Was kann ich tun, wenn sich mein Zahnfleisch zurückbildet und die Zahnwurzeln freiliegen?
Was kann ich tun, wenn sich mein Zahnfleisch zurückbildet und die Zahnwurzeln freiliegen?
Da das Zahnfleisch irreversibel sind, können Sie Membran-Gewebe-Regeneration, die Förderung des Wachstums der parodontalen Membran Stammzellen, so dass parodontale Geweberegeneration, wird das Zahnfleisch langsam decken die Wurzel des Zahnes, der Alveolarknochen, um zu wachsen, aber es ist schwierig, wieder auf die vorherige Höhe, so dass das Zahnfleisch nicht in Beschlag nehmen die Position des Parodontiums, die normale Zahnfleisch wird wieder gewachsen, wenn es keine parodontale Membran, und die Zahnimplantate sind nicht anders, die Wurzel Knochen kann nicht bewegt werden.

Unter welchen Bedingungen leiden die Zähne unter Zahnfleischrückgang?
1. unsachgemäßes Bürsten, insbesondere horizontales Bürsten, die Position des Zahnes Nr. 3 wird keilförmig defekt, und die lokale Gingivahöhe wird reduziert.
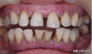
2, Plaque-Ansammlung auf dem Zahnfleisch Seite, mit einer großen Anzahl von pathogenen Bakterien, wird das Zahnfleischgewebe Rötung und Schwellung zu stimulieren, wenn Verkalkung in Kalk, unter dem Zahnfleisch, und sogar parodontalen Taschen, alveolären Knochenabbau ist ernst.
3, mit dem älteren, das Zahnfleisch wird auch degenerieren, Schrumpfung ist offensichtlich, aber physiologische jeder, das ist normal.

Was sind die Komplikationen bei Zahnfleischrückgang?
1. zahnärztliche Empfindlichkeit
Die Dentintubuli sind freiliegend und äußerst empfindlich gegenüber Temperatur, Kratzen usw. Sie werden beim Verzehr von warmen und kalten Speisen wund, so dass sie zunächst mit einer Anti-Allergie-Zahnpasta gelindert werden und sich später von selbst erholen.
2、Zahnlücke wird größer
Nach der Stimulation von Zahnstein vor der Zahnsteinentfernung ist das Zahnfleisch zwischen den Zähnen und den Zähnen verschwunden, nach der Zahnsteinentfernung klingt die Entzündung ab und der Zahnstein ist verschwunden, natürlich undicht und oft verstopft, es wird empfohlen, mit Zahnseide zu reinigen.

Es spielt keine Rolle, ob Ihr Zahnfleisch zurückgeht, eine parodontalchirurgische Behandlung der Entzündung wird die Höhe wiederherstellen.
Willkommen bei [Burning Brothers Dental Society], Dr Burning Brothers ist hier, um Ihre Fragen zum Zahnfleischrückgang zu beantworten!
Wenn sich das Zahnfleisch zurückgebildet hat, bleibt nichts anderes übrig, als eine Membran-Zahnfleischoperation zu versuchen.
Bei der membranösen Gingivachirurgie wird autologes gesundes keratinisiertes Zahnfleischgewebe in den betroffenen Bereich transplantiert, um die befestigte Gingiva zu erweitern und den vestibulären Sulkus zu vertiefen. Sie wird am häufigsten an der Labialseite mehrerer Zähne im unteren Frontzahnbereich eingesetzt. Vereinfacht gesagt, wird die Ostwand abgerissen, um die Westwand zu reparieren.
Es ist immer noch nicht ungewöhnlich, solche Fälle hier beim Zahnarzt zu sehen, und viele ältere Menschen haben solche Zähne, wenn sie nicht die geringste Aufmerksamkeit schenken.
Starke Zahnsteinbildung, Zahnfleischentzündung, Parodontitis, Zahnfleischrückgang und Alveolarknochenschwund sind direkte Ursachen für Zahnverlust.
Jahrelange Zahnschulden lassen sich nicht immer sofort mit Geld lösen.

Das parodontale Gewebe ist wie der Boden, in dem die Zähne verwurzelt sind, und wenn der Boden verloren geht, kann man nicht einfach ein Zahnimplantat bekommen, selbst wenn man es zu einem späteren Zeitpunkt haben möchte.
Wenn der Zahnfleischrückgang bereits eingesetzt hat, können Sie außer einer chirurgischen Behandlung nur noch den Status quo erhalten und verhindern, dass sich die parodontalen Probleme weiter verschlimmern.
Die Parodontalbehandlung konzentriert sich auf die Entfernung von Plaque und Zahnstein, um die Zerstörung der Alveolen und die Entzündung des Zahnfleisches einzudämmen und die Gesundheit der Zähne und des Zahnfleisches wiederherzustellen.
Gum Rezession ist eine relativ häufige mündliche Problem, wir denken immer, dass dies die mittleren Alters und ältere Menschen sind anfällig für die Situation, in der Tat, die Chancen der jungen Menschen auftretenden Zahnfleisch Rezession ist auch sehr hoch, dann das Zahnfleisch Rezession wird die schwerste Rezession in welchem Umfang?

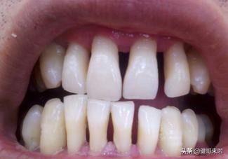
Die Beziehung zwischen dem Zahnfleisch und den Zähnen ist wie die Beziehung zwischen dem Boden und der Pflanze. Das Zahnfleisch wird allgemein als Zahnfleischbett bezeichnet. Normales Zahnfleisch ist rot, es gibt keinen Raum zwischen den Zähnen und dem Zahnfleisch, es ist voll und stark und umschließt die Zahnwurzel vollständig und hält den Zahn an seinem Platz.
Wir haben vielleicht schon etwas über Zahnfleischrückgang gehört. Wie stark zieht sich denn das Zahnfleisch zurück? In Wirklichkeit handelt es sich um einen starken Rückgang des Zahnfleischs, der zu einer Lockerung der Zähne und schließlich zum Zahnverlust führt.

Wir haben vielleicht die Erfahrung gemacht, dass Zahnfleischrückgang bei älteren Menschen besonders auffällig ist. Mit zunehmendem Alter scheinen die Menschen in vielen Bereichen zu "schrumpfen", z. B. in Bezug auf Muskeln und Größe. Aber im Gegenteil, die Zähne scheinen länger zu werden, vor allem die Schneidezähne, sehen deutlicher aus. In der Tat ist dies die Manifestation des Zahnfleischrückgangs.

Zahnfleischrückgang tritt sowohl bei Menschen mittleren Alters als auch bei jungen Menschen auf, daher ist es wichtig, auf die Mundhygiene und das richtige Zähneputzen zu achten. Putzen Sie Ihre Zähne mindestens zweimal am Tag, morgens und abends. Wenn es zu spät ist, müssen Sie stattdessen auch Mundwasser oder Tee zur Reinigung Ihres Mundes verwenden.
Darüber hinaus sollten Situationen wie gefüllte Zähne rechtzeitig ernst genommen und nicht unterschätzt werden. Die Essensreste in der Zahnlücke können, wenn sie nicht rechtzeitig entfernt werden, sondern weiter gegessen wird, das Zahnfleisch schädigen, zu Zahnfleischrückgang, Abszessen und schlechtem Atem führen und schließlich die Zähne lockern oder sogar ausfallen lassen. Achten Sie darauf, dass Sie den Zahn rechtzeitig entfernen, wenn Sie einen gestopften Zahn haben.

Ist der Zahnfleischrückgang bereits sichtbar, ist es wichtig, ihn untersuchen zu lassen und eher früher als später Gegenmaßnahmen zu ergreifen. Parodontitis, Zahnstein, Mundgeschwüre, Gingivitis, Zahnfleischabszesse, Lebensmittelunverträglichkeiten, Bisswunden und schlecht sitzende Prothesen sind allesamt Reizfaktoren, die Zahnfleischrückgang verursachen. Die Behandlung dieser Probleme kann das Auftreten von Zahnfleischrückgang erheblich reduzieren.

Um Zahnfleischrückgang zu vermeiden, ist es wichtig, Vorkehrungen zu treffen, um zu verhindern, dass unsere Zähne geschädigt werden, ohne dass wir es bemerken.
Was tun, wenn sich das Zahnfleisch zurückbildet und die Zahnwurzeln freilegt?
Zahnfleischrückgang, der die Zahnwurzeln freilegt, sollte von einem Arzt untersucht werden, um die Ursache festzustellen und dann eine gezielte Behandlung durchzuführen.
Zu den Ursachen für Zahnfleischrückgang gehören Parodontitis, Zahnfehlstellungen, Okklusionstraumata, schlechte Putzgewohnheiten usw. Bei einigen älteren Menschen kann es zu degenerativem Zahnfleischrückgang kommen, der anders behandelt wird.
(1) Parodontitis: Zähne mit Parodontitis bilden Parodontaltaschen, der Alveolarknochen wird resorbiert, und das Gingivaepithel setzt sich an einer Stelle fest, die sich dann zur Zahnwurzel hin zurückzieht, was zu freiliegenden Wurzeln und zurückgehendem Zahnfleisch führt. Eine systematische Parodontalbehandlung sollte durchgeführt werden, um die Entwicklung der Parodontitis zu verlangsamen, und es kann auch eine Parodontalchirurgie durchgeführt werden, um den Zahnfleischrückgang zu korrigieren.
(2) Abnormale Zahnstellung: Wenn die Zähne in der falschen Position durchbrechen und die bukkale oder linguale Seite bevorzugen, kann das Zahnfleisch aufgrund einer schlechten Morphologie, schlechter Reinigung und Plaqueansammlung zurückgehen. Eine kieferorthopädische Behandlung sollte durchgeführt werden, um das Problem der abnormalen Zahnstellung zu korrigieren, um die Form des Zahnfleisches zu verbessern und die Plaqueretention zu reduzieren.
(3) Okklusales Trauma: Dies kann dazu führen, dass die Zähne durch anormale Kräfte stimuliert werden, dass der Alveolarknochen auf der Seite der Kraft resorbiert wird und dass es zu einer Rezession des Zahnfleisches kommt. Die Okklusion sollte angepasst werden.
(4) Schlechte Putzgewohnheiten: Die Verwendung von Zahnbürsten mit übermäßig harten Borsten und die großflächige horizontale Putzmethode können das Zahnfleisch reizen und zu Zahnfleischrückgang führen. Es sollte eine Mundhygieneerziehung durchgeführt, Zahnbürsten mit weichen Borsten verwendet und die Pasteur-Methode zum Zähneputzen angewandt werden.
Wenn Zahnfleischrückgang auftritt, sollten Sie einen Arzt aufsuchen, um die Ursache feststellen und entsprechend behandeln zu lassen.
Begutachtet von Ma Shen, stellvertretender Chefarzt, Abteilung für Endodontie, Tianjin Stomatological Hospital.
Klicken Sie hier für die Details der Antwort des Arztes
Zahnfleischrückgang ist irreversibel, in erster Linie sollten Sie eine parodontale Pflege zu tun, so dass Ihr Zahnfleisch, verlangsamen die Geschwindigkeit der Schrumpfung, versuchen, einen gesünderen Zustand der Zähne zu halten, Zahnfleischrückgang durch Zahnlockerung verursacht und sogar fallen aus, in der Regel empfehlen wir ein halbes Jahr bis ein Jahr der Zahnreinigung.
Der Besuch beim Zahnarzt hat Vorrang, und bei Zahnfleischrückgang, der durch eine Systemerkrankung wie Diabetes mellitus verursacht wird, wird ein Besuch beim Endokrinologen empfohlen.
Zahnfleischrückgang ist eine häufige Erkrankung, und Studien haben ergeben, dass mehr als 50 Prozent der Menschen in unterschiedlichem Maße von Zahnfleischrückgang betroffen sind. Besonders häufig tritt er bei Erwachsenen mittleren und höheren Alters auf und wird mit zunehmendem Alter häufiger.

01 Ursachen für Zahnfleischrückgang
Ursachen von Zahnfleischrückgang ist in zwei Arten von Ätiologie unterteilt, ist eine physiologische, in der Regel und altersbedingte, je älter, desto schwerer der Zahnfleischrückgang, ist dies in der Regel und parodontalen Geweben langfristige entzündliche Stimulation oder mechanische Beschädigung, wie Zahnstocher Kommissionierung, oft Zeit Stopfen Zähne, und so weiter.
Die andere Art des Zahnfleischrückgangs ist pathologisch bedingt, wie z. B. Parodontitis, Zahnfehlstellungen, falscher Putzstil (horizontales oder kräftiges Bürsten), systemische Krankheiten, systemische Erkrankungen (z. B. Anämie und Vitamin-C-Mangel, Diabetes mellitus, Leukämiepatienten), schlechte Restaurationen (die Ränder schlecht angepasster Prothesen drücken das Zahnfleisch zusammen und verursachen Zahnfleischrückgang) und übermäßige Beißkraft (Bissverletzung durch den daraus resultierenden Biss, die zu Zahnfleischrückgang führt).

02 Symptome von Zahnfleischrückgang
Zahnfleischrückgang frühen Symptome sind nicht offensichtlich, in Übereinstimmung mit dem Zahnfleisch rot und geschwollen → Lücken zwischen den Zähnen werden größer → Krone werden "lang" → Wurzel Exposition → Zahn Empfindlichkeit in dieser Reihenfolge oder den gleichen Zeitraum, so dass das Thema der Wurzel Sturm wurde eine ernstere Situation, wird empfohlen, zu einem großen öffentlichen Zahnkliniken zu gehen, um einen Parodontologen oder allgemeine medizinische Beratung hängen (dies ist nicht zu sagen, dass die privaten Zahnkliniken nicht funktionieren oder was, nur, dass die Zahl der Patienten ist detaillierter Aufteilung der Abteilungen mehr angemessene Bedingungen für die Spezialisierung in der Parodontologie). Private Zahnkliniken können nicht oder wie, nur eine große tertiäre Krankenhaus Abteilung Division ist detaillierter, die Zahl der Patienten ist mehr, die Spezialisierung in der Parodontologie Bedingungen sind mehr angemessen).
03 Behandlung von Zahnfleischrückgang
Zahnfleischrückgang ist irreversibel, und die Behandlung zielt in erster Linie darauf ab, den Status quo zu erhalten und eine Verschlimmerung oder Komplikationen zu verhindern.

Physiologische Zahnfleischrückgang, in der Regel nicht brauchen, um eine gezielte Behandlung, Kontrolle Plaque werden kann, ist der beste Weg, um Plaque zu kontrollieren wissenschaftlichen Bürsten, regelmäßige Zahnreinigung und mündliche Prüfung.
Pathologischer Zahnfleischrückgang ist komplexer und erfordert zunächst einen systematischen Behandlungszyklus, bis das Fortschreiten der Krankheit unter Kontrolle ist. Dann müssen die ursächlichen Faktoren beseitigt werden, wie z. B. Diabetes zur Kontrolle des Blutzuckers, Anämie und Vitaminmangel zur gezielten Behandlung von Ernährungselementen.
Patienten mit empfindlichen Zähnen aufgrund von Zahnfleischrückgang können sich dagegen für eine Desensibilisierungsbehandlung entscheiden.
04 Pflege von Zahnfleischrückgang
①Tägliche Pflege
-Spülen Sie Ihren Mund nach dem Essen und putzen Sie Ihre Zähne eine halbe Stunde nach den Mahlzeiten.
-Wechseln Sie Ihre Zahnbürste regelmäßig, verwenden Sie eine Zahnbürste mit weichen Borsten, und korrigieren Sie falsche Putzmuster, um weitere Schäden an Ihrem Zahnfleisch zu vermeiden.
-Zahnpasta kann als Anti-Sensibilitäts-Zahnpasta gewählt werden, um die Unannehmlichkeiten der Zahnempfindlichkeit zu reduzieren.
-Achten Sie darauf, beim Essen beidseitig zu kauen, damit sich das Zahnfleisch auf der anderen Seite nicht weiter zurückbildet.

②Ernährungsplan
-Vermeiden Sie scharfes Essen, scharfes Essen reizt das Zahnfleisch, was zu Rötung, Schwellung, Schmerzen und sogar Blutungen des Zahnfleisches.
-Vermeiden Sie Tabak und Alkohol, das Nikotin in Zigaretten ist eine schädliche Substanz, die auch das Zahnfleisch anregen kann; Alkohol ist ebenfalls sehr anregend für das Zahnfleisch!
-Vermeiden Sie Meeresfrüchte, Fisch, Garnelen und Krebse usw., die leicht Empfindlichkeit auslösen und das Zahnfleisch reizen können.
-Vermeiden Sie harte Lebensmittel, die das Zahnfleisch beim Kauen schädigen können.
-Essen Sie mehr Lebensmittel, die reich an Vitamin C/D und Kalzium sind, wie Orangen, Erdbeeren, Milch, mageres Fleisch usw., und essen Sie mehr frisches Obst und Gemüse.
③Note
In Ihrem Leben sollten Sie besonders auf Mundhygiene, regelmäßige parodontale Grundbehandlung, Entfernung von Zahnstein und Plaque achten, um zu vermeiden, dass Parodontitis weiterhin Zahnfleischrückgang verursacht.
05 Prävention von Zahnfleischrückgang
Zahnfleischrückgang ist eine irreversible Krankheit, die durch eine Reihe von Faktoren verursacht wird, weshalb eine frühzeitige Vorbeugung der Krankheit umso wichtiger ist:

-Essen Sie vernünftig, achten Sie auf eine ausgewogene Nährstoffzufuhr und essen Sie nicht einfach, was Ihnen schmeckt.
-Korrigieren Sie die falsche Art des Zähneputzens (z. B. horizontales Bürsten, kräftiges Bürsten usw.), lassen Sie sich von professionellen Zahnkliniken beraten, wechseln Sie zu Zahnbürsten mit weichen Borsten, und entwickeln Sie gute Mundhygienegewohnheiten, indem Sie Ihre Zähne mindestens zweimal täglich putzen.
-Regelmäßige orale Untersuchungen zur Früherkennung und Behandlung.
Es sollte die Milz und Magen, chinesische Medizin zu tonisieren die Milz und Magen wird in Ordnung sein.
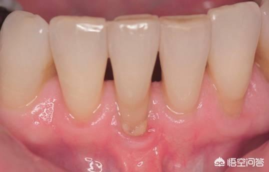
Die Freilegung der Zahnwurzel wird durch die Rezession des Zahnfleischsaums in Richtung der Wurzelspitze des Zahns verursacht. Dieses Phänomen kommt klinisch häufig vor, wobei manche Wurzelfreisetzungen bei einzelnen Zähnen und andere bei den meisten Zähnen auftreten. Es gibt mehrere häufige klinische Ursachen für zurückgehendes Zahnfleisch und freiliegende Wurzeln:
- Unsachgemäßes Zähneputzen.Das Putzen mit einer Zahnbürste mit zu harten Borsten, Zahnpasta mit zu groben Partikeln und die Verwendung einer sägenden Querbürstenmethode kann aufgrund der mechanischen Reizung und Reibung zu einer Rezession des Zahnfleischgewebes führen, und es kann zu einer Freilegung der Zahnwurzeln kommen, insbesondere im Bereich der Eckzähne und der Prämolaren.
- Abnormale Zahnstellung.Aufgrund anatomischer Faktoren, die dazu führen, dass die labiale Knochenplatte eines labial falsch ausgerichteten Zahns zu dünn ist oder sogar ein Knochenfenster oder eine Knochendehiszenz aufweist, wird die Knochenplatte schnell resorbiert, wenn der Zahn einem okklusalen Trauma ausgesetzt ist, und es kommt zu einer Gingivarezession und Wurzelfreilegung.
- Auswirkungen von okklusalen und kieferorthopädischen Kräften.Wenn die Zähne übermäßigen okklusalen Kräften ausgesetzt sind oder wenn die Kieferorthopädie die Zähne nach labial verschiebt, kommt es aufgrund des dünnen Alveolarknochens und des Zahnfleischgewebes auf der labialen Seite häufig zu Zahnfleischrückgang und Wurzelfreisetzung.
- Schlechte Planung der Restaurierung.Unerwünschte Reize wie die niedrige Position des Halterings, der Rand des Abutments, der drückt, und der Kronenrand, der unter der Gingiva liegt, tragen ebenfalls zur Gingivarezession und zur Freilegung der Wurzeln bei.
- Parodontitis.Eine der pathologischen Veränderungen bei der Parodontitis ist die Resorption des Alveolarknochens. In dem Maße, wie der Alveolarknochen abgebaut wird und das parodontale Attachment abnimmt, verringert sich auch die Höhe des Zahnfleischgewebes. Zusätzlich wird die Parodontitis behandelt, um die Entzündung zu beseitigen, oder ein Teil der Zahnfleischtaschen wird durch parodontalchirurgische Eingriffe entfernt, wodurch sich das Zahnfleisch ebenfalls zurückbildet und die Zahnwurzeln freigelegt werden.
Abhilfemaßnahmen bei Wurzelschäden:
Das Ausmaß und der Grad des Zahnfleischrückgangs sind unterschiedlich, ebenso wie die Behandlung und die Ergebnisse. Bei geringem, gleichmäßigem Zahnfleischrückgang und freiliegenden Zahnwurzeln ist keine Behandlung erforderlich, wenn keine Symptome auftreten, und bei Allergiesymptomen ist eine Desensibilisierung möglich.
Es sollte darauf geachtet werden, alle unerwünschten Reize zu beseitigen, die eine Rezession der Gingiva verursachen können. Bei einzelnen Zähnen oder einigen Frontzähnen mit Gingivarezession und freiliegenden Wurzeln, die die Ästhetik beeinträchtigen, kann eine freie Gingivalappenplastik oder eine Membran-Gingivachirurgie wie eine laterale Transpositionslappenplastik oder eine Bindegewebslappenplastik angewendet werden, um die Wurzeloberflächen der freiliegenden Zähne abzudecken. Auch die gesteuerte Knochenregeneration kann zur Behandlung eingesetzt werden. Für die meisten Frontzähne mit freiliegenden Wurzeln, die chirurgisch nicht gelöst werden können, kann prothetische Gingiva hergestellt werden, um die Ästhetik zu verbessern.
Jeder Fall ist anders, deshalb ist es ratsam, den Rat eines Zahnarztes einzuholen.
Die Betonung der Mundhygiene ist das Wichtigste, was man täglich tun sollte, und das dreiminütige Zähneputzen nach jeder Mahlzeit kann anfangs unangenehm sein, und wenn Sie sich irgendwann daran gewöhnt haben, werden Sie sich vielleicht unwohl fühlen, wenn Sie Ihre Zähne nicht putzen.
Diese Frage und Antwort sind von den Nutzern der Website, stellt nicht die Position der Website, wenn eine Verletzung, kontaktieren Sie bitte den Administrator zu löschen!