz muss behandelt werden.
Man geht davon aus, dass kavernöse Hämangiome meist aus einer abnormalen angeborenen Gefäßentwicklung in der Leber entstehen, die in einer tumorartigen Wucherung gipfelt. Es handelt sich dabei um eine unregelmäßige Ansammlung von abnorm wuchernden Blutgefäßen. Der Tumor ist weich, mit vielen kleinen Löchern auf der Schnittfläche, wie eine Bienenwabe, mit Blut gefüllt, komprimierbar und schwammartig, weshalb er auch als kavernöses Hämangiom bezeichnet wird.

Das kavernöse Hämangiom entwickelt sich langsam und kann sich über Jahrzehnte hinziehen, manche wachsen lange Zeit nicht und manche hören nach einer gewissen Zeit auf zu wachsen. Die höhere Inzidenz bei Frauen kann mit dem hohen Östrogen- und Progesteronspiegel im Körper zusammenhängen, insbesondere bei Frauen im Alter von 30-50 Jahren.
Die überwiegende Mehrheit der kavernösen Hämangiome hat keine Symptome. In seltenen Fällen treten Symptome auf, wenn der Tumor selbst relativ groß ist oder sich plötzlich vergrößert und direkt oder indirekt auf die umliegenden Gewebe und Organe drückt, z. B. Beschwerden im Bereich der Leber, Schmerzen im rechten Oberbauch, Appetitlosigkeit, Übelkeit usw.
Bei einigen kavernösen Hämangiomen besteht die Gefahr einer Ruptur und Blutung, vor allem wenn sie in der Nähe des Leberrandes wachsen, insbesondere bei Kindern und Schwangeren. Erstere sind aktiver, können sich aber nur schlecht selbst schützen, während letztere aufgrund des erhöhten intraabdominalen Drucks während der Schwangerschaft ein erhöhtes Risiko für Rupturen und Blutungen haben. Dr. C. Hao hat in den letzten zehn Jahren viele kavernöse Hämangiome unterschiedlicher Größe gesehen, aber keinen einzigen Fall von Ruptur und Blutung, und in der Literatur sind nur sehr wenige Fälle beschrieben.
Die meisten kavernösen Hämangiome werden zufällig bei der körperlichen Untersuchung per Ultraschall entdeckt. Typische Läsionen haben charakteristischere Bilder auf Ultraschall, CT und MR, und eine qualitative Diagnose ist nicht schwierig. Bei der Ultraschall- und CT-Anreicherung sind sie typischerweise "early out and late in", und beim MR-Scan T2 ist ein "Glühbirnenzeichen" zu erkennen (siehe unten).

Die Notwendigkeit einer Behandlung von kavernösen Hämangiomen hängt vor allem davon ab, ob offensichtliche klinische Symptome vorliegen, von der Lage und Größe des Tumors und von der Wachstumsgeschwindigkeit.Wenn der Tumor <5 cm groß und symptomlos ist, ist keine Behandlung erforderlich und eine Nachsorge ausreichend. Eine Nachsorge ist auch bei Tumoren zwischen 5-10 cm und ohne Symptome möglich. Bei Patienten mit erheblichen Symptomen, schnellem Tumorwachstum (1-2 cm/Jahr) und Tumoren von mehr als 10 cm kann eine weitere Behandlung in Betracht gezogen werden.
Es gibt zwei Hauptmethoden der Behandlung. Die häufigste und wirksamste ist die chirurgische Resektion, mit der das Ziel der Eradikation erreicht werden kann, allerdings mit dem Nachteil eines größeren Traumas. Die andere ist die interventionelle Therapie, bei der durch die Injektion von Medikamenten über einen transvaskulären oder perkutanen Eingriff eine Verhärtung und Nekrose des Tumors erreicht werden kann, mit dem Nachteil eines möglichen Wiederauftretens und dem Risiko schwerer Komplikationen.
Machen Sie sich keine Sorgen, wenn Sie kavernöse Hämangiom der Leber zu finden, ist es eine sehr häufige gutartige Läsion, die Entwicklung ist sehr langsam, die überwiegende Mehrheit der Behandlung ist nicht notwendig, wenn Sie eine Behandlung benötigen, müssen Sie streng erfassen die Indikationen für die Operation, die allgemeine Prognose ist sehr gut.
Ich bin @ShadowMedicineCho und kann verfolgt werden, um mehr über verwandte Medizin zu erfahren.
Ich bin Dr. Little Shadow. Brauche ich eine Behandlung für ein Leberhämangiom? Viele, viele Freunde haben diese Frage gestellt. Leberhämangiome kommen sehr häufig vor und sind gutartige Tumore der Leber. Die meisten von ihnen werden durch eine körperliche Untersuchung entdeckt und bedürfen keiner Behandlung. Ob ein Leberhämangiom behandelt werden muss, hängt von den klinischen Symptomen und der Größe des Hämangioms ab.
Was ist ein hepatisches Hämangiom?
Ein hepatisches Hämangiom ist nicht dasselbe wie eine Leberzyste. Eine Leberzyste ist ein Wassersack, während ein Hämangiom, wie der Name schon sagt, eine Blutlache ist, die mit Blut und nicht mit Wasser gefüllt ist. Hepatische Hämangiom hat typische Merkmale auf CT-Anreicherung, 95% der Läsionen können durch CT oder Magnetresonanz-Anreicherung diagnostiziert werden, muss Hämangiom tun Anreicherung, um die Diagnose zu bestätigen Oh.
Es gibt keine Möglichkeit, hepatische Hämangiome nur mit einem CT-Scan zu diagnostizieren, da hepatische Hämangiome und hepatozelluläre Karzinome auf einem Scan die gleiche Morphologie aufweisen und nur mit Hilfe von Enhancement der Unterschied zwischen den beiden dargestellt werden kann.
Unten ist das größte hepatische Hämangiom, das ich je gesehen habe, 16 cm groß, 54-jährige Frau, die wegen epigastrischer Schmerzen behandelt wurde.
Brauche ich eine Behandlung für ein Leberhämangiom?
Das Leberhämangiom ist ein sehr häufiger gutartiger Tumor der Leber. Kleine Hämangiome sind asymptomatisch und können unbehandelt bleiben, da viele Menschen sie durch eine zufällige körperliche Untersuchung entdecken. In der Tat müssen die meisten klinisch festgestellten Leberhämangiome nicht behandelt werden, und es kann eine regelmäßige Überprüfung vorgenommen werden, die alle sechs Monate bis zu einem Jahr mit einer Ultraschalluntersuchung durchgeführt werden kann. Bei der Überprüfung kann das Hämangiom wachsen, aber das ist kein Zeichen für eine bösartige Umwandlung, so dass man nicht allzu nervös sein muss.
Die schwerwiegendste Komplikation eines Leberhämangioms ist die Ruptur und Blutung. Die schwerwiegendste Komplikation bei großen Hämangiomen, die nicht behandelt werden, ist die Ruptur des Hämangioms, das wie eine Blutlache in der Leber ist, die leicht platzen kann, und bei der jederzeit Lebensgefahr besteht, wenn nicht rechtzeitig gerettet wird.
Große Hämangiome sind solche, die größer als 5 cm sind und Symptome aufweisen, die mit einer erheblichen Kompression einhergehen, wie z. B. Schmerzen in der Leberregion, Leberfunktionsstörungen und Hämangiome am Rand der Leber. Weibliche Patienten wie die oben genannte, die Symptome haben und 16 cm groß sind, müssen aktiv behandelt werden.
In meiner Arbeit habe ich festgestellt, dass die meisten Menschen mit Leberhämangiomen <5 cm asymptomatisch sind. Trotz der Tatsache, dass es viele Hämangiome in der Leber gibt, muss sich keiner von ihnen zu viele Sorgen machen oder übermäßig behandelt werden, sondern sich entspannen, mit dem Rauchen aufhören und den Alkoholkonsum einschränken, früh zu Bett gehen und früh aufstehen und gute Lebensgewohnheiten entwickeln.
Das bin ich.Dr. SchattenBitte folgen Sie mir, wenn Sie mehr über Medizin erfahren möchten.
Das hepatische Hämangiom ist ein gutartiger Tumor, der in den Blutgefäßen der Leber auftritt und die häufigste Form eines gutartigen Tumors der Leber darstellt. Einigen Studien zufolge liegt die Prävalenz der Erkrankung in der Bevölkerung bei etwa 0,4-20,0 %. Die Erkrankung tritt häufig bei Frauen mittleren Alters auf und ist meist solitär. Es handelt sich um einen gutartigen Tumor, der langsam wächst, manchmal über mehrere Jahre hinweg, ohne dass sich seine Größe wesentlich verändert. Im Allgemeinen ist der Tumor klein und verursacht keine offensichtlichen Beschwerden, aber wenn er an Größe zunimmt, kann er auf die benachbarten Gewebe und Organe drücken und Symptome verursachen.

Was kann man gegen Leberhämangiome tun?
Leberhämangiome werden meist durch abdominale Ultraschalluntersuchung (Ultraschall), Oberbauch-CT, MRT und hepatische arterielle Angiographie entdeckt, da sie keine spezifischen klinischen Manifestationen aufweisen.Derzeit wird die Krankheit unter anderem unter folgenden Bedingungen behandeltIm Allgemeinen können kleine Tumore (maximaler Tumordurchmesser <5cm), Hämangiome ohne offensichtliche Kompressionssymptome und ohne Vermischung mit anderen bösartigen Lebertumoren vorerst unbehandelt bleiben und können in Abständen von 3-6 Monaten erneut untersucht werden, um die Größenveränderungen zu beobachten, und wenn festgestellt wird, dass sie schneller wachsen, muss aktiv in die Behandlung eingegriffen werden. (b) Bei Tumoren mit einem maximalen Durchmesser von mehr als 10 cm, bei Tumoren mit einem maximalen Durchmesser von 5-10 cm, die sich jedoch am Rand der Leber befinden, bei Tumoren mit einem maximalen Durchmesser von 3-5 cm, die mit offensichtlichen Symptomen einhergehen, und bei Tumoren, bei denen das Risiko einer Ruptur besteht, ist ein aktiver Eingriff erforderlich. Zu den derzeitigen Eingriffen gehören die offene oder minimalinvasive partielle Hepatektomie, die Radiofrequenzablation und die interventionelle Embolisation.

Daher hängt die Behandlung von Leberhämangiomen im Allgemeinen von der Größe und der Lage des Tumors sowie von der Entscheidung ab, nach einer Risikobewertung eine Behandlung vorzunehmen. Für spezifische Behandlungsoptionen wird empfohlen, die allgemeine oder hepatobiliär-pankreatische Chirurgie oder die interventionelle Abteilung eines Tertiärkrankenhauses zu konsultieren.
Was sind die Ursachen für hepatische Hämangiome?
Die Ursache des Leberhämangioms ist noch unklar, und es kann mit den folgenden Faktoren zusammenhängen: (1) angeborene Anomalien in der Entwicklung der Leberblutgefäße; (2) der Grund für die Prävalenz von Frauen kann mit dem hohen Östrogenspiegel im Körper zusammenhängen; (3) lokale Infektionen in der Leber, Blutungen, die zu einer abnormalen Vermehrung der Blutgefäße führen.
Ich hoffe, dass meine Antwort dir hilft! Gib mir ein Like, wenn sie dir gefällt!

Brauche ich eine Behandlung für ein Leberhämangiom?
Hepatische Hämangiome sind die häufigsten gutartigen, raumfordernden Läsionen der Leber, die in jedem Alter auftreten können. Es wird allgemein angenommen, dass es sich bei hepatischen Hämangiomen um angeborene Gefäßfehlbildungen handelt, die durch eine abnorme Gefäßentwicklung in der Embryonalzeit verursacht werden und nicht zur Bösartigkeit neigen; der Mechanismus ist noch unklar.
Histologisch lassen sie sich in kavernöse Hämangiome, kapillare Hämangiome, sklerosierende Hämangiome und vaskuläre Endothelzelltumoren einteilen, von denen kavernöse Hämangiome am häufigsten vorkommen
Das hepatische Hämangiom ist der häufigste gutartige solide Tumor der Leber im Säuglingsalter mit einem durchschnittlichen Erkrankungsalter von 47 Tagen, und etwa 80 % der hepatischen Hämangiome werden innerhalb von 3 Monaten nach der Geburt diagnostiziert. Es wird häufig durch eine körperliche Untersuchung oder aus anderen Gründen der abdominalen Bildgebung entdeckt und präsentiert sich als abdominale Masse mit Symptomen wie abdominale Distension, Bauchschmerzen, Fieber, Gelbsucht und Abmagerung usw. Wenn der Tumor groß ist, kann er sich als vergrößerte Leber und riesige abdominale Masse manifestieren, und es können respiratorische und gastrointestinale Symptome vorhanden sein; er kann auch mit einer intraaneurysmalen arteriovenösen Fistel koexistieren, was zu hochvolumigem Herzversagen oder einer Erschöpfung der Gerinnungsfaktoren aufgrund der Aggregation von Blutplättchen im Körper des Tumors führt.

Das so genannte hepatische Hämangiom bezieht sich allgemein auf kavernöse Hämangiome. Die klinische Diagnose eines Leberhämangioms beruht hauptsächlich auf klinischen Manifestationen und bildgebenden Untersuchungen.Die klinischen Symptome des neonatalen Leberhämangioms sind unterschiedlich, der Behandlungsplan sollte individuell auf den Zustand des Patienten abgestimmt werden, und der Zeitpunkt und die Indikationen für eine Operation sollten vernünftig gewählt werden. Bei der Wahl des Zeitpunkts für eine Operation in der Neugeborenenperiode sollten in erster Linie die Art der Krankheit selbst und der Grad ihrer Schädigung des Organismus berücksichtigt werden, und die Sicherheit der Kinder sollte das oberste Prinzip sein, denn das Leberhämangiom wächst langsam und hat im Allgemeinen keine lebensbedrohlichen Folgen.
Lebertumore wiesen nach der Differenzialdiagnose mittels CT eine geringere Perfusionsfraktion der Leberarterien auf, und die kapillare Oberflächendurchlässigkeit des die Läsion umgebenden Parenchyms auf der Tumorseite der Leber war im Vergleich zu Patienten mit hepatischen Hämangiomen höher, was wahrscheinlich auf das Vorhandensein unvollkommener und abnormaler Mikrogefäße um die Läsion des Patienten zurückzuführen ist.
Bei der chirurgischen Entfernung eines Leberhämangioms wird nur das Hämangiom selbst ohne normales Lebergewebe entfernt. Die Resektion von Leberhämangiomen erfordert Schnelligkeit und Feingefühl. Hepatische Hämangiome sind stark durchblutet, und die Minimierung von Blutungen während der Operation ist einer der Schlüsselfaktoren für den Erfolg des Eingriffs. Nach der hepatischen Pfortaderblockade und der sanften Massage und Quetschung des Hämangioms, um den Tumor zu verkleinern, gibt es eine klare Grenze zwischen dem Hämangiom und dem normalen Lebergewebe, und es gibt weniger intraoperative Blutungen, wenn es korrekt entlang der Grenze getrennt ist.
Ich bin der Apotheker Wang, der darauf besteht, Wissen über Krankheiten in einfachen und leicht verständlichen Worten zu verbreiten und meinen eigenen kleinen Beitrag zu einem gesunden China zu leisten. Wenn Sie denken, dass meine Antwort hilfreich für Sie ist, hinterlassen Sie bitte ein "Like"! Wenn Sie noch weitere Fragen haben, können Sie mir gerne eine Nachricht hinterlassen, damit wir gemeinsam diskutieren können!
Das hepatische Hämangiom ist ein häufiger gutartiger Lebertumor, der meist langsam wächst, keine Tendenz zur bösartigen Umwandlung hat und nur selten spontan aufbricht. Klinisch gesehen ist das kavernöse Hämangiom am häufigsten, und die meisten Patienten sind asymptomatisch oder haben leichte Symptome, die meist zufällig bei der körperlichen Untersuchung im Rahmen einer Ultraschalluntersuchung oder einer abdominalen Operation entdeckt werden.
Brauche ich eine Behandlung für ein Leberhämangiom?
Ob ein Leberhämangiom behandlungsbedürftig ist, hängt von der Größe des Hämangioms, der Lage der Wucherung, dem Vorhandensein von Drucksymptomen und dem Risiko einer Bösartigkeit ab und wird entsprechend der jeweiligen Erkrankung analysiert.

Wenn der Tumor nicht groß ist (Durchmesser unter 5 cm) und keine offensichtlichen klinischen Symptome vorliegen, ist eine Behandlung in der Regel nicht erforderlich und eine regelmäßige Nachbeobachtung ausreichend.
Eine frühzeitige Behandlung ist erforderlich, wenn das hepatische Hämangiom
1. hepatische Hämangiome sind größer als 5 cm;
2、Hepatisches Hämangiom, das möglicherweise bösartig ist und nicht von Leberkrebs usw. unterschieden werden kann, oder hepatisches Hämangiom in Kombination mit Leberkrebs;
3. hepatische Hämangiome, die zu schnell wachsen;
4, Das hepatische Hämangiom wächst in der Porta hepatis;
5、 Das Röhrenhämangiom zeigt offensichtliche Kompressionssymptome, wie gastrointestinale Symptome (Unwohlsein im rechten Oberbauch, Appetitlosigkeit, Übelkeit, Erbrechen, Aufstoßen, Dyspepsie usw.), und große Hämangiome drücken auf Magen, Zwölffingerdarm und andere benachbarte Organe;
6 Ein rupturiertes und blutendes Leberhämangiom erfordert eine dringende Behandlung und sollte so früh wie möglich operiert werden.
Es gibt eine Reihe von Behandlungsmöglichkeiten für hepatische Hämangiome, darunter Chirurgie, interventionelle Therapie, Sklerotherapie und laparoskopische Hämangiektomie.
Gegenwärtig gibt es kein besonders wirksames Medikament für Leberhämangiome, und die Klinik konzentriert sich hauptsächlich auf die Chirurgie, und wenn die Patienten in fortgeschrittenem Alter sind und aufgrund von systemischen Komplikationen Kontraindikationen für eine Operation haben, können sie mit interventionellen Methoden behandelt werden.
1、Zunächst einmal ist klar, dass ein Hämangiom kein Tumor ist und niemals zu Krebs werden kann. Ein Hämangiom ist eine Ausbuchtung in der Wand eines Blutgefäßes.

2、Das hepatische Hämangiom ist nicht krebsartig, was aber nicht bedeutet, dass kein Risiko besteht, denn die Notwendigkeit einer Behandlung hängt von der Größe des Risikos ab.
Wenn ein Hämangiom entdeckt wird, beurteilt der Arzt die Lage und Größe und gibt dann einen Rat:
In der Regel wird zu regelmäßigen Kontrolluntersuchungen geraten, um zunächst zu beobachten, wie schnell das Hämangiom danach wächst. Bleibt die Größe des Hämangioms nach der Nachuntersuchung gleich, wird keine Behandlung durchgeführt; wächst das Hämangiom nach der Nachuntersuchung sehr schnell, wird eine Behandlung empfohlen, um zu verhindern, dass es aufbricht.
Man kann also nicht sagen, ob der Zustand behandlungsbedürftig ist oder nicht. Es geht darum, die Veränderungen des Hämangioms zu beobachten und dann eine Empfehlung abzugeben, ob es behandelt werden soll oder nicht.
Diese Frage und Antwort sind von den Nutzern der Website, stellt nicht die Position der Website, wenn eine Verletzung, kontaktieren Sie bitte den Administrator zu löschen!